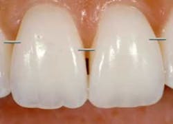
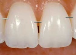
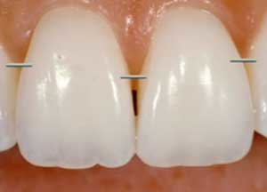
Two fundamental etiologies of open embrasures
Open embrasures or “black triangles” are usually thought of as a gingival problem, but the papilla is only half of the potential problem, since inadequate contact length can also account for the open embrasure. We must determine whether the open embrasure is the result of inadequate papilla height, or inadequate contact length to understand how to correct the problem. The easiest place to start is to evaluate the papilla level in the location of the open embrasure and compare it to the adjacent papilla levels. If all the papilla are at the same level, and the adjacent gingival embrasures are closed, you know you have a problem of contact length creating the open embrasure. If the papilla in the site of the open embrasure is apical to the adjacent papillae, then a radiograph should be taken to determine if in fact there is a papilla problem secondary to bone loss. When you have a patient whose contact between the two centrals doesn’t extend far enough apically, it’s telling you that the contact length needs to be altered in order to be successful in treatment. Contact length problems have two fundamental etiologies that you need to be aware of.Reprinted with permission from Spear Education.


