Orthodontics: It's not just cosmetics
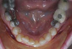
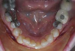
Lower incisor crowding is probably the most common dental finding on our daily exams. I am an orthodontist, and my patients seek out my services due to their “shifting” lower front teeth, but isn’t there more to this story?
RELATED |Team approach to interdisciplinary treatment planning
RELATED |Comprehensive treatment planning: a core principle in dentistry
RELATED |Incognito customized orthodontic appliance: a giant leap forward in orthodontic technology
There are numerous studies that correlate an increase in Little’s Irregularity Index (incisor crowding) and an increase in the gingival index and plaque index. (1) Crowded teeth, as expected, are much harder to maintain than aligned incisors. (2) Increased plaque index and gingival index are seen on the lingual of mandibular incisors that are misaligned. All patients have an increase of calculus buildup on the lingual of their incisors. However, when the lower incisors are crowded and crooked, they are not easily flossed or brushed. (3) This also can allow for food impaction, occlusal prematurities, and difficult access.
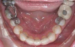
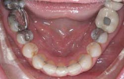
By correcting these issues, a patient (and our team) has the ability to restore these teeth to healthy function.
References
1. Nagwa Helmy El-Mangoury, Soheir M. Gaafar, and Yehya A. Mostafa. Mandibular Anterior Crowding and Periodontal Disease. The Angle Orthodontist Jan. 1987;57(1):33-38.
2. Boyd RL, Baumrind S. Periodontal considerations of banded vs. bonded molars in adolescents and adults. Angle Orthodontist 1992;62:117-126.
3. Boyd RL. Mucogingival considerations and their relationships to orthodontics. Journal of Periodontology 1978;49:67-76.
4. Hallmon WW. Occlusal trauma: effect and impact on the periodontium. Ann Periodontol. 1999;4(1):102-108.





