Improving traditional nonsurgical methods for peri-implant disease: A new adjunctive therapy
Peri-implant disease is an increasingly common challenge with multiple nonsurgical and surgical treatment options. The pathogens that cause periodontal disease can be hard to manage between office visits due to the recolonization of bacteria after surgical or hygiene procedures. In addition, the most pathogenic bacteria colonize deeper into periodontal pockets than the toothbrush, rinse, or floss can reach. This same problem exists in the realm of peri-implant disease. Routine home-care procedures may not always address the underlying biofilm problem that remains outside the reach of brushing and flossing. One adjunct to treatment that can help with nonsurgical periodontal and implant procedures as well as improve home care is tray delivery of hydrogen peroxide gel. When dealing with certain types of periodontal and peri-implant disease, prescription tray delivery may act as a cost-effective, noninvasive therapeutic modality.
Prescription tray delivery of 1.7% peroxide gel has been shown in studies to penetrate deep into periodontal pockets up to 9 mm (1, 2) (Perio Tray, Perio Protect, St. Louis, MO). Clinical trials show significant improvements in bleeding and pocket probing depths when patients combine the adjunctive tray delivery with scaling. (3) In addition, patients with recurrent periodontal disease were able to be maintained for up to five years after treatment when these trays were added to the home-care regimen. (4)
ADDITIONAL READING | Increasing dental case acceptance through the use of salivary diagnostics
Patients with dental implants face the same bacterial challenges to the gingiva around their implants as patients with natural teeth. If the tissue around the implants becomes infected, immediate treatment is usually warranted in the form of nonsurgical and/or surgical intervention. The ideal situation with infected tissue surrounding implants is prevention or intervention at the incipience, so that no surgery is required. The following case is an example of how prescription trays were used to reduce diseased tissue around implants and teeth to avoid more invasive surgery.
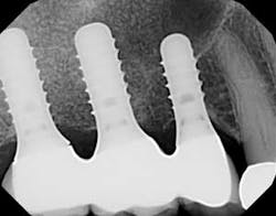
This patient had with a noncontributory medical history. Implants were placed in the upper right maxillary quadrant in 2006, and the patient came in for six-month recare visits. Ideally, he would have regularly alternated between the periodontist and the general dentist for care, but the patient elected only to be treated for maintenance intervals at the general dentist’s office. Significant bleeding and pocketing around the implants was noted eight years later in 2014, but there was no radiographic evidence of bone loss. (figures 1 and 1a).
 Before mechanical nonsurgical treatment was initiated, salivary diagnostic tests were performed to measure bacterial load and type. The test results (figure 2) confirmed the presence of eight bacteria associated with periodontal disease, including the high-risk Treponema denticola(T. denticola) and Tannerella forsythia (T. forsythia). The patient was prescribed trays containing 1.7% hydrogen peroxide (Perio Gel, QNT Anderson, Bismarck, ND) before treatment to use four times per day. Nonsurgical periodontal debridement and laser therapy were then initiated simultaneously over the course of four office visits. The patient used the prescription trays at least twice daily between the debridement with laser therapy appointments.
 ADDITIONAL READING |Enhancing periodontal regeneration with the use of biologics
Tray delivery, four times daily for 15 minutes, began on August 21, 2014, for the first two weeks, and then two times a day for 15 minutes for the duration of treatment. Debridement, laser therapy, and subgingival irrigation were completed between September 9 and November 13, 2014. The patient continued to use the trays in maintenance therapy two times a day. At the February 20, 2015, maintenance visit, all pockets were within normal range except for four 4 mm pockets (figure 3). There was no bleeding, and a secondary diagnostic test confirmed a reduction in pathogenic oral bacteria.
 This conservative, common-sense approach to treat biofilm around teeth and dental implants has been shown to be effective in smokers as well as people with recurrent disease. (5) These trays can last up to five years. In addition, patients will note fresher breath and whiter teeth that will make them more willing to accept and stay engaged in treatment.
References
 1. Dunlap T, Keller D, Marshall M, Costerton J, Schaudinn C, Sindelar B, et al. Subgingival delivery of oral debriding agents: a proof of concept. The Journal of Clinical Dentistry. 2011;XXII(5):149–158.
 2. Putt M, Proskin H. Custom tray application of peroxide gel as an adjunct to scaling and root planing in the treatment of periodontitis: results of a randomized, controlled trial after six months. The Journal of Clinical Dentistry. 2013;24:100–107.
 3. Putt M, Proskin H. Custom tray application of peroxide gel as an adjunct to scaling and root planing in the treatment of periodontitis: a randomized, controlled three-month clinical trial. The Journal of Clinical Dentistry. 2012;23(2):48–56.
 4. Putt M, Mallatt M, Messmann L, Proskin H. A 6-month clinical investigation of custom tray application of peroxide gel with or without doxycycline as adjuncts to scaling and root planing for treatment of periodontitis. American Journal of Dentistry. 2014;27:273–284.
 5. Cochrane RB, Sindelar B. Case series report of 66 refractory maintenance patients evaluating the effectiveness of topical oxidizing agents. The Journal of Clinical Dentistry. 2015;26:109–114.







