Sign up for our eNewsletters
Get the latest news and updates
man getting vagus nerve stimulation along with red light therapy
Vagus nerve stimulation is emerging as a noninvasive approach to pain and inflammation control, with expanding evidence in postsurgical care and potential implications for dental...
Feb. 9, 2026
Juan Francisco Garcia Leon/iStock/Getty Images Plus
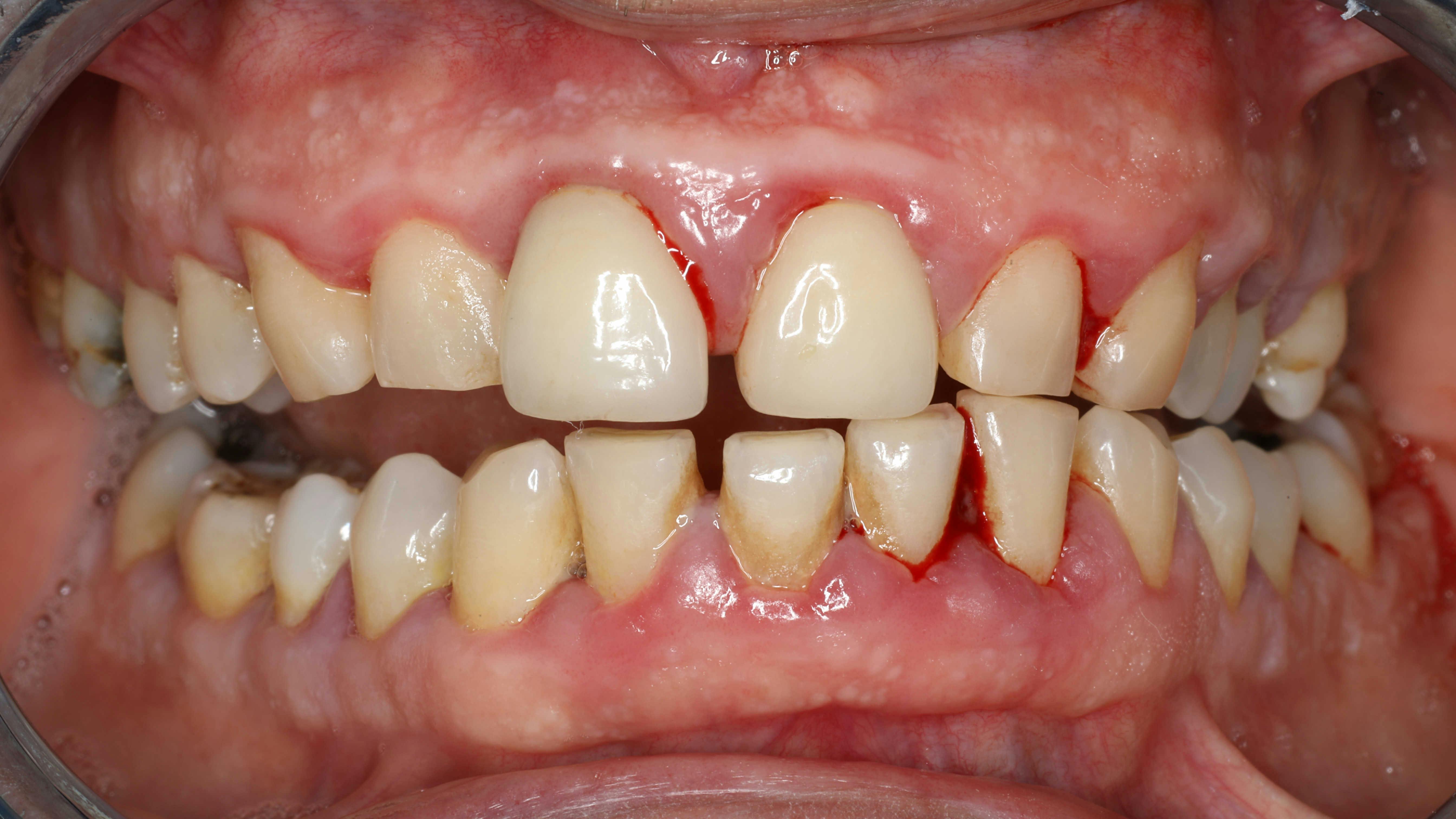
clinical photo of periodontal disease
Evidence increasingly links chronic periodontitis to Alzheimer’s disease through oral dysbiosis and inflammation. Periodontal pathogens like Porphyromonas gingivalis may contribute...
Jan. 5, 2026
Liudmila Chernetska/iStock/Getty Images Plus
a hand holding a marijuana plant
As recreational marijuana use rises, dental professionals are encountering patients who are harder to numb during surgical procedures. Chronic cannabis use alters pain processing...
Jan. 5, 2026
authors
x-ray of a dental implant
This article reviews the top five drug classes beyond bisphosphonates that have demonstrated a clinically significant association with MRONJ, summarizing mechanisms, pharmacologic...
Dec. 2, 2025
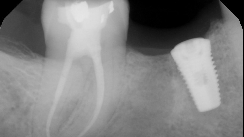
Dental implant recession around an anterior implant due to jaw-related soft tissue changes
Dr. Scott Froum explains the implications craniofacial growth has on the position of dental implants and the types of patients who are at the highest risk for craniofacial growth...
Jan. 12, 2026
697278589000919___main
Sponsored
COSLUS oral irrigators translate dental science into daily preventive care, offering effective, user-friendly solutions for children, implant patients, and travelers, bridging...
Nov. 3, 2025
dental implant metallosis
While complete prevention of metallosis caused by orthopedic implant and dental implant breakdown has not been described in the literature as of today, Dr. Scott Froum looks at...
Nov. 6, 2024
primary
Although further well-controlled studies are needed to pinpoint a causal relationship between titanium implant breakdown/particle release and dental implant failure, many studies...
Oct. 3, 2024
primary
Exosome therapy is reshaping regenerative dentistry by delivering powerful healing signals without the risks and limitations of live stem cells. From periodontal regeneration ...
Feb. 9, 2026
Brothers91/E+ via Getty Images
smiling woman looking in a mirror
Oral health plays a far greater role in women’s hormonal balance and aging than once believed. Chronic oral inflammation, periodontal disease, and airway dysfunction can influence...
Feb. 9, 2026
Lalocracio/iStock/Getty Images Plus
gloved hand holding an intrauterine device
Managing gingival inflammation in patients using hormonal IUDs requires a layered, multidisciplinary approach that goes far beyond standard oral hygiene counseling. Here are some...
Dec. 2, 2025
blue tongue from methylene blue
“Blue water” containing methylene blue has sparked both controversy and renewed interest in this product as an antiaging supplement as well as a mitochondrial booster. Micaela...
May 5, 2025
id-work/DigitalVision Vectors via Getty Images
man stealing a bag of money
Discover the three invisible profit thieves silently draining your dental practice—and learn how to stop them. From rising inflation and insurance challenges to team dynamics,...
Sept. 2, 2025
Andrii Yalanskyi/iStock/Getty Images Plus
man's hand separating puzzle pieces of wealth
If your production stopped tomorrow, would your financial life stay intact? Here’s what dentists can learn from Justin Bieber’s recent loss of $90 million.
Aug. 5, 2025
Michal Krakowiak/E+ via Getty Images
airplane flying during sunset
What do aviation disasters have to do with dentistry? More than you think. As corporate interests take control and clinical shortcuts become the norm, the dental profession risks...
July 1, 2025
Figure 1: The purpose of an implant verification jig is to mimic the fit of the final frame. A verification jig allows you to verify the accuracy of the model and ensure an accurate final frame every time.
So, your screw-retained restoration framework fits on the model, but how can you ensure it fits in your patient's mouth too? An implant verification jig will guarantee an accurate...
May 24, 2022
Janice Chen/iStock/Getty Images Plus
a man and a woman holding hands looking reflectively out at the water
After 45 years in the dental lab industry, one professional proves it’s never too late to chase a lifelong dream. From building a successful independent dental laboratory to publishing...
March 10, 2026
Figure 1: NeoScan 1000 from Neoss
An intraoral scanner produces scans that are only as good as the operator. Many mistakes are preventable. Here are some tips from a lab expert to help you get the most accurate...
Aug. 2, 2023
Primary
Drs. Omar Ikram and Scott Froum discuss four things that affect the waiting period between endodontic treatment and the crown procedure, as well as what can happen if you wait...
Feb. 7, 2023
Content Dam Sr Online Articles 2018 06 18jun14piaclintipt
While dental implants traditionally are successful tooth-replacement options, complications can occur. Dr. Scott Froum discusses three clinical methods he uses to improve the ...
Jan. 10, 2023
Decontamination (with a dental laser) and graft case of moderate peri-implantitis
In this video, Dr. Scott Froum treats a case of moderate peri-implantitis using a 9.3-micron CO2 laser along with hard-tissue grafting and bio-PRF growth factors.
Oct. 11, 2023
Successful removal of a damaged dental implant
This implant is more than 20 years old and has a damaged thread pattern. In this video, you'll see how Dr. Scott Froum successfully removes the implant.
Sept. 7, 2023
Screen Shot 2022 08 24 At 10 17 37 Am
This patient presented with a “loose implant in the front.” Clinical treatment required explantation of the poorly placed implants, bone grafting, and implant replacement.
Aug. 8, 2022
severe anterior bone defect
This patient fractured her buccal plate, has a high smile line with uneven gingival zeniths, and has supernumerary teeth in the anterior maxilla.
July 11, 2022