The deleterious effects of drugs such as opioids, opioid derivatives, methamphetamine, cocaine, Ecstasy, and marijuana have been reported in the literature and are well-known in the dental community. Over the past decade, however, these drugs have been adulterated or flat out replaced by mimicking cheaper synthetic street drugs that can be even more harmful for the person taking them.
For example, synthetic opioids, usually a fentanyl or fentanyl derivative, were responsible for 56,000 deaths in the United States in 2020 and accounted for 82% of all opioid-involved deaths.1 The rates of this type of overdose death jumped 56% from 2019 to 2020 and is 18 times higher than it was in 2013.2
Listed below are highlights of how some common illicit drugs are being used on the street today after having been manipulated to make them cheaper and stronger, as well as their effects on the oral cavity.
Dental pain: Can we predict who has a higher risk prior to treatment?
Fentanyl (He-man, Fire, Friend, Goodfella, China White)
Fentanyl is a powerful synthetic opioid, unlike other opioids that are derived from the poppy plant. Fentanyl is similar to morphine, but it’s 50 to 100 times more potent. Fentanyl works by binding to the body’s opioid receptors, which are found in areas of the brain that control pain and emotions. Its effects include extreme happiness, drowsiness, nausea, confusion, constipation, sedation, tolerance, addiction, respiratory depression and arrest, unconsciousness, coma, and death.
Although fentanyl is a prescription drug, it has been synthesized in the black market (primarily from Mexico and China) and illicitly sold as a powder, dropped on blotter paper like small candies, in eye droppers or nasal sprays, or made into pills that look like real prescription opioids. The major problem with fentanyl is that it is being mixed with other drugs, such as cocaine, heroin, methamphetamine, and MDMA (Ecstasy). This is especially dangerous because people are often unaware that fentanyl has been added. Since 2017, fentanyl has been the number one reason for drug overdose.3 Naloxone is a reversal agent for opioids and can work to combat fentanyl overdoses; however, multiple doses may be necessary because of fentanyl’s potency.
Medical History Mysteries: A new street drug—xylazine
Fentanyl and xylazine (tranq, tranq dope)
Xylazine, an animal tranquilizer not approved in humans, is a sedative that slows breathing and heart rate and lowers blood pressure, which can compound some effects of an opioid such as fentanyl or heroin. Recently, xylazine has been combined with fentanyl and other drugs to increase their potency.
First noticed in Philadelphia and Puerto Rico, xylazine is now showing up in about 81% of the illicit opioids sampled. The problem with this drug is that it can cause profound sedation and unconsciousness for six to eight hours, leaving the person susceptible to exposure, sexual assault, or other dangers. In addition, because it is not an opioid, xylazine will not respond to naloxone even if the fentanyl it is mixed with does, making the reversal agent less effective. Contaminated drugs that have led to infection have resulted in higher cases of amputation, since xylazine causes a restriction of blood flow, a decrease in cardiac output, and is a hindrance in the healing cascade.4
Ecstasy and Bath salts (Flakka, alpha-PVP, Monkey dust, Pure Ivory, Cloud 9)
Ecstasy or MDMA (3,4-methylenedioxymethylamphetamine) has been one of the most popular party drugs for about three decades and was found in pill form. Its effects on the oral cavity are well-known and include xerostomia, clenching/bruxism, caries, and fractured dentition. Thirty years ago, MDMA could often be found in pure form, but today it is easily mixed with other cheaper substances, and the newest street name for powdered Ecstasy has been dubbed Molly.
According to Joseph Palamar, PhD, MPH, assistant professor at New York University Langone Medical Center, Section on Tobacco, Alcohol and Drug Use:
“Molly is supposed to be ecstasy/MDMA, but we have actually been finding that Molly tends to be adulterated with novel synthetic drugs such as synthetic cathinones—commonly referred to as ‘bath salts.’ Some youngsters intentionally use bath salts to get high, but many more use the drugs unknowingly because they are in Molly.”
Cathinones are synthetic drugs chemically related to the khat plant. Khat is a shrub grown in East Africa and southern Arabia, and people sometimes chew its leaves for their mild stimulant effects. Synthetic variants of cathinone can be much stronger than the natural product and, in some cases, very dangerous. These drugs pose a bigger threat especially since they are combined with other narcotics such as MDMA (Molly) and cocaine. At least 97 different compounds of bath salts were discovered by 2015, and every time a bath salt gets prohibited by law, a new one pops up. The internet has been the biggest source for acquiring bath salts illicitly.
Effects on the oral cavity
Unfortunately, there is little to no research on the dental effects of many of these new street drugs. Although there is a tremendous need for controlled research on their potential oral effects, practitioners would benefit from recognizing potential drug use in their patients.
The signs and symptoms of addiction are well-known and include rampant caries (figure 1), especially smooth surface and anterior interproximal lesions, fractured teeth from bruxism and clenching, and gum disease from oral hygiene neglect.5 The acidic nature of these drugs combined with the xerostomia they cause can create unexplained and rapid deterioration of teeth, which is one of the hallmarks of drug use.
In addition, carriers of these drugs such as Actiq (fentanyl in a lozenge used in the transmucosal form in the mouth) can contain high doses of sugar, further exacerbating a bad situation. Even drugs used to combat the pleasurable effects of opioids by making them less appealing, such as buprenorphine (Suboxone), have recently been flagged by the FDA as drugs that can result in dental disease. These drugs have a low pH (3.4) and are designed to be placed sublingually or on the mucosa of the cheek and dissolve in the mouth for 10 minutes.
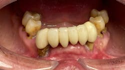
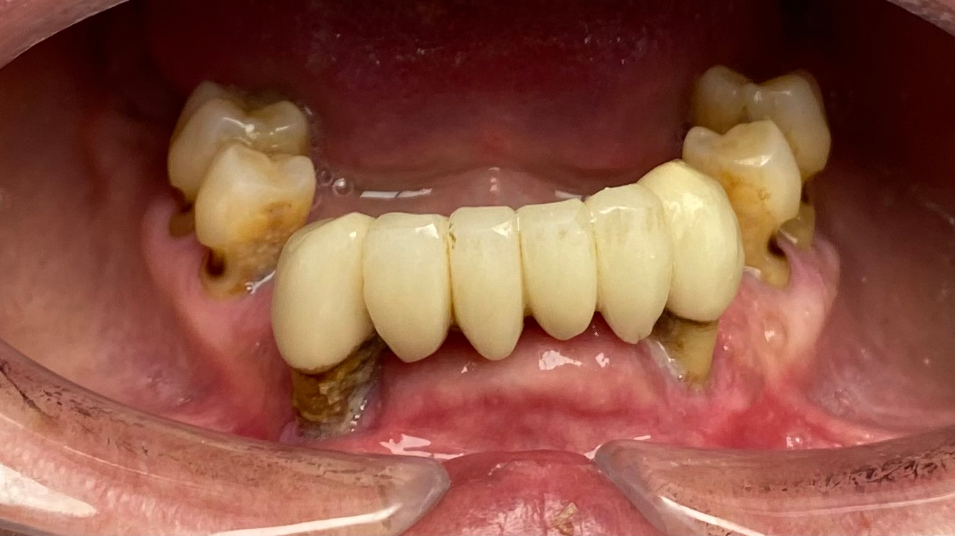
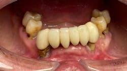
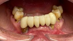
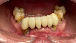
This type of contact can result in caries along the cervical region of the tooth as well as gum and tissue problems.6 Unrestorable caries and/or gum disease can often lead to tooth extraction (figure 2) and, once the addiction is controlled, the need for dentures or dental implants.
Editor’s note: This article originally appeared in Perio-Implant Advisory, a chairside resource for dentists and hygienists that focuses on periodontal- and implant-related issues. Read more articles and subscribe to the newsletter.
References
- Wide-ranging online data for epidemiologic research (WONDER). Centers for Disease and Control and Prevention, National Center for Health Statistics. 2021. Reviewed August 17, 2022. https://wonder.cdc.gov/
- Gladden RM, Martinez P, Seth P. Fentanyl law enforcement submissions and increases in synthetic opioid-Involved overdose deaths – 27 states, 2013-2014. MMWR Morb Mortal Wkly Rep. 2016;65(33):837-843. doi:10.15585/mmwr.mm6533a2
- Acetyl fentanyl fact sheet. Drug Enforcement Administration. Diversion Control Division. Drug and Chemical Evaluation Section. March 2020. https://www.deadiversion.usdoj.gov/drug_chem_info/acetylfentanyl.pdf
- Bebinger M. They call it “tranq”—and it’s making street drugs even more dangerous. Medscape. Kaiser Health News. August 11, 2022. https://www.medscape.com/viewarticle/979084
- Shaner JW. Caries associated with methamphetamine abuse. J Mich Dent Assoc. 2002;84(9):42-47.
- FDA warns about dental problems with buprenorphine medicines dissolved in the mouth to treat opioid use disorder and pain. U.S. Food and Drug Administration. Updated January 21, 2022. https://www.fda.gov/drugs/drug-safety-and-availability/fda-warns-about-dental-problems-buprenorphine-medicines-dissolved-mouth-treat-opioid-use-disorder
About the Author

Scott Froum, DDS
Editorial Director
Scott Froum, DDS, a graduate of the State University of New York, Stony Brook School of Dental Medicine, is a periodontist in private practice at 1110 2nd Avenue, Suite 305, New York City, New York. He is the editorial director of Perio-Implant Advisory and serves on the editorial advisory board of Dental Economics. Dr. Froum, a diplomate of both the American Academy of Periodontology and the American Academy of Osseointegration, is a volunteer professor in the postgraduate periodontal program at SUNY Stony Brook School of Dental Medicine. He is a PhD candidate in the field of functional and integrative nutrition. Contact him through his website at drscottfroum.com or (212) 751-8530.





