The use of exosomes to save teeth
In this article, the use of exosomes is discussed in reference to their ability to save teeth. One of the most highly published topics in regenerative medicine over the past decade has been focused on the benefits of exosome therapy over stem cells. Here, we discuss how exosomes specifically designed for periodontal regeneration (periosomes) have been found to be far superior over any other growth factor or biomaterial currently available on the market. This simple-to-digest article is designed to give the reader a clear understanding regarding the safety and effectiveness of exosomes and their use in medicine and dentistry.
What are exosomes?
Exosomes are small extracellular vesicles ranging in size from 30 nm to 150 nm in diameter. They store information and are secreted by all cells in the human body.1 The components within exosomes vary from cell to cell; however, they are a combination of biomolecules including microRNA, lipids, and proteins. A key component of exosomes is that they possess a phospholipid bilayer similar to the cells they come from. However, since they lack any MHC I or II complexes, they do not trigger any type of allergic reaction or foreign body reaction in patients, which has historically been the major drawback of stem cells.2 Their small size allows them to pass the blood-brain barrier, making exosomes a valuable tool in the treatment of central nervous system disorders such as Parkinson’s and Alzheimer’s.3 Exosomes are not only much safer than stem cells, they are also much more effective.
Why exosomes?
In 2019 Arnold Caplan, the researcher who originally discovered stem cells, published an article requesting a name change from “Mesenchymal Stem Cells” to “Medicinal Signaling Cells.”4 While in vitro studies demonstrated successful outcomes with stem cells and their ability to differentiate into many tissue types, after three decades of research, he concluded that little translation potential of stem cells existed to help humans.5 He later revealed that it was actually the secreted signaling molecules from these cells that create an immunomodulatory environment favoring tissue regeneration. These were later discovered to be exosomes secreted from MSCs, which were pivotal toward creating the micro-environment for wound healing. Mesenchymal stem cells were later retermed “Medicinal Signaling Cells” (MSCs) owing to these findings. While every cell can produce exosomes, not all exosomes are equal as the regenerative potential in the exosome depends on the type of cargo carried within.
How can exosomes help treat gum disease?
Periodontitis results from both host- and microbial-mediated inflammation, ultimately resulting in the loss of tooth-supporting tissues and eventually tooth loss.6 Given the regenerative potential of exosomes, several studies have now found favorable results in regenerating periodontal tissues using periosomes that were previously lost due to disease progression and age. Given the regenerative potential of exosomes, and their safe application, their utilization in medicine and dentistry is accelerating rapidly. Therefore, they may be used as an adjunct to a scaffold (like collagen or platelet-rich fibrin) for the regeneration of previously lost periodontal tissues, including alveolar bone.
Exosomes derived from periodontal ligament stem cells known as periosomes
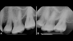
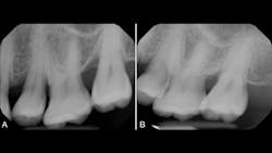
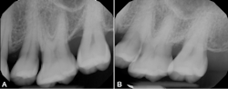
Periodontal ligament stem cells (PDLSC), located within the periodontal ligament, are of particular interest as these progenitor cells are involved in the processes of repairing alveolar bone and periodontal tissues that surround teeth. Specifically, exosomes derived from these cells (periosomes) may be the promising exosome of choice for treating gum disease. Exosomes for periodontitis (termed periosomes) have already been utilized in humans, and the results have been promising. The authors of this article have been among the first groups to investigate periosomes for bone regeneration in patients (figure 1). Periosomes exhibit essential roles in biological mechanisms, including the stimulation of cellular proliferation, angiogenesis promotion, and the enhancement of tissue repair capabilities.2
The case in Figure 1 presents a patient who was losing significant bone around a back molar. The after photo represents a new radiograph taken six months later, displaying new bone regeneration using periosomes. Stay tuned for upcoming publications from Dr. Froum and Dr. Estrin on the use of exosomes in humans.
Conclusion
Exosomes have amazing groundbreaking potential in regenerative dentistry, specifically offering a novel pathway to treat gum disease and save teeth. As described by Arnold Caplan, the inventor of stem cells himself: exosomes are the secretory biomolecules and not MSCs that provide therapeutic potential in live-patient settings. These biomolecules are known as exosomes and represent the ability for cells to communicate with one another, leading to tissue regeneration and reduced inflammation. Periodontal ligament stem cell exosomes (periosomes) are of particular interest in regenerating periodontal tissues and treating gum disease. Periosomes have already been utilized in humans to help regenerate bone around failing teeth, and further research has explored their use around dental implants. As exosomes continue to be heavily researched, their application in dentistry and medicine will continue to increase, providing an exciting outlook on the future of regenerative medical therapies.
Editor’s note: This article originally appeared in Perio-Implant Advisory, a chairside resource for dentists and hygienists that focuses on periodontal- and implant-related issues. Read more articles and subscribe to the newsletter.
References
- Ghosh A, Davey M, Chute IC, et al. Rapid isolation of extracellular vesicles from cell culture and biological fluids using a synthetic peptide with specific affinity for heat shock proteins. PloS One. 2014;9(10):e110443. doi:10.1371/journal.pone.0110443
- Miron RJ, Zhang Y. Understanding exosomes: part 1—characterization, quantification and isolation techniques. Periodontol 2000. 2024;94(1):231-256. doi:10.1111/prd.12520
- Ye Q, Wang B, Mao J. The pathogenesis and treatment of the 'Cytokine Storm' in COVID-19. J Infect. 2020;80(6):607-613. doi:10.1016/j.jinf.2020.03.037
- Caplan AI. Mesenchymal stem cells: time to change the name! Stem Cells Transl Med. 2017;6(6):1445-1451. doi:10.1002/sctm.17-0051
- Atala A. An interview with cell therapy pioneer, Arnold Caplan. Stem Cells Transl Med. 2022;11(6):567-571. doi:10.1093/stcltm/szac026
- Tonetti MS, Greenwell H, Kornman KS. Staging and grading of periodontitis: framework and proposal of a new classification and case definition. J Periodontol. 2018;89(Suppl 1):S159-S172. doi:10.1002/JPER.18-0006
About the Author

Nathan Estrin, DMD
Nathan Estrin, DMD, received his bachelor’s degree in kinesiology from Indiana University and went on to earn his DMD from LECOM School of Dental Medicine. He received his training in periodontics at Stony Brook University in New York. During his dental studies, he developed a passion for regenerative, implant, and laser surgery and has more than 15 publications and three book chapters in these areas. Dr. Estrin is a board-certified periodontist in full-time private practice in Sarasota, Florida. He is also adjunctive faculty at LECOM School of Dental Medicine and a lead educator for PRFedu, where he trains dental offices on platelet-rich fibrin, lasers, and modern periodontal therapy.

Scott Froum, DDS
Editorial Director
Scott Froum, DDS, a graduate of the State University of New York, Stony Brook School of Dental Medicine, is a periodontist in private practice at 1110 2nd Avenue, Suite 305, New York City, New York. He is the editorial director of Perio-Implant Advisory and serves on the editorial advisory board of Dental Economics. Dr. Froum, a diplomate of both the American Academy of Periodontology and the American Academy of Osseointegration, is a volunteer professor in the postgraduate periodontal program at SUNY Stony Brook School of Dental Medicine. He is a PhD candidate in the field of functional and integrative nutrition. Contact him through his website at drscottfroum.com or (212) 751-8530.

Richard Miron, DDS
Richard Miron, DDS, is currently lead educator and researcher at Advanced PRF Education and an adjunct visiting faculty in the department of periodontology at the University of Bern, Switzerland, where he completed his PhD studies since 2009. Dr. Miron is a prolific author and international lecturer on topics relating to growth factors, bone biomaterials, and guided bone regeneration. He is widely considered one of the top contributors to implant dentistry. He has written 10 textbooks on regenerative dentistry including Next Generation Biomaterials for Bone and Periodontal Regeneration, Understanding Platelet Rich Fibrin, and Modern Implant Dentistry.




