header logo Perio Implant Advisory

Advanced solutions for interdisciplinary dental care

  • Clinical Tips
  • Dental Implants
  • Periodontics
  • Practice Management
  • Restorative Dentistry
undefined mega-logo
Sections
Clinical Tips
Dental Implants
Periodontics
Practice Management
Restorative Dentistry
Special
Continuing Education
Free Samples
Innovator Awards
Videos
Contact
About Us
Advertise
Contact Us
Newsletter
Newsletter Subscription
Affiliated Brands
RDH UNDER ONE ROOF
DENTAL ECONOMICS
DENTISTRYIQ
RDH
Follow us on
https://www.facebook.com/SurgicalRR
https://www.instagram.com/pi_advisory/
https://www.linkedin.com/company/surgical-restorative-resource?trk=other_brands_name
https://twitter.com/PI_Advisory
https://www.youtube.com/channel/UCm8U6hZE-uCLCEx_MSs7fpw

Periodontics

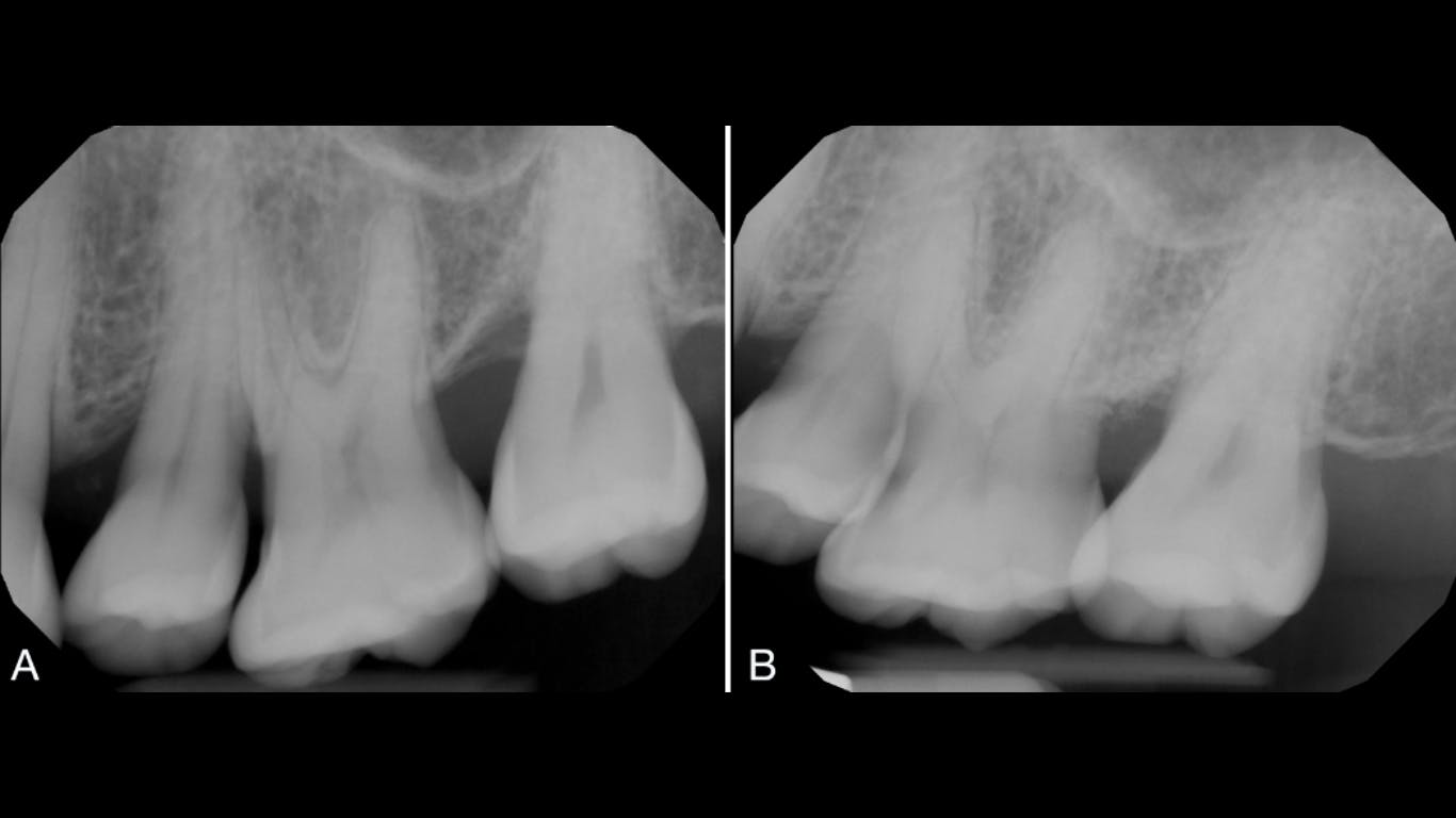
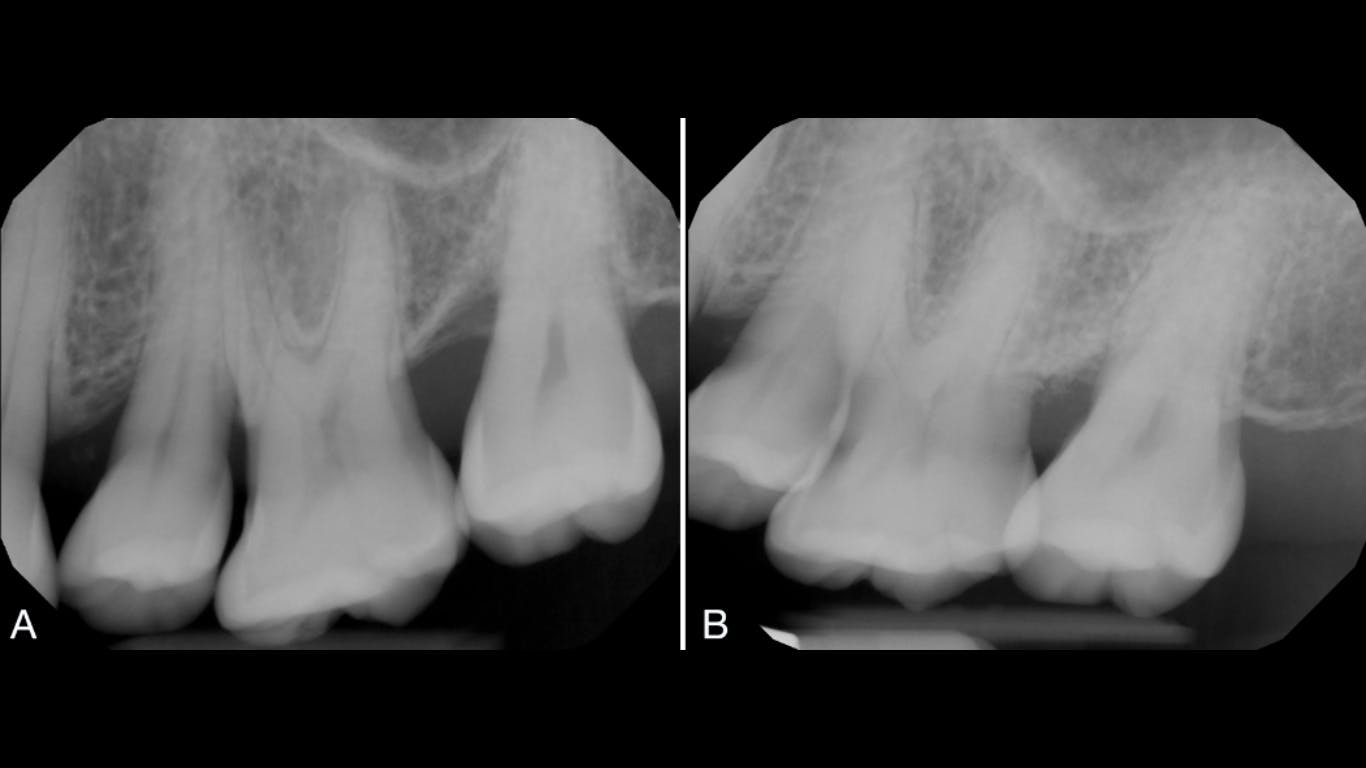
Reprinted with permission from Miron 2021.(2)
primary
Periodontics

Use of horizontal centrifugation of platelet-rich fibrin leads to a 4-fold increase in cell concentration

Platelet-rich fibrin (PRF) is transforming regenerative dentistry with faster healing, improved tissue regeneration, and enhanced clinical outcomes. Learn how advances in centrifugation...
May 8, 2026
Shutterstock AI Generator / Shutterstock.com 2761100301
illustration of the brain with amyloid plaques and p-tau areas pointed out
Periodontics

P-tau blood biomarkers in the dental chair: Why p-tau positivity should change periodontal management

April 6, 2026
primary
Periodontics

Stem cell therapy vs. exosomes: Prospectives for oral tissue regeneration

Feb. 9, 2026
Brothers91/E+ via Getty Images
smiling woman looking in a mirror
Oral Medicine, Anesthetics, and Oral-systemic Connection

Oral inflammation, hormones, and longevity: Why the mouth is a missing link in women’s health

Feb. 9, 2026
Lalocracio/iStock/Getty Images Plus
gloved hand holding an intrauterine device
Periodontics

Why do hormonal IUDs cause gingivitis?

Dec. 2, 2025
697278589000919___main
Sponsored

Bringing Professional Dental Care Home with COSLUS Oral Irrigators

Nov. 3, 2025
blue tongue from methylene blue
Oral Medicine, Anesthetics, and Oral-systemic Connection

What is methylene blue?

May 5, 2025
YakobchukOlena/iStock/Getty Images Plus
periodontists
Periodontics

Why patients don’t seek periodontists, and how to fix that

April 2, 2025
Pinhole Surgical Technique with platelet-rich fibrin to enhance soft-tissue grafting
Periodontics

Pinhole Surgical Technique with platelet-rich fibrin to enhance soft-tissue grafting

Feb. 3, 2025

Looking for Something?

footer logo Perio Implant Advisory
Perio-Implant Advisory provides evidence-based clinical content for specialists and generalists managing complex periodontal and implant cases.
Newsletters
The top stories, industry insights and relevant research, assembled by our editors and delivered to your inbox.
Connect
Follow us for the latest industry news and insights.
https://www.facebook.com/SurgicalRR
https://www.instagram.com/pi_advisory/
https://www.linkedin.com/company/surgical-restorative-resource?trk=other_brands_name
https://twitter.com/PI_Advisory
https://www.youtube.com/channel/UCm8U6hZE-uCLCEx_MSs7fpw
Affiliated Brands
RDH UNDER ONE ROOF
DENTAL ECONOMICS
DENTISTRYIQ
RDH
  • About Us
  • Advertise
  • Do Not Sell or Share
  • Privacy Policy
  • Terms & Conditions
EndeavorB2B Logo
© 2026 All rights reserved.