Harmony in prosthodontics
Complex cases can involve multiple prosthetic procedures, each with its own materials and techniques. It can be challenging to achieve esthetic and functional harmony between fixed and removable prosthetics on implants and natural teeth.
Fig. 1: Panoramic X-rays of a 40-year-old woman
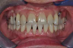
A 40-year-old woman, with no medical history except that she is a smoker (five cigarettes a day), is visiting us for an oral rehabilitation. Her chief complaints are teeth mobility and an esthetic concern since her maxillary front teeth are moving forward. The patient also suffers from dental anxiety.
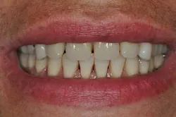
Fig. 2: Anterior teeth relationships prior to treatment
Diagnosis
The patient’s main problem is adult aggressive periodontitis, aggravated by tobacco use. The consequent tooth losses have caused migrations of the remaining teeth under functional adaptation.
ALSO BY DR. GUILLAUME GARDON-MOLLARD |Periocclusion
Prognosis and treatment plan
Risk factor analysis for this particular case:
- Periodontal: Risk is high because of the advanced periodontitis. Prognosis is hopeless for teeth Nos. 5, 12, 15, and 18. It is poor for teeth Nos. 1, 2, 3, 6, 8, 9, 10, and 11 and considered fair for mandibular teeth Nos. 20 through 29.
- Dental: No carious or erosive lesions have been diagnosed. Only tooth No. 1 holds a small Class II amalgam on the mesial. Thus, the prognosis for all the remaining tooth structure is good.
- Functional: Clinical examination did not show any dysfunction of the musculo-articular structures. Prognosis of the oral function after prosthetic rehabilitation is good.
- Esthetics: The patient’s relatively young age and her esthetic concern are at the core of her desire to seek care. Her smile line is intermediate. Her anxiety makes the esthetic prognosis poor.
After explaining and discussing treatment options with the patient, here is the selected treatment plan:
- Initial periodontal therapy: hygiene instructions, scaling and root planing.
- Extraction of teeth Nos. 18 and 31. Placement of four dental implants in the posterior mandible.
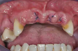
- Extraction of teeth Nos. 1, 5, 8, 9, 10, and 12 and placement of a provisional acrylic removable partial denture.
- Tooth preparation for two splinted PFM crowns over teeth Nos. 2 and 3.
- Removable partial denture with metal framework for the replacement of the 10 missing maxillary teeth.
- Four implant-supported PFM crowns for the replacement of the mandibular molars.
ALSO BY DR. GUILLAUME GARDON-MOLLARD | Dental implant therapy in the future
This strategic treatment choice has been made in order to rehabilitate the mandible in a more stable fashion with dental implants as long as the remaining teeth on this arch have a better prognosis than the upper teeth. The patient has very well understood the concern for the remaining maxillary teeth due to potential progression of the periodontal disease. She has seen no objection to wearing a removable partial denture, since this treatment solution will allow her to be comfortable while saving money for a future maxillary implant reconstruction.
Prosthodontic procedures
- Provisional acrylic removable partial denture placement after the extractions of the upper teeth. It serves as a functional and esthetic test for the rest of the treatment.
Figs. 3a, b, and c: Extraction of the upper incisors and maxillary removable acrylic placement
- Teeth preparation, impression, and metal framework fabrication for PFM crowns on teeth Nos. 2 and 3.
Figs. 4a, b, and c: Impression for PFM crowns on Nos. 2 and 3 and mounting
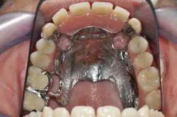
- Impressions and fabrication of the RPD and implant abutment metal frameworks.
Figs. 5a and b: Impression for the RPD framework including the PFM frameworks and mounting
- Try-in and final bite registration.
Figs. 6 a, b, c, and d: RPD framework try-in, bite record with mandibular implant-supported metal frameworks and mounting
- Final mounting.
Figs. 7a, b, and c: Teeth and ceramic mounting
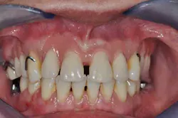
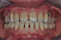
- Final result.
Figs. 8a, b, c, and d: Final results
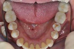
- 2 years’ postop.
Figs. 9a, b, and c: Two years’ postop. Note the patient’s commitment to maintaining an optimal oral hygiene
Conclusion
The success of the various prosthetic procedures relies on their respective impression techniques. In this case, four types of impressions have been used:
- Alginate and regular tray for the fixed and removable prosthetics
- Silicones and custom tray for the tooth-supported crowns
- Polyethers and custom tray for the RPD framework
- Polyethers and custom tray for the implant crowns
But even with outstanding impression techniques, certain fundamental prosthodontic principles must be followed:
- Healthy tissue support
- Stable and reproducible intermaxillary relationships
- Stable vertical dimension throughout treatment
- Simultaneous and bilateral posterior occlusal contacts (MIP)
- Anterior teeth placement allowing function, phonetics, and esthetics (overjet and overbite)
- Accurate communication with lab technicians: rigid occlusal rims, precise mountings, wax-ups, photographs

























