Endodontic therapy vs. implant maintenance: an evidence-based review
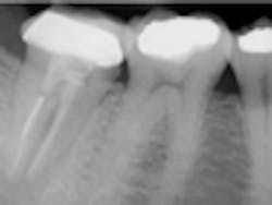
By Doreen Toskos, DMD, and Joseph F. DiBernardo, DDSContemporary dental treatment has advanced to a point where clinicians demand esthetic and predictable restorations for their dental patients. The advent of implant dentistry has provided a viable alternative to compromised teeth deemed unrestorable by conventional dental procedures. Implant dentistry has a long-term predictability and cost-effectiveness. When performed to the standard of care and under ideal circumstances, the surgical and prosthetic phases of the procedures can be done in an expeditious manner with a high level of satisfaction to the patient and the doctor (Fig. 1).
Fig. 1 — Tooth No. 31 referred for endodontic evaluation. After evaluation, the endodontist deemed this tooth hopeless. Clinical factors considered were 1 mm of depressability and a 10 mm probing depth on the straight lingual. Radiographic factors included evidence of excessive coronal flaring, canal transportation, and a fractured post instrument in the distal canal. Extraction and implant therapy was suggested to the patient.There are many benefits to preserving one’s natural dentition vs. extraction and implant therapy. When performed to the standard of care, endodontic therapy provides patients with a long-term result and a shorter mean time to restoration.1 Time to restoration is also reduced relative to implant therapy.2 In addition, endodontic therapy provides patients with a service that maintains the periodontal ligament, or PDL. The PDL is crucial to proprioception in order to maintain occlusal feedback and avoid damage to the temperomandibular joint. Preservation of the natural periodontal complex also allows for future orthodontic movement if needed, whereas an osseointegrated implant is an ankylosed structure that may impede orthodontic therapy. The negative psychological implications of tooth loss is never experienced by a patient who keeps his or her own dentition, and the long-term satisfaction rate is just as high relative to implant therapy3 (Figs. 2 and 2a).
Fig. 2 — Tooth #14 was sensitive to percussion. Endodontic therapy was completed three months prior to the referral. The existing endodontic therapy approximates the root end, but anatomy was clearly missed.
Fig. 2a — Retreatment postoperatively. The canals have been enlarged and a missed MB2 was treated. Shortly after completion of treatment, No. 15 developed symptoms and is in the process of endodontic therapy.Recent research has focused on the long-term survival of endodontic treatment. In a 2004 study, the outcomes of more than one million root canal-treated teeth in more than one million patients was assessed over an eight-year period.4 Using Delta Dental’s national database as a resource, researchers were able to amass an extensive sample size of endodontically treated teeth (both general dentist and specialist). Overall, the study found that the retention rate of root canal-treated teeth was 97% over the eight-year period. Of the teeth with an "untoward event" — namely, a retreatment, apicoectomy, or extraction — the event occurred mostly within a year from the time of original treatment. An analysis of the teeth extracted after endodontic therapy showed that 85% had no full coronal coverage, highlighting the interdependency of successful endodontics and successful prosthetics. Controlling variables such as caries after access and tooth type, it was shown that endodontically treated teeth not crowned after obturation were lost at a 6.0 times greater rate than teeth crowned after obturation.5Previously published articles have sought to compare the success rates of dental implants with the success rates of endodontic procedures, a hard comparison to make because of the vast differences in treatment. One treatment modality depends on halting and reversing periradicular disease, and the other depends on the integration of a prosthetic medical device into native or regenerated tissue (Fig. 3). In a comparison of initial nonsurgical endodontic treatment and single-tooth implants, it was found that restored endodontically treated teeth and single-tooth implant restorations have similar success rates.6 Implants showed a longer average and median time to function and a higher incidence of postoperative complications that required subsequent treatment intervention. Such interventions included peri-implant grafts, treatment of screw loosening, treatment of abutment fractures, and bone augmentation. In a similar study, it was shown that although endodontic therapy and single-tooth implant placement had similar success rates, more maintenance was needed with the dental implants.7
Fig. 3 — Tooth No. 3 was referred for endodontic therapy. It is important to have a thorough understanding of canal anatomy and to utilize modern endodontic technology. In this case, an MB1, MB2, and MB3 with three separate portals of exit were found and treated.When deciding upon extraction and implant therapy vs. saving the dentition via endodontic therapy, we must consider each case on an individual basis. Treatment decisions should be patient-centered, evidence-based, long-lasting, and cost-effective. Various factors need to be considered, such as clinician’s expertise, strategic location of the tooth, bone quality, soft-tissue quality and quantity, the patient’s periodontal status, tooth restorability, and the patient’s medical history. When giving patients options for their restorations, an implant surgeon must address the possibility of endodontic therapy and general dentists/endodontists must discuss the ramifications of implant therapy. As dentists, we are trained to preserve the natural dentition for our patients, and it is our ethical responsibility to do so whenever possible. Author biosDoreen Toskos, DMD, was raised on Long Island. Following her undergraduate studies at Cornell University, Dr. Toskos received her DMD degree from Harvard University in Boston, Mass. She then returned to New York for a two-year postgraduate residency in endodontics at Columbia University. Since the completion of her training, Dr. Toskos has practiced on Long Island and lectured for general dentists and the New York Dental Association. She stays actively involved in continuing education. She is an attending endodontist for the general practice and pediatric residency programs at Brookdale Hospital.Joseph F. DiBernardo, DDS, was raised on the north shore of Long Island. He obtained both his undergraduate and dental degrees from Stony Brook University. After his dental school training, he completed a general practice residency program at Nassau University Medical Center. He has worked as a general dentist for three years, both in Long Island and New Jersey. He returned to New York to complete a two-year residency program to specialize in endodontics at New York University in Manhattan. He then returned to Long Island to establish Smithtown Endodontics. Dr. DiBernardo is on staff at the general practice residency program at Stony Brook University Dental School.References1. Moisiewitsch JRD, Caplan D. A cost-benefit comparison between single-tooth implant and endodontics. J Endod 2001; 27, 235.2. Christensen GJ. Implant therapy versus endodontic therapy. J Am Dent Assoc 2006; 137(10):1440-1443.3. Dugas NN, Lawrence HP, Teplitsky P, Friedman SJ. Endo: Dec. 2002; 28(12):819-827.4. Salerhrabi R, Rotstein, I. Endodontic treatment outcomes in a large patient population in the USA: an epidemiological study. Journal of Endodontics Dec. 2004; 30(12).5. Aquilino SA, Caplan DJ. J Prosthet Dent. Mar. 2002; 87(3):256-263.6. Doyle SL, Hodges JS, Pesun IJ, Law AS, Bowles WR. Retrospective cross-sectional comparison of initial nonsurgical endodontic treatment and single-tooth implants. Compend Contin Educ Dent. Jun. 2007; 28(6):296-301. 7. Hannahan JP, Eleazer PD. J Endod. Nov. 2008; 34(11):1302-5. Epub 2008 Sep 19.

