What is a periapical radiolucency?
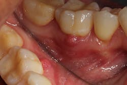
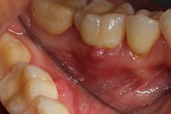
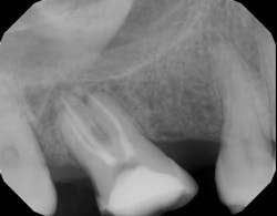
A periapical radiolucency is a hole in the bone formed as a result of inflammation under the root of the tooth as a means of housing the immune system to prevent the bacteria in the root canal from reaching the bone. It can be a precursor to a sinus tract (figure 1), which creates a path for drainage of inflammation into the oral cavity, rather than allowing it to spread through tissue planes.
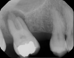
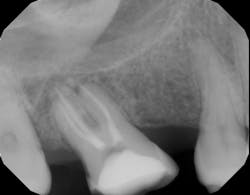
The radiolucency you see in figure 2 is a hole in the bone where inflammation is occurring, but the radiolucency is not the infection. This important concept is often missed: that the radiolucency itself is not the infection; the infection is in the root canal system within the tooth. The radiolucency is just one sign that the root canal is harboring infection. Healing of a periapical radiolucency occurs when the infection level inside the root canal is reduced below a certain threshold and the body has deemed the contents of the root canal as no longer posing a threat. The threshold of what the body feels is a safe level of bacteria is different for each person.
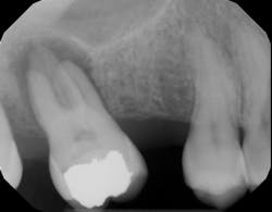
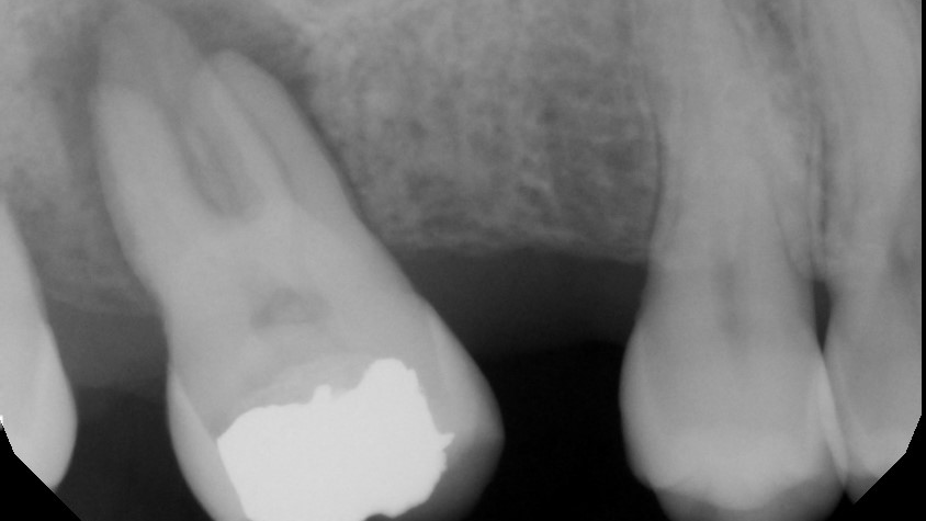
The goal of getting the tooth treated with a root canal or root canal retreatment is reduction of the bacteria and removal of the food source that helps bacteria thrive (pulp tissue and inflammatory proteins). The bone will fill back into the hole or osseous defect once the tooth canals are treated and the infection is removed (figure 3). Depending upon the size of the bone lesion, healing may take anywhere from three to 12 months.
About the Author
Omar Ikram, MRD, MClinDent, BDS, FRACDS
Omar Ikram, MRD, MClinDent, BDS, FRACDS, is an endodontist and practice owner of Specialist Endo Crows Nest based in Sydney, Australia's lower North Shore. He is also on staff at the Sydney Dental Hospital and is the president of the Australian Society of Endodontology—New South Wales Branch. Dr. Ikram completed his BDS in 1997 at Otago University and worked for approximately 10 years as a general dentist in New Zealand and England. His interest in endodontics led him to study a master's in clinical dentistry in endodontology at Kings College London, United Kingdom, followed by a Membership in Restorative Dentistry in the Royal College of Surgeons of Edinburgh. Contact him on Facebook and Instagram.







