Decontamination and graft case of moderate peri-implantitis
A 54-year-old female with seasonal allergies, who was taking Zyrtec, had two dental implants placed 15 years ago in sites 19 and 20. Recently she developed pain and bleeding around the implants.
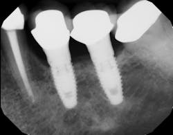
Upon clinical examination, a 10 mm probing with suppuration was noted. Radiographs showed no bone loss, so the lesion was diagnosed as severe mucositis (figure 1). However, upon surgical entry, bone loss was noted.
This video shows how the lesion was treated with a 9.3-micron CO2 laser along with hard-tissue grafting and bio-PRF growth factors.
You may also want to watch … Successful removal of a damaged dental implant
Editor’s note: Video copyright of Osteocom. Reposted with permission.
About the Author

Scott Froum, DDS
Editorial Director
Scott Froum, DDS, a graduate of the State University of New York, Stony Brook School of Dental Medicine, is a periodontist in private practice at 1110 2nd Avenue, Suite 305, New York City, New York. He is the editorial director of Perio-Implant Advisory and serves on the editorial advisory board of Dental Economics. Dr. Froum, a diplomate of both the American Academy of Periodontology and the American Academy of Osseointegration, is in the fellowship program at the American Academy of Anti-aging Medicine, and is a volunteer professor in the postgraduate periodontal program at SUNY Stony Brook School of Dental Medicine. He is a trained naturopath and is the scientific director of Meraki Integrative Functional Wellness Center. Contact him through his website at drscottfroum.com or (212) 751-8530.
