A periodontist's protocols to avoid dental implant complications: Part 1
Dental implants are becoming increasingly common and scientific meta-analyses have demonstrated 97% to 99% long-term success rates. However, there are some basic principles and guidelines clinicians should follow to achieve high predictability and long-term stability. In addition to appropriate medical screening of patients, treatment planning, and knowledge of implant-related surgical and restorative principles, there are a few additional steps we can follow as health-care providers to help achieve predictable and successful outcomes with dental implants. In my office, we have a written implant protocol that we follow from initial consultation through restoration and into periodontal peri-implant maintenance. I share our protocol with you because we have found it to improve patient case acceptance, understanding of treatment timelines, compliance with postoperative instructions and multiple appointments, predictable restorative outcomes, healthy peri-implant tissues, and stable long-term results.
ALSO BY DR. TINA BECK |How effective are locally delivered antibiotics?
Of course, protocols will vary depending on whether your office provides the surgical and/or restorative portion of treatment as well as the prescribed surgical and restorative timeline, but the main components will likely include the following:
- Implant consultation & presurgical planning
- Surgical phase and postsurgical follow-up
- Restorative phase
- Periodontal peri-implant maintenance
Implant consultation and presurgical planning
Our implant consultation begins with collecting all the necessary patient information, required legal notices, HIPAA release, etc. Following the initial patient registration, the patient is escorted to our in-house cone beam CT scanner to obtain a full-mouth 3D CBVCT. I highly recommend a full-mouth scan for multiple reasons. First, I believe in comprehensive examinations and diagnoses. As an oral health-care provider, I am responsible for all structures between the left and right buccal mucosa, oral labial mucosa to oral pharynx, and floor of the tongue to the palatal gingiva. I perform an oral cancer screening, full-mouth periodontal probing, and require full-mouth radiographs for all new patients, regardless of the chief complaint or reason for referral. The full-mouth radiographs are required for a comprehensive diagnoses, and I satisfy this requirement with any of the following: Panoramic X-ray, FMX, or full-mouth CBVCT. I can’t tell you how many asymptomatic periapical lesions or severe periodontal bone loss I have seen on CBVCTs that were not otherwise detectable, but that’s another conversation for another time.
ALSO BY DR. TINA BECK |The problem with wisdom teeth: Leave them in or take them out?
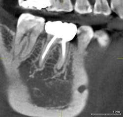
Asymptomatic periapical radiolucency found in the opposite arch of planned implant.
Following the scan, the patient is seated in a treatment room, medical history and dental history reviewed, and a clinical exam is performed.
My exams always include full-mouth periodontal screening and intraoral photographs with my extraoral camera. The periodontal screening is critical for many reasons: identifying the presence of periodontal disease as well as the patient’s ability to perform proper oral hygiene. If either of these components is inadequate, these topics must be addressed with the patient prior to initiating implant treatment. Extraoral photos are used not only for documentation purposes, but also to discuss any restorative limitations or considerations with the patient. For example, I often see spacing or crowding issues, inadequate keratinized gingiva, uneven gingival margins and asymmetries, or recession on adjacent teeth. I use good extraoral photos to explain these esthetic or restorative limitations prior to beginning treatment, thus establishing appropriate patient expectations during the consultation.Good extraoral photo using cheek retractors to discuss future restorative concerns including the benefits of planning on veneers Nos. 7, 8, and 10 to improve the final esthetics of planned implant No. 9.
I take time to review clinical findings, diagnoses, recommended treatment and treatment options (including a brief explanation of the less acceptable alternatives), expected postoperative recovery, overall treatment timeline, and importance of peri-implant periodontal maintenance. For complex cases, a second appointment may be required to complete the consultation. As a periodontist, I also make a point to explain what roles the restorative dentist and myself will play in the process. My office manager then takes over and presents related fees and estimated insurance coverage, if any. She is instructed to clearly explain how dental implants and related procedures are the most advanced dental treatment, and several insurance plans have specific limitations and requirements in the ‘fine print.’ She further explains that it is not uncommon to have little or no insurance benefits to help pay for the cost of treatment. (Of course how you handle this in your office is up to you; this is just what we do in my office to prepare our patients financially.) We also make a point to explain the distinction between surgical costs and restorative costs, so the patient has all financial information prior to beginning treatment.
Surgical phase and postsurgical follow-up
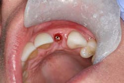
All patients are examined within two weeks of any surgery. Follow-ups then continue periodically (four to six weeks postsurgery) until the site is completely healed and patient is asymptomatic. If the treatment plan calls for tooth extraction and healing prior to implant placement, we schedule a “preoperative” appointment approximately three months after tooth extraction to evaluate hard and soft tissue contours, review the implant procedure and answer any questions, collect payment, and schedule for the implant surgery. Coordination with the restorative dentist is also done at this time if needed for surgical guides, etc. Following implant placement, the patient is seen for regular follow up as mentioned previously. Implant treatment plans often call for a waiting period after implant placement, prior to restoration. When the implant is suspected to be ready for loading, the patient is quickly seen for a “prerestorative check.” If an uncovery is needed to remove the cover screw and place a healing abutment, it is done two weeks prior the prerestorative check. During this visit, I evaluate proper gingival healing and soft tissue contours, take a periapical radiograph to check for any crestal bone loss, and ensure the implant is healed and ready for restoration. This appointment is also a method we use to follow up with our implant patients and insure they follow through with the restorative phase.Excellent soft tissue contours noted during prerestorative check.
Restorative phase
As a periodontist, I am not involved much with this phase. We simply schedule the patient for a “postrestorative check” two to three months after the prerestorative check. During this appointment, final photographs are taken, baseline probing depths are recorded, occlusion is checked, implant hygiene and home care are reviewed, and a final bitewing radiograph is taken to check for residual cement. The patient is also reminded about the importance of proper maintenance to protect their investment.
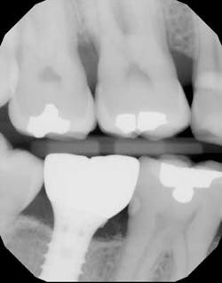
Radiopaque material noted on mesial of newly restored implant No. 31 during postrestorative check.
Periodontal peri-implant maintenance
All implant patients are seen six months after implant placement for periodontal maintenance. In some cases it may be recommended for the patient to begin a three-month periodontal recall, alternating every other visit between my office and the restorative doctor. Other patients may be recommended to return only once a year for the first five years for an implant check (limited evaluation) and periodontal maintenance, in addition to the regularly scheduled semi-annual cleanings with their restorative dentist.
This protocol is not a fit for every office and the number of visits may seem excessive, but this is what I have found to work for my office, patients, and referring doctors to achieve excellent patient compliance and predictable outcomes. I hope sharing my protocol can serve as a starting point for you to consider when treatment planning for dental implants. Part 2 of this article will discuss implant maintenance protocols and current thoughts on the diagnosis and management of peri-implant inflammation.






