Tack and Wave technique: predictable veneer cementation
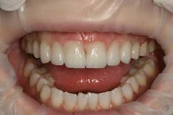
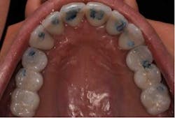
By David S. Hornbrook, DDS, FAACDIntroduction Placement of all-ceramic veneers has long involved tedious and time-consuming protocol. In particular, the fact that most resin cements do not facilitate easy cleanup, nor removal of excess cement from gingival and interproximal margins, may contribute to additional stress for dentists during what is already a stressful restorative task. This article details a simplified, innovative technique for placing all-ceramic veneers and removing excess cement from the margins when using a new, light-cure-only resin cement.The “Tack & Wave” technique Such a tedious and time-consuming approach to the placement of all-ceramic veneers has, for years, enabled clinicians to achieve exceptional marginal integration and seal of the restoration. However, this has not been accomplished without tremendous stress and technique sensitivity. Undoubtedly, the more excess that can be removed prior to final curing, the easier and less stressful the placement protocol will be. Today, a technique is available, termed by the author as “Tack & Wave,” that enables restorations to be spot-tacked into place for one second using a 2.0 mm light guide, followed by exposure from a larger light guide that is waved about one inch above the restorations for an additional three seconds. This has been made possible through manufacturers’ developments of adhesive and resin systems (Variolink Veneer Cement, Ivoclar) that significantly ease the placement of bonded restorations. Specifically, new resin cement systems are now available that can be initially light-cured to establish a “semi-gel” state, one that will enable dentists to initially place veneers without them drifting and subsequently peel away the excess cement from gingival and interproximal margins before final polymerization.Tack & Wave technique protocol Following removal of the provisional restorations, the following protocol can be used to definitely place the final all-ceramic veneers restorations using the Tack & Wave technique.Step 1. The restorations are tried to in to ensure complete seating and shade. Corresponding water-soluble, no-cure try-in gel is used to evaluate the shade. These try-in gels match the shade of the polymerized veneer cement (See Figs. 1 & 2).
Fig. 1 — Veneers are tried in to evaluate fit, shape, and shade.
Fig. 2 — A water-soluble try-in gel is used to verify correct shading.Step 2. The preparations were etched with 35% phosphoric acid for 10 to 15 seconds (See Fig. 3).
Fig. 3 — 35% phosphoric acid used to etch both dentin and enamel.Step 3. An antibacterial/desensitizing agent (Telio CS Desensitizer, Ivoclar) was placed on the preparations prior to placing the dentinal adhesive if dentin is exposed (See Fig. 4).
Fig. 4Step 4. A 4th generation, total-etch adhesive (ACE, Bisco Dental Products) was placed on all preparations for at least 20 seconds (See Fig. 5).
Fig. 5
Step 5. The dental adhesive was light-cured for 10 seconds. Step 6. The all-ceramic veneers were placed using a light-cure-only resin veneer cement (Variolink Veneer Cement) (See Fig. 6).
Step 5. The dental adhesive was light-cured for 10 seconds. Step 6. The all-ceramic veneers were placed using a light-cure-only resin veneer cement (Variolink Veneer Cement) (See Fig. 6).
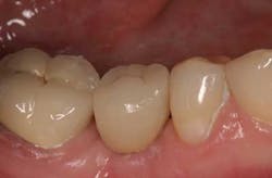
Fig. 6Step 7. Each restoration was tacked into place using a 2.0 mm light guide in the center of the restoration for one second (See Figs. 7 and 8).
Fig. 7
Fig. 8Step 8. The light guide, held approximately one inch from the surface of the all-ceramic restorations, was waved from the buccal aspect for three to five seconds and from the lingual surface for three to five seconds (See Figs. 9 and 10).
Fig. 9
Fig. 10
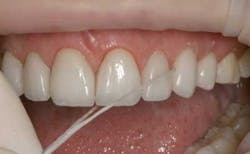
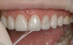
Step 9. The excess cement was easily peeled away from the gingival margins with an explorer. Then, the restorations were flossed to remove excess from the interproximal areas (See Figs. 11 and 12).
Step 9. The excess cement was easily peeled away from the gingival margins with an explorer. Then, the restorations were flossed to remove excess from the interproximal areas (See Figs. 11 and 12).
Fig. 11
Fig. 12
Step 10. Glycerin was placed along all margins to inhibit the oxygen inhibition layer from forming (DeOx, Ultradent) (See Fig. 13).
Step 10. Glycerin was placed along all margins to inhibit the oxygen inhibition layer from forming (DeOx, Ultradent) (See Fig. 13).
Fig. 13Step 11. Final polymerization was achieved by curing the restorations for at least one minute per tooth (See Fig. 14).
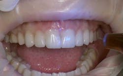
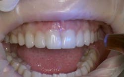
Fig. 14Step 12. All gingival and interproximal margins were checked and adjusted using finishing diamonds (Brasseler USA) and rubber polishing instruments (OptraFine, Ivoclar) (See Figs. 15 and 16).
Fig. 15
Fig. 16
Step 13. Final gloss was achieved using a diamond polishing paste in a soft bristled brush (DiaShine, VH Technologies) (See Fig. 17).
Step 13. Final gloss was achieved using a diamond polishing paste in a soft bristled brush (DiaShine, VH Technologies) (See Fig. 17).
Fig. 17Conclusion By incorporating the Tack & Wave technique into their clinical protocol, dentists can realize a convenient and effective way to remove excess cement from restoration margins and interproximal areas when placing all-ceramic veneer restorations. New resin cement systems now available make it easy to set resin in a “semi-gel” state, so clinicians can initially place veneers without them drifting and subsequently quickly and easily peel away the excess cement in more time-efficient and less technique-sensitive manner (See Figs. 18-23).
Fig. 18
Fig. 19
Fig. 20
Fig. 21
Fig. 22
Fig. 23Author bio David S. Hornbrook, DDS, FAACD, a gifted clinician and product researcher turned mentor, guides meeting participants to the realization that they, too, possess the ability to practice esthetic dentistry at the very highest level. He is one of dentistry’s most famous faces and one of the pioneers of live-patient, hands-on clinical education, as the founder and past director of Pac-live and the Hornbrook Group. He has been a guest faculty member of the postgraduate programs in cosmetic dentistry at Baylor, Tufts, SUNY at Buffalo, UMKC, and the UCLA Center of Cosmetic Dentistry. Dr. Hornbrook lectures internationally on all facets of esthetic and restorative dentistry and has published articles in all of the leading dental journals. A prolific researcher and materials enthusiast, he consults with numerous manufacturers on product development and refinement. Dr. Hornbrook’s warm and engaging style earns him the highest possible marks from participants and meeting sponsors.










