Avoid a 'crack of shame': Consequence of unidentified inaccuracy during lab workflow for a full-arch implant-supported restoration
A full-arch implant-supported restoration requires a perfectly accurate impression and model fabrication workflow. Any slight discrepancy between the mouth and model can have disastrous effects on the integrity and fit of the final restoration. Drs. Daniel Gober and Markus Weitz present a case illustrating the consequence of an inaccuracy that went unnoticed during laboratory workflow in the verification stage for a zirconia restoration.
Full-arch implant-supported restorations require an impression and model fabrication workflow of absolute accuracy and precision. Any slight discrepancy between the mouth and the model can have disastrous effects on the integrity and fit of the final restoration. Sometimes, this discrepancy can even go unnoticed in the verification stage. The following case report will briefly describe the process that was used to restore a full-arch implant-supported restoration and illustrate the consequence of an unidentified inaccuracy during the course of laboratory workflow.
ALSO BY THE AUTHORS ...
A solution for stripped dental implant screws
Case report
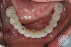
A full-arch restoration on transmucosal abutments was planned. A rigid resin pattern, open-tray, implant level impression was taken (figure 1). The laboratory provided the dentist with straight, transmucosal abutments (figure 2) and a verification jig that was used to verify occlusion, phonetics, and esthetics (figure 3).
Figure 1: Rigid resin pattern, open-tray, implant level impression
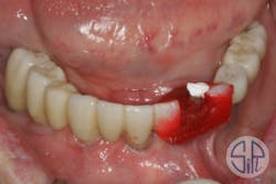
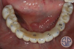
Following this verification step, a zirconia restoration was fabricated and delivered (figure 4). While screwing the restoration into place, a cracking sound was heard. The restoration had fractured lingually to the access hole of dental implant No. 27 (figure 5).
Figure 4: Newly delivered zirconia restoration
Figure 5: A fracture occurred in a lingual direction to the access hole of dental implant No. 27
A discrepancy between the model and the mouth must have been present, which caused the zirconia to stress and crack where it did. It is difficult to understand how this occurred, however, since a rigid resin impression and a verification jig were used in this case.
When the lab technician looked back at the original resin pattern, he noticed a fracture in the resin in the exact location (figure 6) where the crack had occurred in the full-arch restoration. Because the resin was too thin in that particular spot, it must have cracked slightly either when the impression was pulled from the mouth or when it was attached to implant replicas and poured into stone.
Figure 6: A crack in the original resin pattern that matched the precise spot where a crack later occurred in the full-arch zirconia restoration had gone unnoticed
Additionally, since the verification jig was made out of acrylic, it is possible that it was flexible enough to overcome the slight discrepancy in the mouth. However, once that was translated into zirconia, it could not flex and the restoration fractured due to stress.
The fractured zirconia restoration was sectioned into two pieces, sandblasted, and then reseated as separate pieces. A new impression coping was placed on transmucosal abutment No. 27 (figure 7). All three pieces were luted together with resin as a new abutment level "pickup" impression (figure 8).
Figure 7: New impression coping placed on transucosal abutment No. 27
Figure 8: New abutment level "pickup" impression, with all three pieces luted together
The lab poured up a new model and milled a new zirconia restoration, which was delivered (whole this time!) with ease (figure 9).
Figure 9: New final laboratory-fabricated zirconia restoration based on abutment level "pickup" impression













