Replacement possibilities for multiple missing anterior teeth
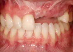
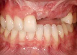
In an earlier article, I discussed the possible scenarios that patients with multiple missing anterior teeth may present with. It’s also important to be aware of the multiple ways you can prosthetically replace a patient’s multiple missing anterior teeth successfully.ALSO BY DR. FRANK SPEAR ...Dental options for immediate temporizationOptions in anterior immediate implant placementTooth-supported fixed partial denture. For many patients, a tooth-supported fixed bridge is a very predictable and esthetic option for replacing multiple missing anterior teeth. The predictability of the result is highly dependent upon the length of span and the quality of the abutments, as well as the patient’s parafunctional activity. Research reports a three-unit anterior bridge on vital abutments as having an estimated 20-year survival rate of 83%, while the same bridge if one abutment has endodontic therapy, drops to a 60% survival rate. For a four or more unit tooth-supported FPD on vital abutments the 20-year survival drops to 77%, and if that bridge has an endodontically treated abutment the survival drops to 56%. In spite of these numbers, tooth-supported FPDs can be excellent options for replacing multiple missing anterior teeth.Implant-supported fixed partial denture. For many patients who are missing three or more anterior teeth, an implant-supported FPD may be the best choice, especially if the remaining teeth would not make good abutments because of their structural condition. In fact for a patient missing both maxillary centrals but who has poor bone in the missing central incisor locations for implants, but also very poor lateral incisors from a structural perspective, it may be beneficial to consider sacrificing the lateral incisors and placing two implants in their location to create a four-unit implant-supported FPD rather than consider extending a tooth-supported FPD to the canines. The one challenge we still have with replacing multiple missing anterior teeth with implants is placing an implant for every missing anterior tooth; to date it’s very difficult to manage the gingival esthetic outcome when an implant is used for every missing anterior tooth. Typically separating implants with a pontic, except for adjacent central incisor implants, generally produces a more predictable esthetic result.Tooth-supported removable partial denture. An excellent tooth-supported removable partial denture is still a highly viable alternative for patients with multiple missing anterior teeth, especially those with a significant ridge defect in an isolated area of a few teeth, but good adjacent abutment teeth for the RPD. Using a removable appliance also has the side benefit of being able to ridge lap prosthetic soft tissue over the facial of the ridge and up under the lip, moving the junction of the acrylic and patient's tissue out of sight in a high smile. The use of a similar ridge lap is possible for pontics, but is usually contraindicated over implant abutments in any fixed restoration as it makes oral hygiene for the implants nearly impossible.Implant-supported removable partial denture. One of the areas where implants are very effective is as abutments for removable partial dentures. No matter how significant the ridge defect, if there is enough bone to anchor the implant, an implant-supported RPD can be excellent esthetically. In addition, the adjacent natural teeth don’t have to be involved in the prosthesis in any way. Two different approaches are typically used to retain the RPD to the implants, bars, or locator type attachments; both work well, but the design has to stabilize the prosthesis to the torsional rotation that occurs when incising on the missing anterior teeth.Reprinted with permission from Spear Education.
