Restoring the difficult Class II with composite
One of our daily challenges is to restore the large Class II lesion with the wide-open box or fractured cusp. Dr. Ross Nash, in his recent article on the increasing demand for esthetic posterior restorations, describes how to restore the Class II restoration using sectional bands, a wedge, and a separating ring that goes over the wedge. This works really well with conservative lesions, but I spend half my time restoring failed amalgams where half the tooth is missing. Patients can’t always afford that crown, or in many cases a composite restoration is a more conservative procedure. According to Dr. Patricia Manarte Monteiro et al., “Resin-based composite materials are effective in Class II clinical situations.”
ALSO BY DR. MARC GOTTLIEB …
A simple tool to use for accurate dental impressions
The ABC (Absolute Best Contact) Wedge was engineered to solve the problem of separating rings crushing the matrix band into the box or the rings dictating the shape of the restoration. ABC Wedges are designed to work alone or in pairs to develop the normal contours of the tooth, establish broad tight contacts, and work with all the currently available separating ring systems.
Clinical case history
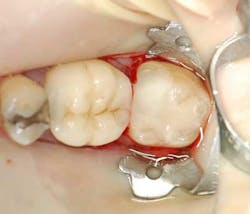
A 55-year-old male patient presented with a chief complaint of occasional hot and cold sensitivity involving his lower molar. Upon clinical examination, it was determined he had a failing amalgam and undermined mesial buccal cusp involving his second molar (Fig. 1). As per the Morgan and Presley’s prewedge protocol, a medium wedge was placed between the molars to initiate separation and protect the papilla. Upon removal of the old restoration and decay, it was decided to restore this tooth with a posterior composite material using the ABC Wedge. With a little imagination, this wedge looks like an elephant’s head and its parts will be described as such. The ears were designed to support the sectional band in three dimensions (3-D) and prevent the sectional rings from crushing in the matrix band (Fig. 2). The elephant’s trunk is analogous to the anatomic wedge. Two wedges were used from the buccal and lingual surfaces, and the curved trunks slide past each other to seal off the gingival floor (Fig. 3). A central groove is located on the back between the ears to line up the sectional separating ring and directs the pressure interproximally for maximum separation. The tooth was then easily restored in incremental layers, trimmed back, and the bite was adjusted (Fig. 4).
Fig. 1 — Failing amalgam and undermined cusp.
The ABC Wedge can also be utilized to restore rotated, malpositioned teeth. They are available in various sizes and can be mixed and matched to fit any embrasure space. As with any new product or procedure, there is a learning curve. The ABC Wedge is intuitive and the system easy to learn and use right out of the box.
Disclaimer: Dr. Marc Gottlieb is the designer and engineer of the ABC Wedge System. The system is currently manufactured by Danville Materials and available through your favorite dental dealer. For additional information, contact Dr. Gottlieb through his website. www.AnxietyFreeDental.com
References
Nash RW. Patient demand is increasing for posterior aesthetics. Dentistry Today. May 2010;76-79.
Monteiro PM, M MC, Gavinha S, Melo P. Two-year clinical evaluation of packable and nanostructured resin-based composites placed with two techniques. JADA 2010;141(3):319-329.
Burgess JO, Cakir D. Material selection for direct posterior restoratives. PennWell Dental CE Digest.
Strassler HE, Harvey K, Ladwig E. Dimer chemistry for anterior and posterior restorations. Inside Dentistry. Oct. 2009;110-113.
Morgan J, Presley S. Composite resin as a viable alternative to porcelain. Inside Dentistry. Nov. 2009;68-70.
Nazarian, ARA. Simplifying direct composites with new material technology. Dentistry Today Jan. 2010;128-130.





