Orkos Award winner Dr. Greg Sawyer helps patient save implant and avoid surgery
Dr. Greg Sawyer
December 3, 2013 – Peri-implantitis is notoriously difficult to treat non-surgically. The inflammatory response resulting in loss of bone supporting an implant, gingival bleeding, and suppuration is often associated with spirochetes and mobile gram-negative anaerobes. Part of treatment difficulty lies in effective localized administration of antimicrobial agents around the infected implant. One novel administrative technique involves prescription tray delivery of medication that patients use at home.
Dr. Greg Sawyer of Los Gatos, CA received an Orkos Award for excellence in case study for helping a patient treat peri-implantitis non-surgically using this prescription tray technique. The Orkos was established by Perio Protect LLC to celebrate the contributions of dental professionals in the fight against gingivitis or periodontitis. The award also recognizes individual contributions in minimally invasive dentistry. This is the first award given for an implant case.
With ridge split bone augmentation, Dr. Sawyer surgically placed the implant at tooth 30 in August 2007. The crown for the implant was placed the following February. By April 2009 the implant had become infected and suppurant, and the bone support around the implant was ailing with four threads affected.
Implant for tooth #30 at surgical placement
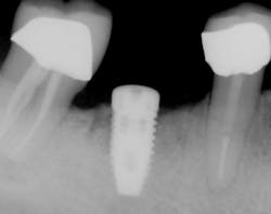
Same implant, May 2009. Solid, but ailing, showing four
threads affected. Suppurant.
Treatment started immediately with metronidazole, followed by several visits to irrigate and mechanically treat the ailing implant. The tissue remained suppurant, tender, and swollen. The patient had a choice between Perio Tray delivery and surgery. Perio Trays, Vibramycin, and Perio Gel with 1.7% hydrogen peroxide were delivered June 16, 2009 for use in short daily intervals. Research indicates that scaling combined with Perio Tray delivery of 1.7% hydrogen peroxide gel, alone or with Vibramycin, results in greater reductions in pocket depths and bleeding than scaling alone. This held true when researchers looked only at restorations.
RELATED:Code D5994 applies to perio trays starting in 2014
In September 2009, after three months of treatment, phase contrast microscope analysis for Dr. Sawyer’s patient determined the samples around the implant were clear of pathogenic microorganisms. Tissue health had improved significantly and was maintained at the following periodontal maintenance visits in October 2009 and January 2010.
In May 2010, patient records indicated new bone around the implant. A radiograph taken May 2012 shows a gain of two threads of bone on the implant. In previous case studies bone stabilization has been documented for patients who use Perio Trays to apply a subclinical dose of tetracycline (3 drops) in short daily increments over the course of several months.Same implant, May 2012. Two threads affected, no suppurance.
Tetracycline inhibits osteoclasts and boosts osteoblasts, but access to the bone and regular administration can be tricky, especially as patient conditions often require frequent application. The Perio Tray helps overcome these administrative obstacles.
At the most recent periodontal maintenance visit in July 2013, there was no sign of infection around the implant. It has remained stable for four years.
“Peri-implantitis treatment is often ineffective because it treats the symptoms, not the cause of the inflammatory response,” explains Dr. Sawyer. “Bone loss, bleeding, swelling are all symptoms. Dentistry should be about addressing the causes of diseases, in this case the bacterial infections underlying the symptoms.”
Dr. Sawyer has more than six years of experience treating patients with Perio Tray delivery. The technique fits nicely into his full service cosmetic and family dental practice, where he promotes minimally invasive treatment. “Every procedure performed in our office,” Dr. Sawyer explains, “is as conservative as possible, preserving as much healthy tooth structure as the dental team can.” Perio Protect applauds his approach and his practice.
RELATED: Perio Protect announces 2014 annual meeting in Las Vegas
For more information on Greg Sawyer’s dental team and services, please visit www.losgatosdentalgroup.com.
For additional information about the Orkos Award and the current winners, go to www.theorkosaward.com/.
To learn more about the Perio Protect Method, visit www.perioprotect.com.
X-ray images courtesy of Dr. Gregory Sawyer and Perio Protect, LLC.



