Dental implant failure: 3 common medical conditions that may affect success rates
Although dental implants enjoy a high survival rate in the clinical and academic literature, failures do occur.1 Implant failure can be divided into early failure and late failure. Early failure occurs prior to the insertion of the abutment and crown complex and can be associated with patient-specific conditions such as medical condition and the medications the patient is taking.2
In the latest National Center for Health Statistics survey, 36 million Americans were edentulous, with 120 million missing at least one tooth. In the next 10 years, it is projected that at least 200 million people will lose at least one tooth.3 With an aging baby boomer population that is more likely to have a complicated medical history and be in need of implant therapy, it is important to evaluate the effect of different systemic disorders on dental implant osseointegration. The aim of this article is to briefly describe three common medical conditions and their associated medications that may negatively influence dental implant success rates.
No. 1: Patients with anxiety/depression taking selective serotonin reuptake inhibitors (SSRIs)
SSRI medications are commonly prescribed for patients suffering from anxiety and/or depression. They work by blocking the reuptake of serotonin, making this neurotransmitter more available, and specifically by blocking the 5-HT and 5-HTT interaction. That same 5-HT receptor is expressed by the osteoblast and osteoclast and can influence bone metabolism.
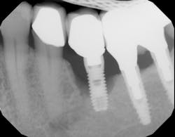
Recent studies suggest a role of SSRI intake and reduced bone mineral density, with an increase in bone fracture.4 The effect of SSRI use on implant success rates is not clear, but one study evaluated 94 implants placed over five years and saw a double in implant failure rates when comparing patients taking SSRIs and those not taking the medication.5 Another more recent study evaluated 2,055 implants placed over a two-year period. This study suggested a threefold increase in the number of failures in patients taking SSRIs compared to those who did not take the medication.6 When unexplained bone loss occurs around an implant and the patient has been on a long-standing SSRI medication, consideration should be given to this possible etiology (figure 1).
No. 2: Patients with gastroesophageal reflux disease (GERD) taking proton pump inhibitors (PPIs)
PPIs block acid production by irreversibly blocking the H+/K+ ATPase enzyme or the gastric proton pump, which is found within the parietal cells of the stomach and is the final step of acid production. PPIs are used to treat acid-related conditions such as esophageal/duodenal/stomach ulcers and GERD. This acid, however, is responsible for the breakdown and absorption of vitamins and nutrients such as Vitamin B12, iron, calcium, and magnesium. Because of the decrease in the available nutrients and vitamins, bone metabolism is negatively affected and results in a decrease in bone density.7
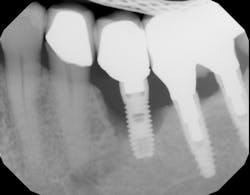
The effect PPIs have on implants is not clear, but one study looked at 3,560 implants placed in 1,000 patients over a 35-year period. Results found a 12% failure rate in PPI users versus nonusers.8 Another study evaluated 1,773 implants placed in 800 patients and found the failure rate doubled when comparing PPI users and nonusers.9 When unexplained bone loss occurs around an implant and the patient has been on long-standing PPI medication, consideration should be given to this possible etiology (figure 2).
No. 3: Patients with rheumatoid arthritis (RA) taking methotrexate (MTX)
RA is an autoimmune disease that causes inflammation, synovial thickening, edema, joint pain, and eventual bone mineral dissolution. Affecting women to men in a 3:1 ratio, it is estimated that 1.5 million Americans suffer from this disease, which is thought to be rooted in genetics, environmental, and/or hormonal causes. RA patients also have been susceptible to developing osteopenia/osteoporosis in 25%–60% of the cases with or without the use of steroids.10 MTX is a folic acid analogue that inhibits purine and pyrimidine synthesis and has adenosine-mediated anti-inflammatory effects. Low-dose MTX in RA treatment seems to exert anti-inflammatory effects by inhibition of both monocytic/lymphocytic pro-inflammatory cytokines involved in rheumatoid synovitis.
Although there have been a few animal studies that suggest a negative effect of MTX on integration, there continues to be a lack of human studies with few anecdotal reports.11 A recent consensus conference systematically evaluating the best evidence on RA concluded that high implant and prosthodontic success rates can be anticipated for patients suffering from RA and other connective tissue disorders. However, these authors suggest that rigorous maintenance programs and optimal hygiene should be instituted for RA patients since they are more vulnerable to soft-tissue breakdown.12
References
1. Pjetursson BE, Tan K, Lang NP, Brägger U, Egger M, Zwahlen M. A systematic review of the survival and complication rates of fixed partial dentures (FPDs) after an observation period of at least 5 years. Clin Oral Implant Res. 2004;15(6):625-642. doi:10.1111/j.1600-0501.2004.01117.x.
2. Moraschini V, Poubel LA, Ferreira VF, Barboza Edos S. Evaluation of survival and success rates of dental implants reported in longitudinal studies with a follow-up period of at least 10 years: a systematic review. Int J Oral Maxillofac Surg. 2015;44(3):377-388. doi:10.1016/j.ijom.2014.10.023.
3. Dye BA, Thornton-Evans G, Li X, Iafolla TJ. Dental caries and sealant prevalence in children and adolescents in the United States, 2011-2012. NCHS Data Brief. 2015;(191):1-8.
4. Diem SJ, Blackwell TL, Stone KL. Use of antidepressants and rates of hip bone loss in older women: the study of osteoporotic fractures. Arch Intern Med. 2007;167(12):1240-1245. doi:10.1001/archinte.167.12.1240.
5. Wu X, Al-Abedalla K, Rastikerdar E, et al. Selective serotonin reuptake inhibitors and the risk of osseointegrated implant failure: a cohort study. J Dent Res. 2014;93(11):1054-1061. doi:10.1177/0022034514549378.
6. Altay MA, Sindel A, Özalp Ö, et al. Does the intake of selective serotonin reuptake inhibitors negatively affect dental implant osseointegration? A retrospective study. J Oral Implantol. 2018;44(4):260-265. doi:10.1563/aaid-joi-D-17-00240.
7. Ito T, Jensen RT. Association of long-term proton pump inhibitor therapy with bone fractures and effects on absorption of calcium, vitamin B12, iron, and magnesium. Curr Gastroenterol Rep. 2010;12(6):448-457. doi:10.1007/s11894-010-0141-0.
8. Chrcanovic BR, Kisch J, Albrektsson T, Wennerberg A. Intake of proton pump inhibitors is associated with an increased risk of dental implant failure. Int J Oral Maxillofac Implants. 2017;32(5):1097-1102. doi:10.11607/jomi.5662.
9. Wu X, Al-Abedalla K, Abi-Nader S, Daniel NG, Nicolau B, Tamimi F. Proton pump inhibitors and the risk of osseointegrated dental implant failure: a cohort study. Clin Implant Dent Relat Res. 2017;19(2):222-232. doi:10.1111/cid.12455.
10. Adachi JD, Olszynski WP, Hanley DA, et al. Management of corticosteroid-induced osteoporosis. Semin Arthritis Rheum. 2000;29(4):228-251. doi:0.1016/s0049-0172(00)80011-6.
11. Tavakoli M, Yaghini J, Moghare abed A, Malekzadeh M, Maleki D. Evaluation of effect of low-dose methotrexate on osseointegration of implants: a biomechanical study on dogs. Open Dent J. 2018;12:546-554. doi:10.2174/1874210601812010546.
12. Aghaloo T, Pi-Anfruns J, Moshaverinia A, Sim D, Grogan T, Hadaya D. The effects of systemic diseases and medications on implant osseointegration: a systematic review. Int J Oral Maxillofac Implants. 2019;34(suppl):s35-s49. doi:10.11607/jomi.19suppl.g3.
Editor’s note: This article originally appeared in Perio-Implant Advisory, a chairside resource for dentists and dental hygienists for issues relating to periodontal and implant medicine. Exclusive content from an academic perspective centers on complex care, solving clinical complications from a team-based approach through interdisciplinary management.
About the Author

Scott Froum, DDS
Editorial Director
Scott Froum, DDS, a graduate of the State University of New York, Stony Brook School of Dental Medicine, is a periodontist in private practice at 1110 2nd Avenue, Suite 305, New York City, New York. He is the editorial director of Perio-Implant Advisory and serves on the editorial advisory board of Dental Economics. Dr. Froum, a diplomate of both the American Academy of Periodontology and the American Academy of Osseointegration, is a volunteer professor in the postgraduate periodontal program at SUNY Stony Brook School of Dental Medicine. He is a PhD candidate in the field of functional and integrative nutrition. Contact him through his website at drscottfroum.com or (212) 751-8530.





