Emdogain: a game changer
By Jennifer Hirsch Doobrow, DMD Just like the first time I stepped onto the University of Georgia football field to lead 86,000 fans in a cheer, the first time I placed Emdogain into a periodontal defect was a nervous but exhilarating experience. When my first patient came back for his two-week postoperative appointment and reported no pain or swelling, my excitement grew exponentially. The addition of Emdogain to my practice has not only been a practice builder, but it truly has been a game changer. Its addition to my practice has helped me achieve outstanding results in otherwise extremely challenging situations. Emdogain, enamel matrix derivative, has been scientifically proven to promote the predictable regeneration of lost periodontal hard and soft tissue. Regeneration has been described in the AAP Glossary of Terms (2001) as “the reproduction or reconstitution of a lost or injured part.” Periodontal regeneration has been defined as restoration of lost periodontium, the formation of new bone, new cementum, and a functionally oriented periodontal ligament. The only means of determining true periodontal regeneration is through the histological evaluation of sections obtained after treatment. Consistent histological findings have demonstrated that Emdogain has the ability to promote true periodontal regeneration. Emdogain fools the body into forming new bone, cementum, and attachment fibers, hence promoting periodontal regeneration. It consists of a mixture of enamel matrix proteins and their derivatives, (1,2) and propylene-glycolic-alginate (PGA) as a carrier. Enamel matrix proteins (amelogenins) are taken from developing porcine tooth buds. By reintroducing EMP, you are signaling a biologic response from the body to do what it did naturally during creation. Enamel matrix proteins are only in the body at this time of creation. In tooth development, the secretion of these proteins onto the developing root surface precedes the formation of tooth attachment. A similar action occurs when the proteins are placed on a root surface that has lost bone and attachment from disease. When applied to the root surface during surgery, these proteins assemble into an insoluble matrix layer that promotes the attachment of mesenchymal cells. These cells produce new matrix components and growth factors that participate in the regain of tooth attachment. Emodogain also has the ability to inhibit epithelial cell growth that could interfere with proper tissue and bone reformation. The most prevalent protein, amelogenin and its derivatives may play the most important role in the regenerative activity of EMD. (3) It remains unclear exactly how this “magic fairy dust” — as it is referred to in our practice — serves as a stimulus to prompt stem cells in the periodontal ligament to divide and differentiate, thus producing the additional proteins required for regeneration of the periodontium. It has been demonstrated, however, that Emdogain mimics the biological process of natural tooth development and thus enables the regeneration of new periodontal tissue. (4) Enamel matrix proteins will naturally bond with fibronectin, a key wound healing component in the body, as well as act as a key receptor to existing but yet dormant growth factors including Veg-F, therefore upregulating Veg-F. A key to its success in my practice has been the significant reduction of postoperative discomfort and edema. Emdogain is indicated for treatment of the following conditions: intrabony defects due to moderate or severe periodontitis, mandibular degree II furcations with minimal interproximal bone loss, coronally advance flap for treatment of gingival recession defects, and minimally invasive surgery technique in the esthetic zone. Keep in mind this is just one technique of many that has demonstrated success in regenerating what has been lost. This is not a panacea, but then again, nothing is. All clinicians need to remember there are limitations in every surgery, and we must be cognizant of these limitations. Multiple variables may affect surgical outcomes; we all need to keep in mind that patient selection and ideal procedural execution are the keys to success.
Jennifer Hirsch Doobrow, DMD, is a diplomate of the American Board of Periodontology. She is the owner of Periodontal and Implant Associates, Inc., serving two locations in Cullman and Jasper, Ala. Dr. Doobrow earned her DMD at the Medical University of South Carolina in 2007 and received her certification in periodontics from the University of Alabama at Birmingham (UAB) in 2010. Dr. Doobrow serves on the Leadership Council for the UAB School of Dentistry and is the vice president of the Wilson Chenault Dental Study Club. Every October her practice holds a statewide dental symposium for dentists and their team members; in 2011 they hosted more than 900 attendees. Please feel free to contact Dr. Doobrow by email at [email protected].References 1. Veis A, et al. Amelogenin gene splice products: potential signaling molecules. Cell Mol Life Sci. 2003; 60:38-55. 2. Zeichner-David M. Is there more to enamel matrix proteins than biomineralization? Matrix Biol. 2001; 20:307-316. 3. Maycock J, et al. Characterization of a porcine amelogenin preparation, Emdogain, a biological treatment for periodontal disease. Connect Tissue Res. 2002; 43:472-476. 4. McGuire et al. J Periodontol 2003; 74:1110,1126.
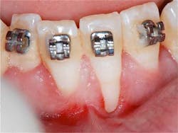
Preop: Connective Tissue Graft, Emdogain, Coronally Advanced Flap
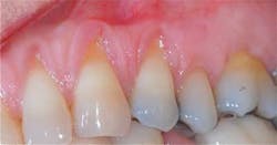
Postop: Eight-month reevaluation
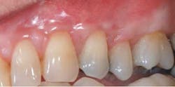
Preop: Alloderm (acellular dermal matrix), Emdogain, Coronally Advanced Flap (Tunneling Procedure)
Postop: Nine-month reevaluation
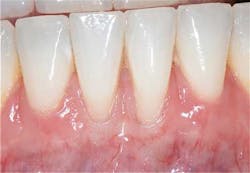
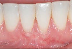
Preop: Connective Tissue Graft, Emdogain, and Coronally Advanced Flap
Postop: Nine-month reevaluation







