All-On-4 treatment option: a case report
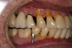
A healthy 67-year-old male presents with generalized severe periodontal disease (Class IV) and several failing restorations of both the maxillary and mandibular arches. He has a partial denture on the bottom that is ill fitting. Tooth No. 11 is broken at the gum line and the distal abutment on the upper left bridge has come loose. He has single implants on site Nos. 10, 24, and 25. Knowing that the prognosis of his current dental situation is poor, he desires a long-term definitive restorative option that would not interfere with his social life, improve his self-image, and provide overall comfort and practical function. He is adamant about not wanting removable prosthetic appliances as part of his future treatment, which left us with the option of using implants. Since the maxillary arch was our immediate primary concern (the lower, for the most part, stable), we discussed several alternatives and finally decided upon the All-On-4 (AO4).
RELATED |Dental implant therapy in the future
PREOP PHOTOS
The AO4 technique is an exceptional way to restore a patient’s dentition without the hassle for which removable prostheses are famous. The doctor, oral surgeon, and lab technician all need to be intimately involved with the treatment planning process in order to deliver a final prosthesis that will function and service the patient for life. What makes this option ideal is that the surgery and restoration are completed on the same day. The patient will leave knowing that aside from general healing and adaptation expectations, his or her day-to-day activities will not be hindered as they would be with a removable prosthesis.
Criteria for the AO4 is, first of all, complete edentulism, whether existing or needed. Generally, anyone who is a candidate for implants at all is a candidate for the AO4 procedure, assuming it is reasonable to remove whatever teeth the patient may have remaining to replace with the AO4. More and more, once a dentist becomes comfortable with the procedure, the expediency, predictability, and simplicity of the procedure make it a great choice over other options. For example, the patient with healthy teeth Nos. 21 through 28, but severe atrophy posterior to these teeth, is an almost impossible restorative challenge. Sacrificing the eight healthy teeth in exchange for AO4 can give fixed teeth back to a first molar occlusion without huge bone grafts or risk to neurosensory function. (1)
In the aforementioned case, our first step was to make a full upper denture. (2) Preop pictures, capturing the patient’s smile, high lip line, and resting line are recommended. A new lower partial denture is also fabricated since the existing lower partial “floated” and did not offer an ideal opposing arch to provide balanced occlusion against the AO4. The patient went to surgery, was edentulated (including removal of No. 10 implant), and had a total of four implants placed. He presented to my office immediately following surgery with the healing caps on.
We then took the full upper denture and with bite registration material, recorded where the implants were. We removed the acrylic in the denture and verified location, ensuring that we had a clear line of access to the implants; adjustments were made accordingly. The abutments were then placed intraorally and a rubber dam was situated so that the sutures were not disrupted.
Once the denture was situated in the mouth properly, acrylic was painted in the access sites to set the abutments in place within the denture. It was allowed to set (approximately three minutes) and then the entire denture was removed.
The palate was completely removed from the denture and the voids were filled in around the abutments. We did a rough try in to ensure vertical dimension and bite. The underside of the denture was filled in with acrylic to give it a convex shape so hygiene was ideal. The denture was seated and torqued to 15nCm. The access sites were packed with cord and then covered with resin. Since the patient was still numb, the bite was assessed the following day and adjusted accordingly. Total treatment time in my office was approximately 3.5 hours.
FINAL TEMPORARY AO4 PHOTOS
I asked the patient the following day what made him decide to do the AO4 vs. other options presented to him. He told me that what convinced him was the fact that he could have it all done in one day and that it was a stable, nonremovable alternative. He is thrilled with the results and plans to move forward with an AO4 on the lower within the next year. We will commence with the definitive prosthesis on the maxillary approximately six months postsurgery.
ALSO BY DR. STACEY SIMMONS …
Are you sure I have a cavity?
Head, neck, and oral cancer: A general reference for treatment
Reference & recognition for this case
1. R.F. John Holtzen, DMD. Oral and Maxillofacial Surgery; Surgical Arts Centre. Missoula, MT.
2. Randy McHenry; Premier Dental Lab. Billings, MT.
















