Bulk-fill composites: a step-by-step case presentation
Introduction
For decades, posterior direct composite restorations have enabled clinicians to provide patients with minimally invasive and esthetic restorations as an alternative to amalgam fillings. Since the introduction of direct composites, however, clinicians have faced a variety of challenges with their placement, handling, wear, and esthetics. For example, direct posterior composite placement has typically required meticulous operative techniques to ensure complete isolation and polymerization due to restrictions presented by the location in the mouth and limited access. (1) Additionally, large lesions have traditionally been most successfully treated when the composite is placed and cured in layers in order to prevent the polymerization shrinkage and postoperative sensitivity that have been characteristic of direct posterior composite restorations. (2-4)
In response to dentists’ needs for a material with reduced polymerization shrinkage, easier handling, better wear, and also enhanced polishability for plaque resistance, manufacturers contributed to the evolution of direct posterior composites with the addition of small particles (e.g., nanoparticles) and other fillers. As a result, today’s composites demonstrate enhanced wear and polishability characteristics. Further, the addition of light initiators and polymerization boosters enable clinicians to place some materials in bulk — in increments of up to 4 mm — thereby eliminating the need for technique-sensitive layering protocol. (5)
Compared to previous techniques that require an incremental buildup of the restoration, today’s bulk-fill composites (e.g., Tetric EvoCeram® Bulk Fill, Ivoclar Vivadent, Amherst, NY) allow dentists to complete a variety of direct posterior restorations simpler and faster, including Class V restorations and extended fissure sealing. (5) The light-cured and nano-hybrid composite contains a pre-polymer shrinkage stress-relieving filling technology, a light-initiator/polymerization booster, and a light-sensitivity filter that make it ideal for bulk placement in increments up to 4 mm. (5) Combined, these material components translate to restorations that resist the formation of the white line at the margin that can compromise esthetics, as well as reduce shrinkage that frequently leads to gaps, leakage, cracks, or postoperative sensitivity. Additionally, this bulk-filled composite can be sculpted and polymerized in one 10-second increment (>1000 mW/cm2). (5)
Case presentation
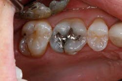
An example of an ideal case for which bulk filled composite (i.e., Tetric EvoCeram® Bulk Fill) is indicated is a 43-year-old female who presented with a defective amalgam restoration on the occlusal of tooth No. 14 (Figs. 1 and 2). The treatment plan involved removing the defective amalgam restoration, any secondary caries, and restoring the tooth with a direct bulk-fill composite (i.e., Tetric EvoCeram® Bulk Fill).
The tooth was prepared and a total etch technique utilizing 37% phosphoric acid was performed (Figs. 3 through 5). After the etchant was rinsed, a desensitizer was placed and blotted to leave a moist dentin surface for bonding (Fig. 6). The bonding agent was applied; the ethanol solvent was air evaporated using a warm air dryer; and the adhesive light-cured for 10 seconds (Figs. 7 and 8).
Fig. 6.
The depth of the cavity was determined to be 4 mm or less. The bulk-filled composite (Tetric EvoCeram® Bulk Fill) was placed in the preparation (Figs. 9 and 10). In this case, the first increment was placed, followed by additional material that was adapted to the tooth anatomy (Figs. 11 through 13). After further refining, the bulk-fill composite was light-cured in one increment for 10 seconds (1,200 mW/cm2).
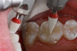
The occlusion was checked and adjustments were completed (Figs. 14 through 16). After the final polish was accomplished, the restoration was completed (Figs. 17 through 19).
Conclusion
When patients present with defective amalgam restorations, bulk-fill composite materials (e.g., Tetric EvoCeram Bulk Fill) provide an ideal restorative option for clinicians and patients. A successful and long-lasting restoration that is simple and easy to place can be achieved. When a material is selected that reduces polymerization shrinkage, prevents postoperative sensitivity, and eliminates the need for placing and curing multiple layers of composite, the direct posterior composite restoration can be a predictable and efficient treatment.
Additional related reading ...
Fabricating IPS e.max veneers step-by-step
The advantages of having an in-office ceramic furnace in your dental practice
References
1. Mackenzie L, Shortall AC, Burke FJ. Direct posterior composites: a practical guide. Dent Update. 2009;36(2):71-72, 74-76, 89-80 passim.
2. Giachetti L, Scaminaci Russo D, Bambi C, Grandini R. A review of polymerization shrinkage stress: current techniques for posterior direct resin restorations. J Contemp Dent Pract. 2006;7(4):79-88.
3. Cheung GS. Reducing marginal leakage of posterior composite resin restorations: a review of clinical techniques. J Prosthet Dent. 1990;63(3):286-288.
4. Sarrett DC. Clinical challenges and the relevance of materials testing for posterior composite restorations. Dent Mater. 2005;21(1):9-20.
5. Tetric EvoCeram Bulk Fill: The bulk composite without compromises. Scientific Documentation. Schaan, Lichtenstein: Ivoclar Vivadent; 2001:1-20.






















