The new street drugs some of your patients may be using that you have never heard of
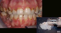
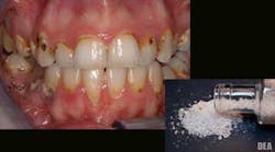
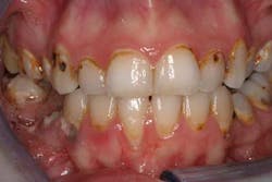
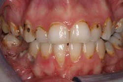
The deleterious effects of drugs such as methamphetamine, cocaine, Ecstasy, and marijuana have been reported in the literature and are well known in the dental community. Methamphetamine use is of particular concern to the dental community as the effects of this drug are devastating to the oral cavity, and patients with “Meth Mouth” are a challenge to treat (figure 1).
Over the past decade, however, some of these drugs have largely become adulterated or flat out replaced by cheaper synthetic street drugs that can be even worse for the person taking them. For example, synthetic cathinones, commonly referred to as “bath salts,” are an example of new synthetic street drugs that are easy to manufacture, can stand alone or be mixed in with other recreational drugs, and can cause even more damage to the user. (1) In fact, there are so many new designer street drugs being discovered on the market and the chemical compositions of the drugs are so easily manipulated that it is often a challenge for law enforcement to keep up with the change in times. New cheap street drugs can often be sold “legally” on the internet and at convenience stores and bars until their chemical structure is outlawed by the government.
This article will quickly highlight how some of the more well-known street drugs are being adulterated by new synthetic drugs as well as mention a few of the more potentially deadly street drugs that your patients may be taking with or without their knowledge.
Ecstasy or MDMA (3,4-methylenedioxymethamphetamine) has been one of the most popular party drugs for about three decades, and until recently it most often came in pill form. Its effects on the oral cavity are well known and include xerostomia, clenching/bruxism, caries, and fractured dentition. Decades ago, MDMA could often be found in pure form; however, it is easily mixed with other cheaper substances and the newest street name for powdered Ecstasy has been dubbed “Molly.”
According to Joseph Palamar, PhD, MPH, assistant professor at New York University Langone Medical Center, Section on Tobacco, Alcohol and Drug Use:
Molly is commonly marketed as pure ecstasy/MDMA, but we have actually been finding that Molly tends to be adulterated with novel synthetic drugs such as synthetic cathinones—commonly referred to as ‘bath salts.’ Synthetic cathinones have amphetamine-like effects and at least 97 different compounds of bath salts were discovered by 2015. Researchers, medical practitioners, dentists, and users alike know very little about the effects of bath salts. Every time sales of a particular bath salt compound become prohibited a new one pops up almost immediately to take its place. It appears that the most dangerous and problematic bath salt is alpha-PVP, also known as Flakka. Flakka (figure 2) is an extremely potent stimulant and it appears to be even more potent than methamphetamine. Some youngsters intentionally use bath salts to get high, but many more use these drugs unknowingly because they are in their Molly.
Unfortunately, there is sparse research on dental effects of bath salts as well as other similar new street drugs that continue to emerge every day. For example, there is little to no research on new drugs such as synthetic cannabinoids (also commonly referred to as “Spice” and “K2” drugs), and new psychedelics with stimulant effects such as NBOMe (pronounced “N-bomb”). Although there is a tremendous need for controlled research on the potential dental effects of these new drugs, practitioners would benefit from recognizing potential drug use among their patients.
The signs and symptoms of use are well known and include rampant caries (especially smooth-surface and anterior interproximal lesions), fractured teeth from bruxism and clenching, and periodontal disease from oral hygiene neglect. (2) Unexplained and rapid deterioration of teeth is one of the hallmarks of drug use. Since these new drugs are most prevalent among young individuals who frequent the electronic dance music scene, asking about nightclub and dance festival attendance can be used as an indicator leading to further questions about potential use of these drugs (as long as this is done in a nonjudgmental manner).
The following list is a short, noncomprehensive look at some of the top emerging dangerous street drugs that you need to know about. A more comprehensive list that is used by law enforcement and medical professionals can be found at www.streetdrugs.org.
Figure 2: A bath salt called alpha-PVP—also known as Flakka—an extremely potent stimulant that appears to be even more potent than methamphetamine.
- Bath salts (such as Flakka)—Synthetic cathinone drugs chemically related to cathinone, a stimulant found in the khat plant. Khat is a shrub grown in East Africa and southern Arabia, and people sometimes chew its leaves for their mild stimulant effects. Synthetic variants of cathinone can be much stronger than the natural product and, in some cases, very dangerous. These drugs pose a bigger threat especially since they are combined with other drugs such as MDMA (Molly) and cocaine. Flakka is among the most potent bath salts—known as the $5 insanity. There has been a 780% increase in this drug’s use.
- W-18—Synthetic opiate like fentanyl that produces a heroin-like high, but it is thought to be 100 times powerful than fentanyl and 10,000 times more powerful than morphine. Currently there is no blood/urine test for this substance, and it is still legal.
- “N-bomb”—25i-NBOMe (and other NBOMe compounds) is a new psychedelic phenethylamine with stimulant properties. NBOMe is most commonly sold on blotter as LSD, but it is much more potent and dangerous than LSD. It has been called the deadliest designer drug to hit the streets in current times.
MORE CLINICAL TIPS FROM DR. SCOTT FROUM . . .
References
1. Baumann MH. Awash in a sea of ‘bath salts’: implications for biomedical research and public health. Addiction. 2014;109(10):1577-1579. doi: 10.1111/add.12601.
2. Shaner JW. Caries associated with methamphetamine abuse. J Mich Dent Assoc. 2002;84(9):42-7.
About the Author

Scott Froum, DDS
Editorial Director
Scott Froum, DDS, a graduate of the State University of New York, Stony Brook School of Dental Medicine, is a periodontist in private practice at 1110 2nd Avenue, Suite 305, New York City, New York. He is the editorial director of Perio-Implant Advisory and serves on the editorial advisory board of Dental Economics. Dr. Froum, a diplomate of both the American Academy of Periodontology and the American Academy of Osseointegration, is a volunteer professor in the postgraduate periodontal program at SUNY Stony Brook School of Dental Medicine. He is a PhD candidate in the field of functional and integrative nutrition. Contact him through his website at drscottfroum.com or (212) 751-8530.






