header logo Perio Implant Advisory

Advanced solutions for interdisciplinary dental care

  • Clinical Tips
  • Dental Implants
  • Periodontics
  • Practice Management
  • Restorative Dentistry
undefined mega-logo
Sections
Clinical Tips
Dental Implants
Periodontics
Practice Management
Restorative Dentistry
Special
Continuing Education
Free Samples
Innovator Awards
Videos
Contact
About Us
Advertise
Contact Us
Newsletter
Newsletter Subscription
Affiliated Brands
RDH UNDER ONE ROOF
DENTAL ECONOMICS
DENTISTRYIQ
RDH
Follow us on
https://www.facebook.com/SurgicalRR
https://www.instagram.com/pi_advisory/
https://www.linkedin.com/company/surgical-restorative-resource?trk=other_brands_name
https://twitter.com/PI_Advisory
https://www.youtube.com/channel/UCm8U6hZE-uCLCEx_MSs7fpw

Lab Considerations

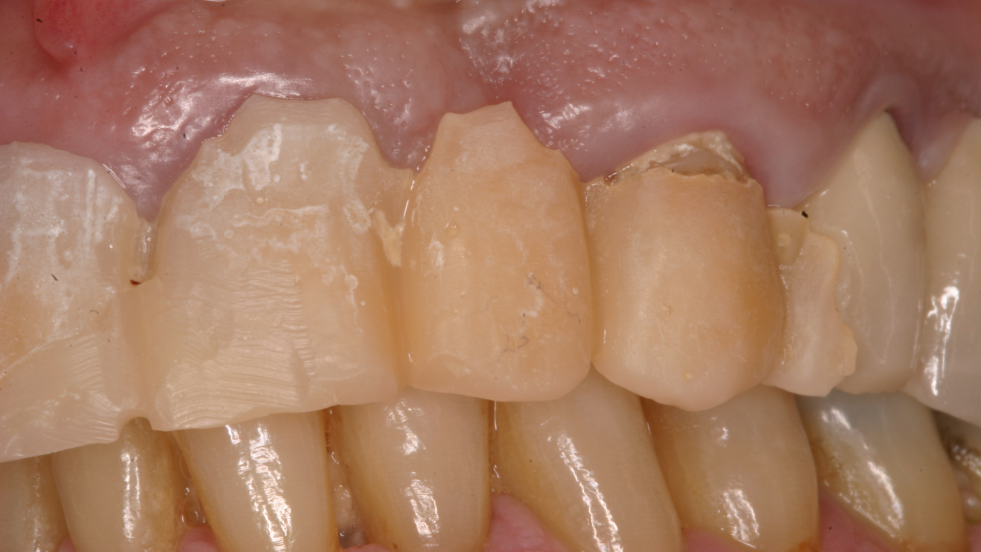
Fig2 Img 5220
Lab Considerations

The crown the lab made doesn't fit: Why does this happen?

Steven Pigliacelli, MDT, CDT, talks about the various reasons why a crown may have to be sent back to the lab for a remake. Dentists and lab techs alike shift the blame, but what...
Sept. 1, 2021
Photo courtesy of Alisa Neymark, DDS
Img 4224
Lab Considerations

Top 5 questions you should ask a lab before you send them a case

March 5, 2021
© Joaquin Corbalan | Dreamstime.com
Copyright Joaquin Corbalan Dreamstime Serology Testing Covid19
Best Practice

COVID-19 serology tests and the role of the dental office

April 17, 2020
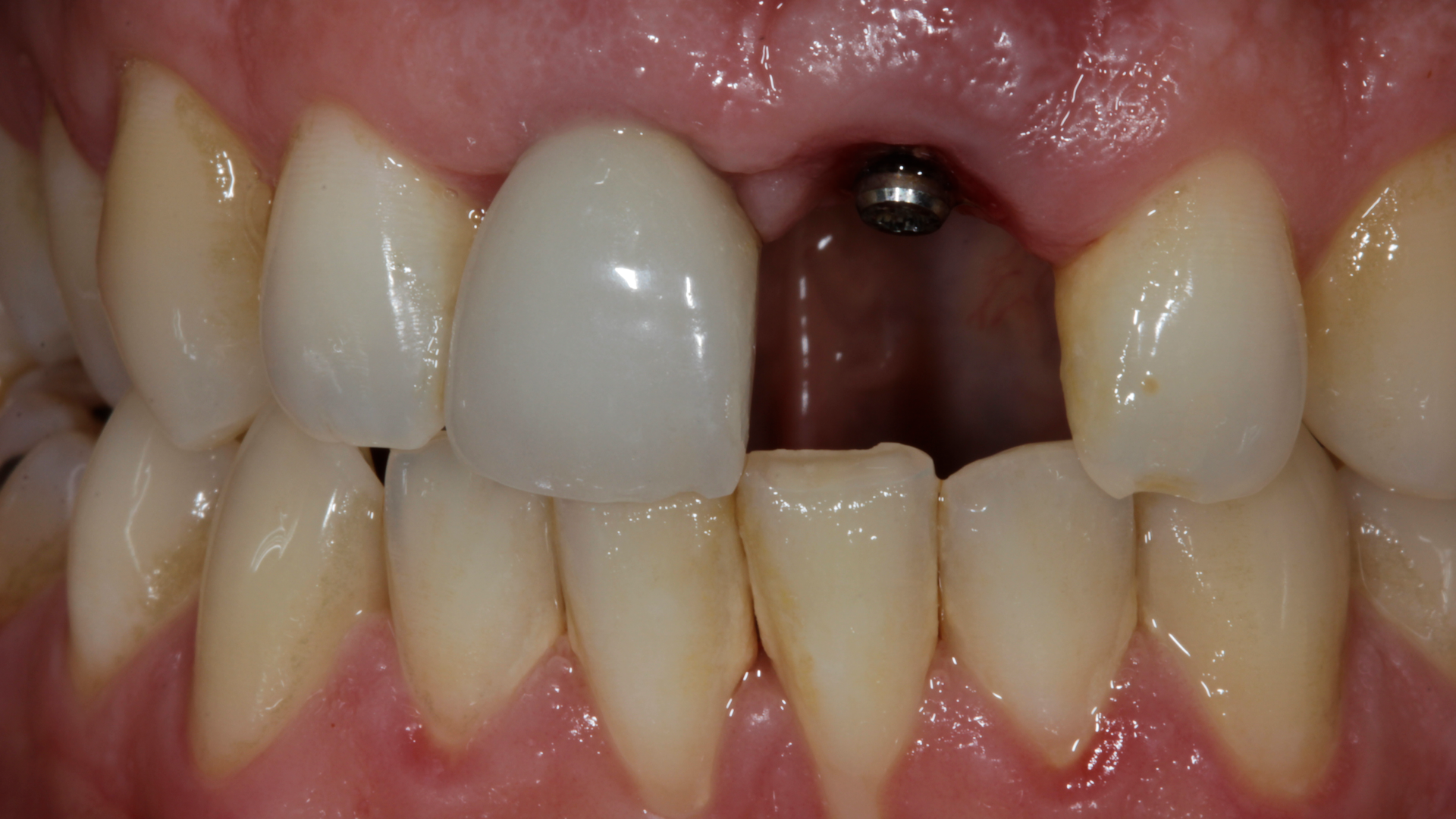
20 Jan9 Pi Apigliacelli Primary
Restorative Dentistry

Prevention of titanium base debonding and failure

Jan. 6, 2020
Content Dam Sr Online Articles 2017 10 17oct12piabrown Thumb
Surgical Techniques

Radiographic guides and surgical guide stents for dental implants: Laboratory fabrication techniques

Oct. 10, 2017
Content Dam Sr Online Articles 2017 03 Robertvogeldds Thumb
Interdisciplinary Teams

Optimizing the patient experience: A TEAM approach

March 7, 2017
Stages Of Periodontal Disease
Lab Considerations

Study identifies genes that cause periodontal disease

Oct. 12, 2016
Lab Considerations

Computers help dental implants look natural

Oct. 19, 2015
Content Dam Diq Online Articles 2015 03 Russellnishimura 2015 Article Thumbnail
Lab Considerations

Academy of Osseointegration appoints new president

March 27, 2015

Looking for Something?

footer logo Perio Implant Advisory
Perio-Implant Advisory provides evidence-based clinical content for specialists and generalists managing complex periodontal and implant cases.
Newsletters
The top stories, industry insights and relevant research, assembled by our editors and delivered to your inbox.
Connect
Follow us for the latest industry news and insights.
https://www.facebook.com/SurgicalRR
https://www.instagram.com/pi_advisory/
https://www.linkedin.com/company/surgical-restorative-resource?trk=other_brands_name
https://twitter.com/PI_Advisory
https://www.youtube.com/channel/UCm8U6hZE-uCLCEx_MSs7fpw
Affiliated Brands
RDH UNDER ONE ROOF
DENTAL ECONOMICS
DENTISTRYIQ
RDH
  • About Us
  • Advertise
  • Do Not Sell or Share
  • Privacy Policy
  • Terms & Conditions
EndeavorB2B Logo
© 2026 All rights reserved.