Do root canals cause cancer?
The recent documentary on Netflix, Root Cause, is causing quite a stir. Many are questioning the safety and validity of root canals and their possible connection to the "c" word—yes, cancer. Periodontist Dr. Scott Froum and Endodontist Dr. Omar Ikram debunk accusations made in the documentary on three levels so that you can begin to have intelligent conversations with your dental patients.
IT'S HARD TO BELIEVE, but "Do root canals cause cancer?" is a genuine question many patients are asking after a documentary on Netflix called Root Cause aired and made a case for endodontic therapy being linked to an increase in cancer rates. This brief article will attempt to debunk the accusations made in this documentary on three levels, so that an intelligent conversation can be had with your current and potential dental patients.
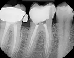
A tooth saved by typical nonsurgical root canal treatment. No peer-reviewed studies have shown this type of treatment being linked to cancer or heart attacks.
 Focal infection theory
The theory discussed in the Root Cause documentary—the focal infection theory—suggests that chronic diseases are caused by localized infections. In the documentary, this theory was used as a basis to state that because we cannot remove all of the bacteria in a root canal-treated tooth, a chronic inflammatory response is induced. Claims were made that the chronic inflammation associated with these root canal-treated teeth led to systemic diseases such as cancer, arthritis, heart disease, chronic fatigue, and male impotence.
Why the focal infection theory is false
The focal infection theory was devised by a dentist named Weston Price in 1922. That was 100 years ago. The true science behind root canals and the techniques used to treat apical periodontitis were not developed until 1965, 45 years after the focal infection theory was promulgated. (1) Because the cause of the etiology of apical periodontitis was unknown 100 years ago, root canal treatments were highly variable, no protocols were established, and root canals performed at that time cannot be compared to root canals performed today. The modern concepts of endodontics that dentists perform today—such as irrigation, medication, and microscopic debridement—wouldn’t have been mainstream practice 100 years ago. The theory of focal infection was found to be flawed, as the studies performed by Dr. Price lacked control groups, were found to have bias, and, overall, had poor experimental design. (2) However, even if you still believe in this 100-year-old theory, modern-era root canal techniques would not leave the same bacteria in the tooth as the root canals that were performed a century ago.
Cause and effect
The definition of cause and effect is a relationship between events or things, where one is the result of the other or others. This is a combination of action and reaction. Correlation, on the other hand, is defined as a mutual relationship between two or more things. A confounding variable is defined as an extra variable that was not accounted for in a study that can ruin an experiment and suggest correlation, when in fact there is none.
How the documentary incorrectly uses cause and effect
In this documentary, the case is made by one osteopathic physician that 97% of terminal cancer patients (breast cancer) previously had root canal procedures. Because of this percentage, the claim is made that root canals cause cancer. Cause and effect, clear and simple. The problem with this rationale is that the highest incidence of women with breast cancer are in the age range of 50–75. (3) Similarly, the age range that exhibits the highest prevalence of root canal-treated teeth are in this same age range. (4) The statement that people with breast cancer had root canal therapy so root canal therapy causes breast cancer is not a logical statement. This is not cause and effect. This correlation is further proved false by the confounding variable of age. In other words, this statement would be similar to a statement that says 97% of the people who had breast cancer had skin wrinkles so skin wrinkles cause breast cancer.
Oral-systemic connection
The oral-systemic connection is a thought process that the mouth is not a separate part of the body but intrinsically linked. The oral cavity is often called the window into the body as many systemic problems manifest themselves in the mouth. Unfortunately, a strong mouth-body disconnect sentiment still exists in medicine. An article written this month explains the history behind this divide and how studies have shown that dental conditions can contribute to systemic conditions. (5) Chronic inflammation of tissues in the mouth, especially periodontal disease, has been linked to systemic issues such as diabetes, cardiovascular disease, respiratory diseases, Alzheimer’s disease, low-birth-weight babies, pancreatic cancer, and rheumatoid arthritis. (6) Many studies have shown the benefits of treating inflammation in the mouth as a means of treating systemic illness. One recent study shows how nonsurgical treatment of periodontal disease lowered HbA1c levels in individuals with prediabetes. (7) This is a classic example of how dental treatment can decrease inflammatory cytokines and is thought to have an impact on systemic illness. On the other hand, there are many reports of adverse effects of untreated dental disease, especially in the case of acute abscess infections. (8)
How the documentary incorrectly uses the oral-systemic connection
Although this documentary does address how the mouth is linked to the rest of the body, the conclusions drawn are not supported by research and are wildly inaccurate. Root canal therapy is not the cause of cancer or heart attacks. Root canals do not leave areas of necrotic bone in your jaw that are filled with bacteria and lead to chronic inflammation and illness.
Conclusion
In the words of Marcus Johnson, DDS, MSD, a board-certified endodontist:
Misinformation presents a threat to public health without sound facts and data based within peer-reviewed science and verified studies. In these times where from the palm of your hand correct information is as easy to access as false and outlandish rubbish, identifying truthful resources can be a challenge. There is no valid scientific knowledge linking root canal treatment to any health problems, and with the backing of 8,000 endodontists—"the specialists in saving natural teeth"—163,000 dentists, and 3,300 dental researchers, it becomes clearer that fear-based platforms of fallacy are doing a disservice, are disingenuous to the public, and will be silenced by sound research! As an evidenced-based board-certified endodontist, I welcome any questions concerning root canal treatment and its safety and would be happy to answer them and direct inquiring minds to the appropriate resources at the American Association of Endodontists and our parent entity, the American Dental Association. I can honestly say if there were ever any concerns about the safety of this procedure, which is performed millions of times a year, I would have been the first to object. Natural teeth are worth saving!
The American Association of Endodontists offers a wealth of resources to help combat misinformation and reassure patients and dental professionals about root canal safety.
 MORE READING ON THIS SUBJECT |Netflix's 'Root Cause' is dumb, but is it also dangerous?
References
1. Kakehashi S, Stanley HR, Fitzgerald RJ. The effects of surgical exposures of dental pulps in germ-free and conventional laboratory rats. Oral Surg Oral Med Oral Pathol. 1965;20(3):340-349.
2. Pallasch TJ, Wahl MJ. The focal infection theory: appraisal and reappraisal. J Calif Dent Assoc. 2000;28(3):194-200.
3. Noone AM, Howlader N, Krapcho M, et al. (eds). SEER Cancer Statistics Review, 1975–2015. Table 4.17. Cancer of the female breast (invasive). National Cancer Institute. Bethesda, MD. https://seer.cancer.gov/csr/1975_2015/, based on November 2017 SEER data submission, posted to the SEER website, April 2018. https://seer.cancer.gov/csr/1975_2015/browse_csr.php?sectionSEL=4&pageSEL=sect_04_table.17. Accessed June 5, 2018.
4. Hollanda AC, de Alencar AH, Estrela CR, Bueno MR, Estrela C. Prevalence of endodontically treated teeth in a Brazilian adult population. Braz Dent J. 2008;19(4):313-317.
5. Karlis N. Oral health is crucial to overall health. So why is dental insurance separate from health insurance? Salon Media Group Inc website. https://www.salon.com/2019/02/04/oral-health-is-crucial-to-overall-health-so-why-is-dental-insurance-separate-from-health-insurance/. Published February 5, 2019. Accessed February 5, 2019.
6. Li X, Kolltveit KM, Tronstad L, Olsen I. Systemic diseases caused by oral infection. Clin Microbiol Rev. 2000;13(4):547-558.
7. Kocher T, Holtfreter B, Petersmann A, et al. Effect of periodontal treatment on HbA1c among patients with prediabetes. J Dent Res. 2018:22034518804185. doi:10.1177/0022034518804185.
8. Ghezzi EM, Ship JA. Systemic diseases and their treatments in the elderly: impact on oral health. J Public Health Dent. 2000;60(4):289-296.





