New grafting procedure for oral implantation
A goal of current oral surgery is not merely to replace a problematic tooth, but also to keep the supporting tissue structure of the mouth and jawline intact. This helps in maintaining the long-term effectiveness of the surgery and the oral cavity and jawline esthetics. However, if infection is present, surgery is usually delayed which may compromise the supporting tissues.
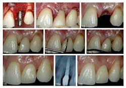
An innovative procedure, utilizing a single incision for access and localized antibiotics to treat infection, is being introduced that will enable immediate implantation with a bone graft harvested from a portion of the patient’s own lower jaw. A case study in the Journal of Oral Implantology provides an in-depth analysis of this new approach for immediate treatment and implantation of an infected area.RELATED READING |Study finds that shorter waiting time between dental procedures is adequate In oral implant surgery, immediate implantation of the area of interest is preferred, as delaying the procedure can have a negative effect on the structure of hard and soft tissues. Frequently, required surgeries coincide with oral infection and surgeons prefer to wait until the infection is resolved before performing the reconstructive implant surgery. This time-lapse in placement of reconstructive bone grafts and the delayed implant placement may compromise the final esthetic result.RELATED READING |Less invasive approach to dental implants allows heart patients to continue anticoagulation therapy In the case study, a 43-year-old female presenting with a front-tooth infection of seven-months duration underwent a root canal and antibiotics. When symptoms persisted, tooth removal was recommended. Despite the presence of infection, the patient was able receive a bone graft harvested from the symphysis of her mandible. Application of localized antibiotics was used to treat the infection. Three years' postoperatively, the patient presented with no negative effects.
Regarding recovery from oral surgery, immediate implantation is critical to: • Preserving the structure of the soft and hard tissue • Shortening the recovery period • Prevention of future corrective surgeries Grafting procedures using bone from the patient’s own body has been the gold standard for years; therefore, it is a natural progression for oral implantation to follow suit.Full text of the article, “3 Year Follow Up of a Single Immediate Implant Placed in an Infected Area: A Clinical Report of a Novel Approach for the Harvesting Autogenous Symphysis Graft,” Journal of Oral Implantology, Vol. 40, No. 2, 2014, is available here. For more information about the Journal of Oral Implantology, visit their website.


