The perils of do-it-yourself dentistry: A case study
Under the guise of affordable dental care, the public is being duped into thinking do-it-yourself (DIY) dentistry for half price is safe. Dr. Scott Froum, Perio-Implant Advisory's editorial director, and Dr. Zackary Faber discuss the dangers of DIY dentistry as they present the case of a 22-year-old who tried gap banding and ended up needing an interdisciplinary treatment plan.
UNDER THE GUISE OF AFFORDABLE DENTAL CARE AND ACCESS TO CARE, numerous "opportunities" are readily available for the general public to engage in do-it-yourself (DIY) dentistry.
For example, many pop-up stores and cart vendors at shopping malls offer DIY whitening treatments. In order to lower their overhead and avoid having to employ a licensed practitioner, these stores require patients to take their own impressions for bleaching trays. After a "technician" pours the models, the bleaching trays are fabricated. Advertising for this service includes asking patients why they would seek professional treatment when they can receive a similar solution for 50% of the price. Of course, no medical or dental histories are taken and contraindications to bleaching are rarely reviewed. Consent forms are signed, however, that seek to indemnify the provider from any adverse outcome of these services.
DIY dentistry in orthodontics
A more recent example of DIY dentistry has been seen in the field of orthodontics. A well-advertised attempt at DIY orthodontics is offered by a company called SmileDirectClub. In this business model, a patient seeking orthodontic treatment has an alternative to making an appointment to see a dentist or orthodontist for consultation and therapy. The patient can either walk into a SmileDirectClub location or simply order a home impression kit (cost is $95 and comes with putty) and take a few smile shots with his or her phone camera. The material is then sent to a SmileDirectClub location and allegedly analyzed by a licensed dentist or orthodontist. A series of invisible trays is generated for the orthodontic therapy and shipped to the patient with instructions.
These trays are similar in nature to Invisalign or Clear Correct trays, but they do not require the patient to have a comprehensive orthodontic consultation. In addition, the trays are offered at a price point of $1,850—regardless of complexity—which is 60% to 70% below the typical cost of Invisalign therapy, for example. An interesting feature of SmileDirectClub’s website is a self-diagnostic questionnaire to determine patient candidacy for this therapy. Even if you are looking to open or close a bite with extreme tooth movements required, somehow you are still a candidate for their trays (figure 1).
Figure 1: Example of DIY orthodontics advertising to patients
DIY dentistry: A slippery slope to medicolegal questions
Whether you agree or disagree with these examples of DIY dentistry, there are potential dangerous outcomes to patients. Especially disconcerting is the propagation of the sentiment that patients who treat their own dental needs is acceptable. Breaking down dentistry into simple mechanical treatment without biological and evidence-based rationale is a slippery slope to travel down and raises many medicolegal questions. The questions then become: Which treatments are now acceptable for patients to perform on themselves? And who should be responsible for rescue treatment should an adverse outcome happen?
Gap banding
For example, a popular DIY method of trying to close teeth diastemas is something known as gap banding. Featured on many websites, including YouTube, videos about gap banding instruct people with diastemas how to use either regular or orthodontic rubber bands to close spaces between teeth for cosmetic purposes. One such video shows a young male adult teaching people how to gap band and boasting how he did his own orthodontics for the low cost of $300. Of course, there are many hidden dangers in this practice. The following is a case example that will highlight the dangers of DIY dentistry—specifically, a patient who attempted to perform her own gap banding.
Case study
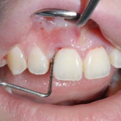
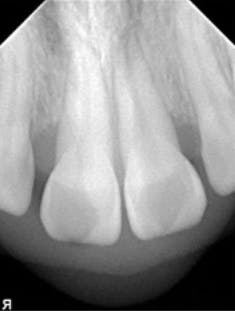
A 22-year-old female presented to a periodontal office with the chief complaint of gum swelling in the maxillary anterior (figure 2). Radiographs taken of the area showed unexpected bone loss in the maxillary central and incisor region (figure 3). The patient admitted to the dentist that she was using a technique known as gap banding that she had found out about online to close the spaces between her front teeth. She stated that she would use these bands at night while she slept, and one morning one of the bands was gone. A few months later, she developed the "swelling in her gums."
The periodontist surgically exposed the area and, after debridement, noticed an orthodontic rubber band encapsulated with fibrous tissue at the alveolar crest of Nos. 8 and 9 (figure 4). The band was then removed (figure 5) and the area was grafted.
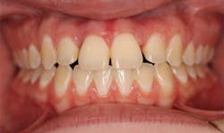
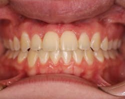
The patient was referred to an orthodontist and, after a comprehensive orthodontic examination, a treatment plan was generated (figure 6). After conventional orthodontic therapy was rendered, the patient was happy with her esthetics, occlusion, and function (figure 7). The patient vowed never again to perform dentistry on herself.









