Sinus grafting: How to manage complications involving the maxillary sinus
Sinus grafting has become one of the best documented techniques to improve bone volumes in the posterior edentulous maxilla when existing bone is insufficient to support dental implants due to sinus expansion and/or alveolar ridge atrophy. However, when complicated anatomical or clinical issues present, sinus augmentation becomes more problematic. Dr. Matteo Chiapasco offers tips on how to perform predictable sinus grafting under unfavorable conditions.
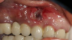
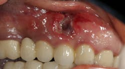
Photo courtesy of Scott Froum, DDS
Sinus grafting has become one of the best documented techniques to improve bone volumes of the posterior edentulous maxilla whenever the residual bone volume is insufficient to host dental implants due to sinus expansion and/or alveolar ridge atrophy. Success rates of the procedure as well as the survival rate of implants placed in augmented sinuses are very high and consistent with those obtained in cases of implants placed in native bone.
SOME SINUSES, HOWEVER, MAY PRESENT ANATOMICAL OR CLINICAL SITUATIONS THAT RENDER SINUS AUGMENTATION MORE PROBLEMATIC, CREATING A HIGHER RISK OF COMPLICATIONS OR TECHNICAL DIFFICULTIES.
These situations include the presence of (1) large alveolar arteries crossing the anterior/lateral wall of the sinus, (2) large antral pseudocysts, (3) previously treated and then failed sinus grafting procedures, (4) expanded sinuses in association with severe bone resorption of the alveolar ridge, and (5) sinusal polyps or maxillary sinusitis.
To provide rational surgical protocols and solutions to overcome these problems, thus simplifying the treatment of difficult sinuses, I will be presenting “Managing the Difficult/Complicated Maxillary Sinus: Tips and Tricks” as part of the Opening Symposium at the upcoming Academy of Osseointegration 2018 Annual Meeting in Los Angeles. This session is scheduled at 1:00 p.m. local time on Thursday, March 1, 2018, at the Los Angeles Convention Center.
As a further preview of my presentation, I will also explain:
1. Surgical techniques to prevent hemorrhages from large alveolar arteries, by identifying and avoiding the artery or including it into the bony window created to graft the sinus.
2. How to remove large antral pseudocysts with a new microinvasive approach that I recently published.
3. How to reoperate previously failed sinus lift procedures followed by infection, scar tissues, or absence of the Schneiderian membrane.
4. How to reconstruct severely resorbed posterior edentulous maxillae when sinus grafting alone is insufficient to allow an adequate, implant-supported prosthesis.
5. How to manage—both with intraoral and a combination of transnasal endoscopic and intraoral approaches—sinuses presenting with polyps or chronic maxillary sinusitis.
Editor's note: Dental professionals can hear Dr. Chiapasco’s full presentation on "Managing the Difficult/Complicated Maxillary Sinus: Tips and Tricks" by attending the Academy of Osseointegration 2018 Annual Meeting, “Inspiring Imagination—Enhancing Health,” to be held February 28–March 3, 2018, at the Los Angeles Convention Center. For complete meeting details, including online registration, please click this link.




