5 seconds of implant safety that can save 5 years of litigation
Although dental implants enjoy a high survival rate, complications happen. On occasion, a patient may digest or aspirate an implant component, requiring a trip to the hospital for radiographs. Dr. Scott Froum discusses an easy-to-use device that for just five seconds of diligence to promote implant safety can prevent five years of agonizing litigation should the unexpected occur.
Although dental implants enjoy a high survival rate, (1) complications can occur. Those complications that happen due to provider negligence (iatrogenic implant complications) can be the worst kind, because they are often preventable and likely to wind up as malpractice cases if they are truly egregious.
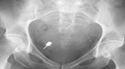
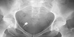
The most common type of iatrogenic complication is the placement of a dental implant into an adjacent anatomical structure, such as an adjacent tooth, sinus cavity, or nerve. On rare occasions, dental implant armamentarium, such as implant drivers, can be digested or aspirated, often requiring a trip to the hospital to have radiographs taken to locate the implant part. (2)
A new, easy-to-use device called the Safety Tie (Practicon Inc.), created by Dr. Martin Schwartz, attaches to implant components (especially designed for the implant driver) to prevent digestion or aspiration by patients. Unlike placing regular dental floss around an implant driver, (3) the Safety Tie has a finger loop that adds security when handling (figure 1). Taking less than five seconds to assemble, the tie is inserted into the implant driver with the safety stop, and then the loop is placed around the ring finger of the clinician (figure 2). The tie has a sufficient length to allow the clinician to access the implant prosthesis (figure 3) yet still account for an emergency retrieval if necessary (figure 4).
As the idiom goes, an ounce of prevention is worth a pound of cure. In this case, five seconds of diligence can prevent five years of agonizing litigation should an unexpected outcome develop during implant rehabilitation (figure 5).
Figure 5
References
1. Adell R, Eriksson B, Lekholm U, Brånemark PI, Jemt T. Long-term follow-up study of osseointegrated implants in the treatment of totally edentulous jaws. Int J Oral Maxillofac Implants. 1990;5(4):347-359.
2. Tiwana KK, Morton T, Tiwana PS. Aspiration and ingestion in dental practice: a 10-year institutional review. J Am Dent Assoc. 2004;135(9):1287-1291.
3. Ratnaditya A, Ravuri S, Tadi DP, Kandregula CR, Kopuri RC, Pentakota VG. A simplified method of preventing implant hex drive from aspiration or accidental swallowing during stage two implant recovery. J Int Soc Prev Community Dent. 2014;4(Suppl 1):S23-S25. doi: 10.4103/2231-0762.144572.
CLICK TO READ MORE CLINICAL TIPS . . .
About the Author

Scott Froum, DDS
Editorial Director
Scott Froum, DDS, a graduate of the State University of New York, Stony Brook School of Dental Medicine, is a periodontist in private practice at 1110 2nd Avenue, Suite 305, New York City, New York. He is the editorial director of Perio-Implant Advisory and serves on the editorial advisory board of Dental Economics. Dr. Froum, a diplomate of both the American Academy of Periodontology and the American Academy of Osseointegration, is in the fellowship program at the American Academy of Anti-aging Medicine, and is a volunteer professor in the postgraduate periodontal program at SUNY Stony Brook School of Dental Medicine. He is a trained naturopath and is the scientific director of Meraki Integrative Functional Wellness Center. Contact him through his website at drscottfroum.com or (212) 751-8530.






