CAD/CAM dentistry for the private practice
By Dean C. Vafiadis, DDSOver the past seven years, there has been a surge of highly technical digital and computer software that has changed how day-to-day dentistry is performed. There are in-office scanning technologies for accurate implant placement, as well as in-office milling of crowns and veneer restorations. But is this technology a reality for private practice? The answer is emphatically YES! The main reason is the speed and accuracy of these images and the proven technology that has revolutionized the way many clinicians provide dental treatment. Table 1 lists the digital intraoral scanners and implant CAD/CAM software available today.
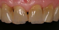
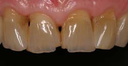
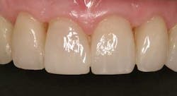
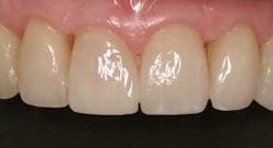
Click here to see this table larger.This technology has also penetrated the laboratory market due to the ease of use and man-hours that are being saved to produce the same, if not better, restorations. It also allows the average dentist to perform exceptional dental restorations, and makes the superb clinician faster and more productive than ever. The interesting point is that the marginal integrity of the available materials — monolithic blocks, for example: e.max (Ivoclar) and RealLife (VITA) — have shown natural translucency and lifelike values and chromas that have allowed some clinicians to produce a single-unit central incisor in a two-hour appointment. This is the restoration that most clinicians get anxious about restoring. To get the perfect texture and color is always a tortuous task. Sometimes up to three or four visits are required for just one tooth. We all have heard patients complain about multiple visits just to restore a single unit. Then, at the end, the tooth may possibly appear “a little gray” or “almost perfect.” With CAD/CAM dentistry, the solutions and available colors and stains allow the clinician to color-correct any restoration. In addition, the ceramic blocks have shown excellent strength and long-term results without the “black line.” The acceptance among dental professionals has been slow due to the perception that the digital software of these machines is very expensive. Although some of the intraoral scanners are in the $18,000 to $24,000 range, the amount of time and materials saved is much more valuable than the monthly payment. In addition, the in-office CAD/CAM milling machines cost more than $100,000. This may seem expensive, but as any business model could be analyzed, the laboratory costs of making several hundred restorations over the next five years is far more pricey than the monthly payment for the equipment. The number of office visits saved may also be in the hundreds per year, therefore making our production more efficient as we offer a better service to our patients. The average patient is impressed by one-visit restorations, as well as the convenience for his or her busy schedule. Reexamining the production of a single-unit restoration shows that there may be more than 24 steps involved and more than 15 people responsible for fabricating a single-unit crown — not to mention the delivery, packaging, casts, mountings, ditching, waxing, casting, trimming, and delivering again. All of these steps are eliminated with in-office scanning and milling. The hours added up are strikingly more than 12 hours. Multiplied by hundreds of units over the year, the costs are much greater than the monthly payment of the most expensive milling software.The amazing part of all this technology is that it applies to the small, single-provider dental practice as well as the bigger multi-provider dental offices and clinics. Because of the marked time and materials that are saved, the clinician has more time for more production. In multi-user offices, the savings are exponential with a 1:2 ratio of milling machines. For example, for every four providers, only two machines are necessary.Case oneIn this patient treatment, a worn anterior dentition is presented. The anterior centrals were scanned and milled with CEREC AC with the CEREC Bluecam (Sirona Dental Systems, Charlotte, N.C.) in a single visit. At a later appointment, the lateral restorations were scanned intraorally and milled in a two-hour visit. The time and materials saved for these four units was very impressive to the patient and the entire staff.
Materials: RealLife (VITA, Brea, Calif.) monolithic, feldspathic blocks were used with Vita staining and glaze kit. Cementation with flowable composite, shade A-1 (LuxaFlow, DMG America, Englewood, N.J.).Case twoThe second patient treatment was a lower second premolar that was replaced with an endosseous implant (Certain, BIOMET 3i, Palm Beach Gardens, Fla.). After four months of healing a coded abutment (Encode, BIOMET 3i) impression was made and a CAD/CAM titanium abutment with Ti-Nitrite coating was placed. A scan of the abutment was made intraorally with CEREC AC with CEREC Bluecam. And the restoration was completed in less than 90 minutes. 
CAD/CAM dentistry is a reality for many dental practices. The clinician has to make a commitment to the technology and dedicate the office to shifting to this new paradigm. The learning curve may be slow in the beginning, but if we made it through dental school learning insane non-dental information, this is truly a blessing for any clinician. To be able to fabricate a restoration in our own private practice has become the new “computer age of dental practice.” If any dental practice is successful, it will greatly profit from and become even more successful once the population of patients expands as they realize that one visit is better than two.Author bioDean C. Vafiadis, DDS, is a prosthodontist and is currently the director of the Full-Mouth Rehabilitation CE course at NYU. He is an associate professor of prosthodontics at NYU College of Dentistry, and a lecturer and clinical instructor at the Aesthetic Advantage Course in the Rosenthal Institute of Aesthetic and Implant Dentistry at NYU. He is the founder of the New York Smile Institute in New York, an educational center, full-service laboratory, and learning facility as well as a private practice location for a multi-specialty practice for implant and esthetic dentistry. He is on the advisory board of StemSave Co., Dental XP, and the World Journal of Dentistry. A national and international speaker, you may contact Dr. Vafiadis at [email protected].






