Treating implant gingivitis
Implant gingivitis, better known as peri-implant mucositis, is defined as a reversible inflammatory process in the soft tissue surrounding an osseointegrated dental implant without the loss of marginal bone beyond normal resorption. (1) Like gingivitis around natural teeth, implant gingivitis is the result of the accumulation of a plaque biofilm in the soft tissues surrounding the titanium dental implant. Both animal and human studies have confirmed this. (2) However, unlike natural teeth, the true reversibility of this inflammation is questionable. Although previous studies have shown that the magnitude and severity of the tissue inflammation around an implant experiencing peri-implant mucositis is similar to the dentogingival complex, (3) recent studies have suggested that the inflammatory process may be more severe and harder to reverse with treatment.
RELATED |A new tool in the fight against peri-implant disease
A recent study by Salvi et al (4) looked at experimentally induced mucositis around implants (subjects in the study refrained from oral hygiene practices for 21 days) that was then treated through nonsurgical mechanical debridement. In this study it was shown that although inflammation did decrease, reversibility did not extend to pre-experimental levels as denoted by inflammatory biomarkers in the crevicular fluid. Another study by Schierano et al (5) showed that reversibility of tissue inflammation to pre-experimental levels was possible after oral hygiene care was reinstituted after being suspended, but it took three times as long as natural teeth (69 days instead of 21 days). Bottom line is that more of the recent studies examining peri-implant mucositis show that the degree of inflammation is much more severe, and true reversibility is harder and longer to establish when dealing with implants as compared to natural teeth.
RELATED |That is a beautiful implant restoration. Now what?
The prevalence of peri-implant mucositis was shown to be a common finding in patients not enrolled in a regular maintenance program. Forty-eight percent of patients observed over a period of nine to 14 years were shown to suffer from this problem. (6) A similar study showed that the percentage of prevalence could be cut by more than half to 20% when patients were active with supportive periodontal therapy programs. (7) That being said, because implant gingivitis can be widely prevalent as well as progress quickly and be harder to resolve than gingivitis around teeth, an aggressive nonsurgical approach should be instituted as soon as a diagnosis is made, and the patient should be placed on a strict maintenance protocol. Nonsurgical mechanical debridement with appropriate instrumentation (i.e., carbon fiber tip curettes or titanium curettes) with or without adjunctive delivery of chlorhexidine was shown to reduce plaque scores, bleeding, probing depths, and gain in clinical attachment. (8)
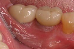
Although some studies have shown benefits in reduction of bleeding when mechanical debridement was used in combination with systemic antibiotics, these results were attributed to the test group taking the antibiotics to performing better oral hygiene rather than the antibiotics alone. (9) The current treatment by this author when a patient presents with peri-implant mucositis is to determine the etiology. If plaque biofilm is determined to be the cause, I perform scaling and root planing with appropriate titanium curettes (Fig. 1) followed by administration of minocycline spheres (Fig. 2). The patient is put on a course of systemic antibiotics for 10 days consisting of 500 mg of metronidazole and 500 mg of amoxicillin twice a day. Follow-up is performed in two weeks and then in four weeks. I have had success using this protocol to resolve inflammation (Figs. 3 and 3a). However, if the inflammation has not resolved after one month, referral to a specialist is made.
Fig. 1
Fig. 2
Fig. 3
Fig. 3a
References
1. Berglundh T et al. Soft tissue reaction to de novo plaque formation on implants and teeth. 1992. CDIR
2. Ericsson et al. Long-standing plaque and gingivitis at implants and teeth in dogs. 1992. CDIR
3. Zitzman et al. Experimental peri-implant mucositis in man. 2001. JCP
4. Salvi et al. Reversibility of experimental peri-implant mucositis compared with experimental gingivitis in humans. 2012. COIR
5. Schierano et al. TNF-a, TGF-b2, and IL-1B levels in gingival cervicular fluids before and after de novo plaque accumulation. 2008. JCP
6. Roos-Jansaker et al. Nine to fourteen year follow up of implant treatment. 2006 a,b,c. JCP
7. Rodrigo et al. Biologic complications and peri-implant clinical and radiographic changes at immediately placed dental implants. A 5-year cohort study. 2012. CDIR
8. Trejo et al. Effect of mechanical and antiseptic therapy on peri-implant mucositis; and experimental study in monkeys. 2006. CDIR
9. Hallstrom et al. Systemic antibiotics and debridement of peri-implant mucositis. A randomized clinical trial. 2012. JCP





