Dental implants don't make you immune to complications
Researcher Jan Derks recently published a doctoral thesis about the effectiveness of dental implants at the University of Gothenburg, Sahlgrenska Academy.
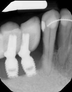
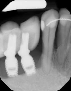
Approximately 30,000 people in Sweden receive dental implants each year, and Sweden is among the countries with the most dental implants per capita. (1) Given that almost 8% of patients lose at least one implant within 10 years (1) and more develop severe complications such as peri-implantitis, Derks’ study aimed to shed some light.
Files of 2,765 patients were gathered from more than 800 clinicians. Information about these patients, treatment procedures, and outcomes related to the implant-supported restorative therapy was pulled from the files, and 596 of the patients attended a clinical exam nine years following therapy. What makes this study unique is that it analyzes biological complications such as peri-implantitis, where previous studies were often limited to observing patient populations in specialty care. (1)
ADDITIONAL READING |Diagnosing between ailing and failing implants: The haste to remove salvageable implants
Scott Froum, DDS, editorial director of Perio-Implant Advisory, says:
Studies have demonstrated very high, long-term survival rates for dental implants; however, like any other dental treatment, success rates depend on a variety of factors. People have problems with and lose dental implants for the same reason people lose teeth. Smoking, diabetes, poor oral hygiene, infrequent cleanings, and uncontrolled periodontal disease have all been shown to be associated with implant complications. To think that implants would be immune from these factors when we have seen their detrimental effects on teeth is foolish.
View the full thesis here.
ADDITIONAL READING . . .
Understanding and managing peri-implant bone loss
A periodontist's protocols to avoid dental implant complications: Part 1
Does your dental extraction socket need a bone graft: A decision matrix
References
1. University of Gothenburg via ScienceDaily. Accessed November 6, 2015.
2. Derks J. Effectiveness of implant therapy in Sweden. Doctoral thesis. University of Gothenburg. 2015. Accessed November 6, 2015.

