The importance of periodontal treatment in post–COVID-19 dentistry
SARS-CoV-2—the virus that causes the novel pneumonia named coronavirus disease 19 (COVID-19)—resulted in the closing of most dental offices throughout the world to all treatment other than emergent care.1 As dental practitioners begin to resume normal elective care, one challenge has been trying to convince dental staff and patients that treatment is safe and professional oral care is necessary.2
A recent survey showed that 71% of dental patients had concerns about going to the dental office during the COVID-19 pandemic due to fear of transmission.3 Many of these COVID-19 fears continue to prevent patients from seeking medical and dental care, even though offices have now reopened for elective care.4
The increase in periodontal tissue destruction arising from delayed professional care has been well documented in the literature.5 This article will briefly examine three aspects of periodontal disease as it relates to COVID-19 so clinicians can have a better understanding when explaining the importance of periodontal therapy to patients.
Stress-related factors
The COVID-19 pandemic has caused a tremendous amount of stress for the average individual, both financially and psychologically. In one survey, 70% of respondents stated that the months during this pandemic have been the most stressful time in their entire lives.6 Many studies have demonstrated a correlation between stress and an increased risk of developing periodontal disease and clinical attachment loss.7 Both financial stresses and psychological stresses have been shown to double and even quadruple the risk of developing periodontal attachment loss.8
Behavioral effects
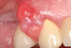
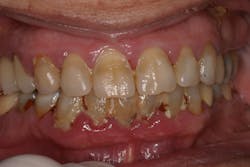
Coping mechanisms to deal with anxiety, stress, and depression can often involve poor diet, bodily neglect, and deleterious habits such as alcohol, smoking, and drug consumption.10 In addition, lack of hygiene and professional cleanings from neglect/forced neglect can lead to gingival tissue destruction. One study showed that bacteria recolonized teeth six to eight weeks after professionalMany offices have been closed for months and continue to avoid hygiene procedures because of concerns about viral transmission. Periodontal destruction has been shown to increase in a dose-dependent function with smoking use.12 Poor dietary trends have also been shown to increase inflammation and oral disease.13 Many patients whose oral health was controlled under strict periodontal care prior to the pandemic can experience relapse when changes in social history occur (figures 2 and 3). It is imperative that oral hygiene and periodontal care be reinstituted to prevent continued breakdown.
Financial concerns
As we emerge from the post–COVID-19 fallout, many financial reports have drawn possible similarities to the financial crisis of 2008. When analyzing the repercussions of the 2008 financial crisisRegeneration of periodontally compromised teeth is a valued treatment that is both conservative and may increase case acceptance compared to dental implant therapy. With the ability to “save” compromised teeth, more costly procedures such as extraction, grafting, and implant therapy can be avoided. If the 2008 economy is any indication of what the 2020 economy may entail, periodontal therapy is going to play an extremely important role in dental treatment.
Editor's note: Join us for the not-to-miss Perio-Implant Advisory Symposium on October 23, 2020. In this important virtual meeting, you’ll learn the newest skills it takes to save patients’ natural dentition. Bring your team and transform your practice. Conference schedule and special rates available at this link. Presented by Geistlich Biomaterials.
References
- Bizzoca ME, Campisi G, Muzio LL. COVID-19 pandemic: what changes for dentists and oral medicine experts? A narrative review and novel approaches to infection containment. Int J Environ Res Public Health. 2020;17(11):3793. doi:10.3390/ijerph17113793
- Coulthard P. Dentistry and coronavirus (COVID-19)—moral decision-making. Br Dent J. 2020;228(7):503-505. doi:10.1038/s41415-020-1482-1
- Busch M. Poll: 71% uncomfortable seeing dentists during COVID-19 pandemic. DrBicuspid.com. https://www.drbicuspid.com/index.aspx?sec=log&itemID=326361
- Hafner K. Fear of COVID-19 leads other patients to decline critical treatment. The New York Times. May 25, 2020. Updated May 29, 2020. https://www.nytimes.com/2020/05/25/health/coronavirus-cancer-heart-treatment.html
- Ng MCH, Ong MMA, Lim LP, Koh CG, Chan YH. Tooth loss in compliant and non‐compliant periodontally treated patients: 7 years after active periodontal therapy. J Clin Periodontol. 2011;38(5):499-508. doi:10.1111/j.1600-051X.2011.01708.x
- Gavidia M. How had COVID-19 affected mental health, severity of stress among employees? American Journal of Managed Care. April 20, 2020. https://www.ajmc.com/newsroom/how-has-covid19-affected-mental-health-severity-of-stress-among-employees
- Goyal S, Gupta G, Thomas B, Bhat KM, Bhat GS. Stress and periodontal disease: the link and logic!! Ind Psychiatry. 2013;22(1):4-11. doi:10.4103/0972-6748.123585
- Genco RJ, Ho AW, Kopman J, Grossi SG, Dunford RG, Tedesco LA. Models to evaluate the role of stress in periodontal disease. Ann Periodontol. 1998;3(1):288-302. doi:10.1902/annals.1998.3.1.288
- Rosania AE, Low KG, McCormick CM, Rosania DA. Stress, depression, cortisol, and periodontal disease. J Periodontol. 2009;80(2):260-266. doi:10.1902/jop.2009.080334
- Orzechowska A, Zajączkowska M, Talarowska M, Gałecki P. Depression and ways of coping with stress: a preliminary study. Med Sci Monit. 2013;9:1050-1056. doi:10.12659/MSM.889778
- Sbordone L, Ramaglia L, Gulletta E, Iacono V. Recolonization of the subgingival microflora after scaling and root planing in human periodontitis. J Periodontol. 1990;61(9):579-584. doi:10.1902/jop.1990.61.9.579
- Tonetti MS. Cigarette smoking and periodontal diseases: etiology and management of disease. Ann Periodontol. 1998;3(1):88‐101. doi:10.1902/annals.1998.3.1.88
- Najeeb S, Zafar MS, Khurshid Z, Zohaib S, Almas K. The role of nutrition in periodontal health: an update. Nutrients. 2016;8(9):530. doi:10.3390/nu8090530
- Sikka V, Savin G. The impact of the financial crisis on the U.S. dental industry. Dental Economics. January 21, 2014. https://www.dentaleconomics.com/money/article/16390429/the-impact-of-the-financial-crisis-on-the-us-dental-industry
Editor’s note: This article originally appeared in Perio-Implant Advisory, a newsletter for dentists and hygienists that focuses on periodontal- and implant-related issues. Perio-Implant Advisory is part of the Dental Economics and DentistryIQ network. To read more articles, visit perioimplantadvisory.com, or to subscribe, visit dentistryiq.com/subscribe.
About the Author

Scott Froum, DDS
Editorial Director
Scott Froum, DDS, a graduate of the State University of New York, Stony Brook School of Dental Medicine, is a periodontist in private practice at 1110 2nd Avenue, Suite 305, New York City, New York. He is the editorial director of Perio-Implant Advisory and serves on the editorial advisory board of Dental Economics. Dr. Froum, a diplomate of both the American Academy of Periodontology and the American Academy of Osseointegration, is in the fellowship program at the American Academy of Anti-aging Medicine, and is a volunteer professor in the postgraduate periodontal program at SUNY Stony Brook School of Dental Medicine. He is a trained naturopath and is the scientific director of Meraki Integrative Functional Wellness Center. Contact him through his website at drscottfroum.com or (212) 751-8530.




