Three-in-one abutment offers surgical and restorative simplicity
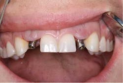
By Anthony J. Reganato, DDS, MS Implant dentistry is an exciting field that has evolved over the last 40 years or so through biological innovation. We have seen many different types of implant surface preparations that facilitate osseointegration and primary stability, and I am sure there will be further advancements in this area. We have learned of the many ways to restore single- and multiple-unit implants with different restorative configurations, various dental implant prostheses, and several loading protocols. However, only about 20% of the clinicians out there place and restore 80% of the implants. Why is this? Implant dentistry may appear to be complicated and confusing to the novice clinician ... but it doesn’t have to be.While I was a periodontal resident down in Birmingham, Ala., I was introduced to the BioHorizons® implant system, among others. There are many dental implant systems on the market, all of which have different surgical and restorative characteristics that make them appealing. However, sometimes a particular system just rubs you the right way, and that’s what happened to me as I used this particular implant system. The surgical drilling sequence was straightforward, the surgical kit was laid out nicely, but most of all, the implant system itself was simple ... and that was mainly attributable to the 3inOne BioHorizons abutment.This abutment is the actual carrier situated on the top of the dental implant that is used for surgical placement, but there are a few more uses for this abutment that make this implant so attractive for routine use when an implant restoration is planned, especially for the novice clinician who is interested in placing implants or for those docs who want a simpler way of restoring implants. Let’s discuss further the various uses of this versatile abutment.The first use of the BioHorizons 3inOne abutment is its role as the actual implant carrier, used for seating the implant into bone. I tend to find that implant systems with carriers allow for better visualization of angulation and positioning during insertion. The emergence of the carrier out of the implant is predictive of final abutment positioning, particularly when stock abutments are used. If the abutment carrier is in the appropriate restorative position, likely the use of stock abutments will follow suit.1. Implant carrier
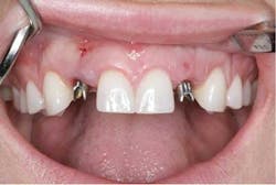
The second use of the BioHorizons 3inOne abutment is its use as a temporary abutment. Provisionalization of an implant is in high demand by our patient populations. When the right situations present themselves, use of the 3inOne abutment may facilitate temporization of a case and eliminate the need for ill-fitting flippers or unesthetic Essix retainers. 2. Temporary abutment
The BioHorizons 3inOne abutment may also be used as the impression coping for the case. When combined with a ball-top screw that extends the height of the abutment and creates better impression accuracy, this versatile abutment may be used to obtain a more definitive impression using a closed-tray approach. Once taken and removed from the mouth, connecting these components to an implant analog allows for suitable stone model fabrication in lieu of making the final restoration.3. Impression coping
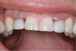
And finally, the BioHorizons 3inOne abutment can be used as the final prosthetic abutment in the case. Although most implant systems have a diverse selection of stock abutments, the simplicity of this system lends itself to the refinement of the 3inOne abutment, in order to account for proper angulation and path of prosthesis insertion. Whether one prepares this abutment chairside or submits it to the lab for modification, this abutment represents an alternative means to completing your case and expands your implant restorative armamentarium when deciding what prosthetic components should be used on a particular case.4. Final prosthetic abutment
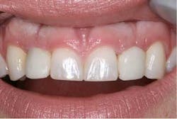
We have been using the BioHorizons 3inOne abutment routinely in our dental offices with much success and satisfaction. Simplicity is our saving grace in the face of the complex nature of implant dentistry. Bottom line: the easier we make implant dentistry, the more enjoyable it becomes. So take the plunge and expand your horizons with implant materials that keep things ... simple.Author bioAnthony J. Reganato, DDS, MS, is a diplomate of the American Board of Periodontology and a traveling periodontist in the Chicagoland area. As an in-house periodontist for several general practitioners, he strongly believes in the team approach to implant rehabilitation. You may contact him through his Facebook business pages, “Private Surgical Tutor” or “Anthony J Reganato, DDS, PC.”
















