Dentist-induced peri-implantitis
The American Academy of Periodontology recently published an article discussing peri-implant mucositis and peri-implantitis. In the article, they listed a series of risk factors that caused these conditions. The restoring dentist directly controls one of the risk factors the article listed: residual cement. This article will discuss a recent case I encountered and stress the need to be extremely diligent when cementing any type of restoration on implants.
Fig. 1: X-ray of torqued-in prefabricated abutment. The final impression was taken, and a temporary was placed at this visit.
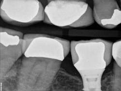
Fig. 2: X-ray of crown try-in two weeks after initial visit. No cement had been used at this point in the appointment. However, if you look at the distal of the implant, there is residual cement. This means that the cement came from the cementation of the temporary.
Fig. 3: Final X-ray after cementation. Temporary cement on the distal has been removed.
These are the key learning points from the case:
These are the key learning points from the case:
- As restoring dentists, you need to be extremely careful anytime you cement a restoration on an implant. This includes cementing a temporary restoration as well.
- Make sure to use radiopaque cement when you cement implant restorations. Radiographs will then help in the detection of residual cement.
Jonathan Ford, DMD, is a general dentist in Huntington Beach, California. He graduated from the University of Pennsylvania School of Dental Medicine in 2007. He served as the new dentist co-chair for the Orange County Dental Society in 2011 and 2012. He currently serves on the Council for Endorsed Programs for the California Dental Association. He has also lectured at Long Beach Memorial Hospital giving the grand rounds lecture in 2008. You can reach him by email at [email protected].






