Surgically Facilitated Orthodontic Therapy (SFOT): Maximizing case outcome
Modern science is making disruptive advancements in medicine and dentistry. Medical breakthroughs such as gene therapy in the treatment of different forms of cancer directly address the underlying problems (i.e., mutated genes) versus compromising results by treating the symptoms or overtreating other issues and masking the disease. In dentistry, Surgically Facilitated Orthodontic Therapy(SFOT) is an advanced procedure that pinpoints the underlying problems of insufficient alveolar bone and compromised arch forms to optimally enhance functional and esthetic concerns. In the past, these issues were frequently ignored, inappropriately treated to lifelong iatrogenic consequences, camouflaged through extraction orthodontics and compensated restorations, or overtreated through orthognathic surgery when it wasn’t a true skeletal problem.
ADDITIONAL READING |Periodontally accelerated osteogenic orthodontics reduces treatment times in comprehensive orthodontic cases
Nearly two-thirds of the US population has malocclusions of unknown etiology (2); however, insufficient alveolar bone is a common finding (3). Malocclusions with insufficient alveolar bone have traditionally been treated orthodontically by removal of permanent teeth. This doesn’t address the constricted arch form that can negatively affect function, esthetics, and the critically important airway (4).
Many complex interdisciplinary problems and malocclusions involve alveolar bone discrepancies in the dentoalveolar complex and/or the relationship of the dentoalveolar complex on the skeletal base. These issues can complicate therapy, prolong treatment time, and lead to disappointing results. The greatest limitation to orthodontically resolving these problems is the cortical plate of the alveolar bone (5). After teeth erupt, the cortical plates establish the boundaries for orthodontic development of the dental arches (6). Some refer to the cortical plates buccal and lingual to the apices of the teeth as “orthodontic walls” (7). Encroaching on these walls during traditional orthodontic tooth movement not only can lead to unstable results, but also iatrogenic tissue loss of the involved teeth, bone, and periodontium (2, 8-10).
SFOT addresses all of the above issues and has additional benefits:
- Engineers new tissue to provide a more robust and expanded arch form for the teeth to reside instead of resorting to extractions of teeth to fit the existing compromised arch
- Enables ideal tooth position for optimal occlusion
- Enables ideal tooth position for optimal restorative dentistry (virtually planned)
- Implant site development/planning through augmentation and tooth movement
- Enhances esthetics through optimizing dental relationships and arch forms
- Maximizes orthodontic possibilities
- Minimizes the number of surgeries by combining:
- Grafting of hard and soft tissue
- Addressing altered eruption as performed in esthetic crown lengthening
- Placing orthodontic anchorage
- Correcting osseous defects
- Removing tori and exostoses
- Extracting deciduous and permanent teeth
- Placing dental implants
By developing the arch form, there is an increase in oral volume that can assist in airway issues. This not only can enhance the quality of life, but also the quantity.
ADDITIONAL READING |Does your dental extraction socket need a bone graft: A decision matrix
A major advantage to the patient is that SFOT can significantly decrease the amount of time in treatment by more than 50%. This, combined with the new use of high-tech clear aligner therapy, greatly increases case acceptance.
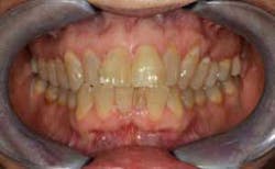
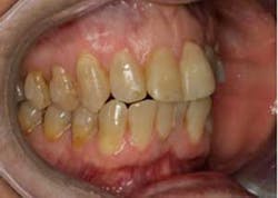
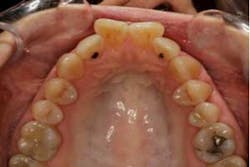
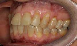
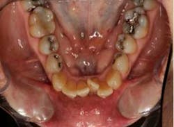
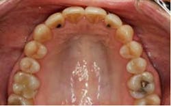
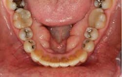
Case report: 57-year-old female
SFOT was used with a high-tech clear aligner to address hard- and soft-tissue deficiencies and severe maxillary and mandibular arch constriction.
A healthy, 57-year-old female presented with a lifelong desire for healthy, straight teeth and a beautiful smile. She had been told numerous times that it was not possible without premolar extractions.
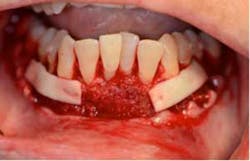
SFOT surgery was performed in the maxillary and mandibular arches with deep buccal corticotomies. Particulate, demineralized, freeze-dried bone allograft and acellular dermal matrix were used to augment the ridges.
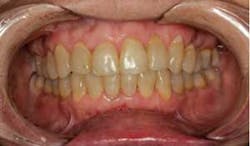
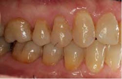
Total treatment time: 6 months. Patient declined recommended further clear aligner refinement and fine-tuning periodontal plastic surgery.
Surgically facilitated orthodontic therapy addresses the real, underlying problem of insufficient alveolar bone and expands the traditional “orthodontic walls.” It can reduce the need for extraction therapy, enable more ideal function and esthetics, enlarge arch form, decrease morbidity, increase predictability, enhance long-term stability, and significantly shorten treatment times. These SFOT advantages combined with clear aligner therapy creates a highly acceptable, cost-effective patient option for optimal interdisciplinary care.
References
1. Cross D, Burmester JK. Gene therapy for cancer treatment: Past, present, and future. Clinical Medicine & Research. Sept 1, 2006;4(3):218-227. 2. Proffitt WR, Fields HW, Sarver DM. Contemporary Orthodontics. 4th ed. St. Louis, MO: Mosby; 2006. 3. Rose JC, Roblee RD. Origins of dental crowding and malocclusions: An anthropological perspective. Compendium. June 2009;30(5):292-299. 4. McNamara JA. Maxillary transverse deficiency. Am J Orthod Dentofacial Orthop. 2000 May;117(5):567-570. 5. Kole H, Surgical operations of the alveolar ridge to correct occlusal abnormalities. Oral Surg Oral Med, Oral Pathol. 1959;12:515-529. 6. Edwards JG. A study of the anterior portion of the palate as it relates to orthodontic therapy. Am J Orthod. 1976;69:249-273. 7.Handelman CS. The anterior alveolus: Its importance in limiting orthodontic treatment and its influence on the occurrence of iatrogenic sequelae. Angle Orthod. 1996;66(2):95-109. 8. Sharpe W, Reed B, Subtenly JD, et al. Orthodontic relapse, apical root resorption, and crestal alveolar bone levels. Am J Orthod Dentofacial Orthop. 1987;91(3):252-258. 9. Melsen B. Limitations in adult orthodontics. In: Melsen B, ed. Current Controversies in Orthodontics. 1st ed. Hanover Park, IL: Quintessence Publishing Co. Inc.; 1991:147-180. 10. Kaley J, Phillips C. Factors related to root resorption in edge-wise practice. Angle Orthod. 1991;61(2):125-132.




















