header logo Perio Implant Advisory

Advanced solutions for interdisciplinary dental care

  • Clinical Tips
  • Dental Implants
  • Periodontics
  • Practice Management
  • Restorative Dentistry
undefined mega-logo
Sections
Clinical Tips
Dental Implants
Periodontics
Practice Management
Restorative Dentistry
Special
Continuing Education
Free Samples
Innovator Awards
Videos
Contact
About Us
Advertise
Contact Us
Newsletter
Newsletter Subscription
Affiliated Brands
RDH UNDER ONE ROOF
DENTAL ECONOMICS
DENTISTRYIQ
RDH
Follow us on
https://www.facebook.com/SurgicalRR
https://www.instagram.com/pi_advisory/
https://www.linkedin.com/company/surgical-restorative-resource?trk=other_brands_name
https://twitter.com/PI_Advisory
https://www.youtube.com/channel/UCm8U6hZE-uCLCEx_MSs7fpw

Restorative Implant Dentistry

Content Dam Sr Online Articles 2018 06 18jun14piaclintipt
Clinical Tips

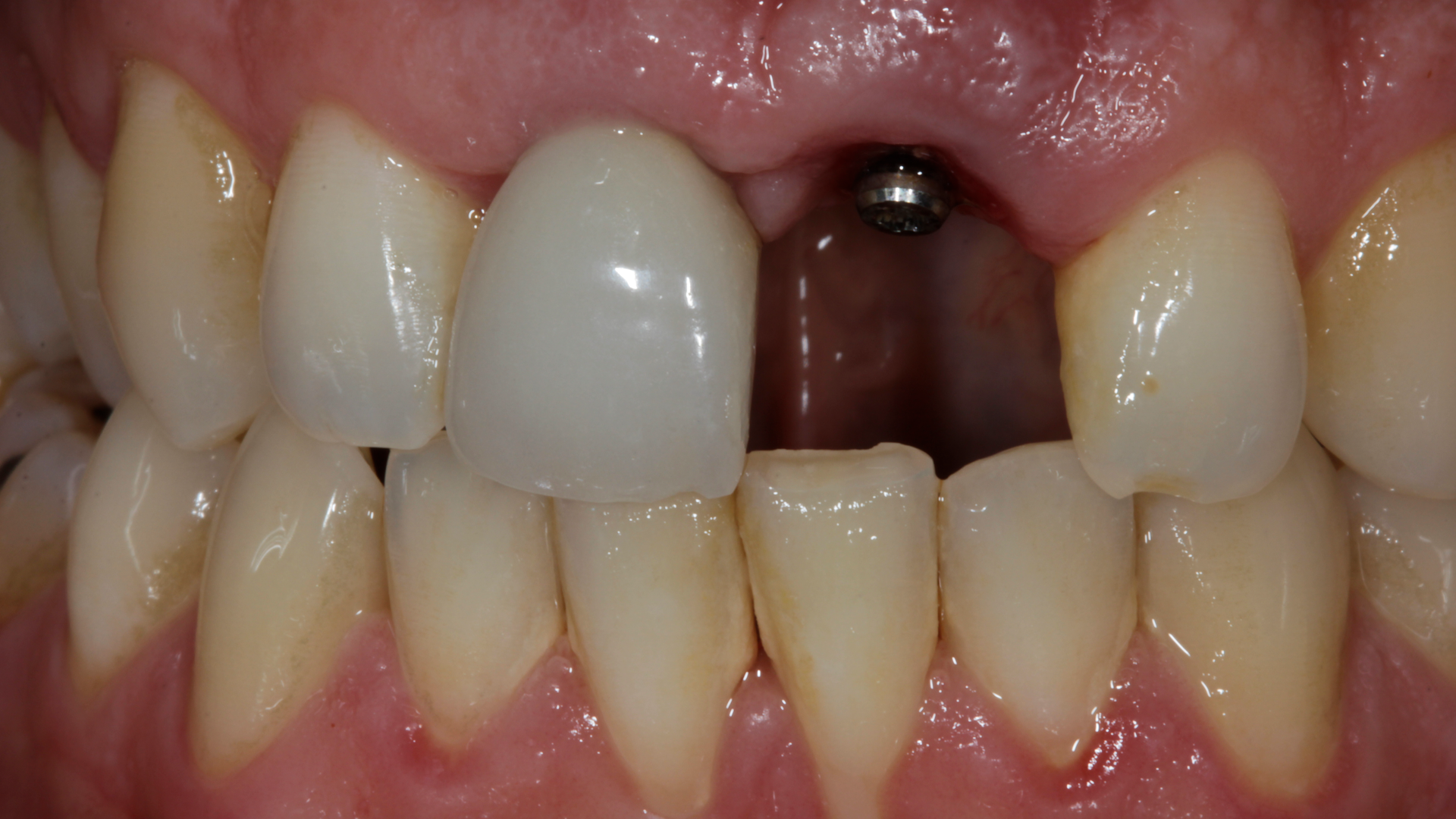
Replacement dental implants: 3 clinical methods to increase survival rates after initial implant failure

While dental implants traditionally are successful tooth-replacement options, complications can occur. Dr. Scott Froum discusses three clinical methods he uses to improve the ...
Jan. 10, 2023
20 Jan9 Pi Apigliacelli Primary
Restorative Dentistry

Prevention of titanium base debonding and failure

Jan. 6, 2020
Content Dam Sr Online Articles 2019 05 19may9pianeymarkt
Restorative Dentistry

Highlights from the 35th annual American Academy of Cosmetic Dentistry scientific meeting in San Diego

May 1, 2019
Content Dam Sr Online Articles 2019 05 19may9piaclintipt
Clinical Tips

Antibiotic prophylaxis for patients with breast implants prior to dental procedures

May 1, 2019
Content Dam Sr Online Articles 2019 03 19mar14piaweit
Restorative Dentistry

Considerations when using veneers to fabricate a perfect smile

March 6, 2019
Content Dam Sr Online Articles 2019 02 19feb14piapalmant
Surgical Techniques

Are narrow implants a reliable solution?

Feb. 8, 2019
Content Dam Sr En Articles 2019 01 To Splint Or Not To Splint Adjacent Implants A 10 Year Retrospective Analysis Leftcolumn Article Thumbnailimage File
Surgical Techniques

To splint or not to splint adjacent implants: A 10-year retrospective analysis

Jan. 10, 2019
Content Dam Sr Online Articles 2018 09 18sept13piapigliacellit
Restorative Dentistry

Factors to consider when choosing between a bar versus a Locator implant overdenture

Aug. 30, 2018
Content Dam Sr Online Articles 2018 08 18aug9pianeymarkt
Restorative Dentistry

An alternative to surgical crown lengthening: Margin elevation using a two-matrix system

Aug. 1, 2018

Looking for Something?

footer logo Perio Implant Advisory
Perio-Implant Advisory provides evidence-based clinical content for specialists and generalists managing complex periodontal and implant cases.
Newsletters
The top stories, industry insights and relevant research, assembled by our editors and delivered to your inbox.
Connect
Follow us for the latest industry news and insights.
https://www.facebook.com/SurgicalRR
https://www.instagram.com/pi_advisory/
https://www.linkedin.com/company/surgical-restorative-resource?trk=other_brands_name
https://twitter.com/PI_Advisory
https://www.youtube.com/channel/UCm8U6hZE-uCLCEx_MSs7fpw
Affiliated Brands
RDH UNDER ONE ROOF
DENTAL ECONOMICS
DENTISTRYIQ
RDH
  • About Us
  • Advertise
  • Do Not Sell or Share
  • Privacy Policy
  • Terms & Conditions
EndeavorB2B Logo
© 2026 All rights reserved.