Pinhole Surgical Technique with platelet-rich fibrin to enhance soft-tissue grafting
Introduction
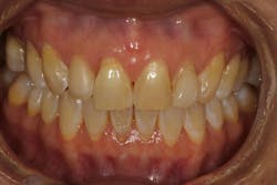
Gingival recession, more commonly described as the condition where the gum tissue surrounding the teeth pulls back, leading to root exposure, is a common periodontal concern (figure 1). Addressing this issue is not only crucial for maintaining oral health but also for achieving cosmetic satisfaction, particularly in individuals dealing with multiple teeth affected by recession (MAR).
The Pinhole Surgical Technique (PST) has emerged as a minimally invasive approach to manage gingival recession, with promising outcomes in root coverage and improved esthetic benefits. The introduction of platelet-rich fibrin (PRF) to PST represents a significant advancement, potentially enhancing healing processes and improving clinical outcomes.
The Pinhole Surgical Technique in treating gingival recession
What is PST?
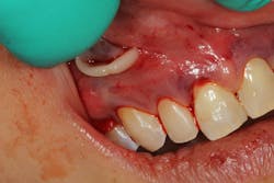
PST, developed as a minimally invasive procedure, is designed to reposition gingival tissue to cover exposed roots.1,2 Unlike conventional methods, PST eliminates the need for grafting with tissue from the palate and invasive incisions, significantly reducing postoperative discomfort and scarring (figure 2).
Its application has garnered attention for restoring esthetics and improving oral health among patients with mild to moderate gingival recession in multiple sites.3,4 Recent studies have shown that the PST technique is comparable to the gold standard of soft-tissue grafting, which involves harvesting connective tissue from the palate or other areas of the patient’s mouth.1,2
What are the clinical benefits of PST?
Multiple studies have highlighted the efficacy of PST in reducing gingival recession in both length and width. PST has also shown a remarkable ability to stabilize keratinized tissue width (KTW), enhance gingival thickness (GT), and achieve complete root coverage (CRC). These outcomes are particularly valuable for individuals with MAR where simultaneous multisite treatment is essential for uniformity and esthetics. The PST technique has demonstrated good long-term stability in treating soft-tissue recession and is similar to soft-tissue grafting with the patient’s own connective tissue.2
How does PRF enhance PST outcomes?
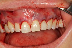
PRF is an autogenous biomaterial derived from the patient’s blood. It is rich in growth factors and cytokines that accelerate tissue repair, angiogenesis, and wound healing. When combined with PST, PRF acts as a natural scaffold, promoting soft-tissue healing, maintaining tissue volume, and potentially reducing gingival inflammation. PRF’s bioactive properties allow for improved attachment of gingival tissues and greater stability in areas of multiadjacent recession (figures 3–5).
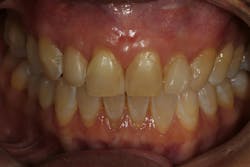
Recent advancements in combining PRF (i.e., Bio-PRF) with PST have shown increased effectiveness in root coverage, enhanced gingival thickness, and better postoperative outcomes when compared to PST alone (figure 6).
What are the other benefits of using PRF with PST
- Reduction in postoperative pain. PRF significantly reduces postoperative pain and discomfort.5 The localized anti-inflammatory effects and enhanced healing capacity of PRF contribute to this benefit, increasing patient acceptance of the procedure.
- Long-term esthetic and clinical outcomes. The ability of PST + PRF to maintain long-term outcomes is another advantage. Studies have demonstrated that patients undergoing this combined therapy exhibit not only durable improvements in gingival health but also a higher level of satisfaction with root-coverage esthetics when compared to PST alone.6
- Superior results compared to other biomaterials. When comparing PRF to alternative biomaterials, such as resorbable collagen membranes, PRF demonstrates superior healing properties and patient satisfaction. A trial comparing PST with PRF and PST with collagen matrices indicated more significant gains in clinical outcomes and lower pain scores in the PRF group, further underscoring its advantages as an adjunct to PST.7
Comparative studies of PST with PRF versus PST alone
One randomized clinical trial analyzing multiple noninvasive soft-tissue grafting techniques highlights the tangible benefits of PRF augmentation in PST. Data demonstrates that the combination of PST and PRF not only achieves significant reductions in recession but also outperforms PST alone in improving gingival parameters.8
Another study assessing 165 MAR cases revealed that while both groups showed improvement, the test group (PST + PRF) outperformed the control group (PST alone) on several parameters, including a more substantial gain in keratinized tissue and recession coverage.9
Conclusion
The addition of PRF to PST represents an evolution in periodontal therapy. For dental professionals, this combination not only enhances clinical efficiency but also yields highly satisfactory outcomes for patients, particularly in cases with multiple adjacent gingival recession defects. PRF acts as a cost-effective and biologically sustainable enhancement to the already minimally invasive PST. The simplicity of adding PRF, along with its ability to promote healing, makes it an indispensable tool for dentists striving to offer cutting-edge care. Its proven benefits in minimizing recession defects, improving patient comfort, and achieving esthetic excellence make it a valuable procedure for any modern dental practice.
Key takeaways from the article
- Clinical superiority: PST with PRF consistently shows better resolution of gingival recession defects than PST alone.
- Patient outcomes: Reduced postoperative pain and better esthetic results make it a patient-preferred option.
- Efficiency: The minimally invasive nature of PST combined with the regenerative properties of PRF simplifies complex multisite treatments.
Editor’s note: This article originally appeared in Perio-Implant Advisory, a chairside resource for dentists and hygienists that focuses on periodontal- and implant-related issues. Read more articles and subscribe to the newsletter.
References
- Shibly O, Chao JC, Albandar JM, Almehmadi N, Al-Sabbagh M. Treatment of gingival recession using the Pinhole Surgical Technique with collagen membrane vs coronally advanced flap technique with connective tissue graft: a split-mouth randomized clinical trial. Compendium. 2025;46(1). https://conexiant.com/publications/compendium/view-article/?id=1aa54de6-bebb-47ee-8193-fc40565cc603
- Chao J, Rosales ER, El Chaar E, Shibly O, Al-Sabbagh M, Ma LW. Long-term retrospective case series of the Pinhole Surgical Technique. Int J Periodontics Restorative Dent. 2025;0(0):1-16. doi:10.11607/prd.7291.
- Chao JC. A novel approach to root coverage: the pinhole surgical technique. Int J Periodontics Restorative Dent. 2012;32(5):521-531.
- Chao J, Shibly O, Tso V, Ma L. Treatment of 27 class III gingival recession sites: a 35-month case study. J Cosmet Dent. 2024;39(3):50-63.
- Nourwali I. The effects of platelet-rich fibrin on post-surgical complications following removal of impacted wisdom teeth: a pilot study. J Taibah Univ Med Sci. 2021;16(4):521-528. doi:10.1016/j.jtumed.2021.02.004
- Sundaresan Iii P, Paramashivaiah R, Prabhuji MLV. Comparative evaluation of recession coverage obtained using the Pinhole Surgical Technique with and without platelet-rich fibrin: a randomized clinical trial. Int J Periodontics Restorative Dent. 2023;43(4):e181-e188. doi:10.11607/prd.5953
- Al-Barakani MS, Al-Kadasi B, Al-Hajri M, Elayah SA. A comparative study of the effects of advanced platelet-rich fibrin and resorbable collagen membrane in the treatment of gingival recession: a split-mouth, randomized clinical trial. Head Face Med. 2024;20(1):41. doi:10.1186/s13005-024-00441-1
- Saleh W, Abdelhaleem M, Elmeadawy S. Assessing the effectiveness of advanced platelet rich fibrin in treating gingival recession: a systematic review and meta-analysis. BMC Oral Health. 2024;24(1):1400. doi:10.1186/s12903-024-05115-7
- Trivedi DS, Kolte AP, Kolte RA, Deshpande NM. Comparative evaluation of pinhole surgical technique with and without A-PRF in the treatment of multiple adjacent recession defects: a clinico radiographic study. J Esthet Restor Dent. 2024;36(2):324-334. doi:10.1111/jerd.13076
About the Author

Scott Froum, DDS
Editorial Director
Scott Froum, DDS, a graduate of the State University of New York, Stony Brook School of Dental Medicine, is a periodontist in private practice at 1110 2nd Avenue, Suite 305, New York City, New York. He is the editorial director of Perio-Implant Advisory and serves on the editorial advisory board of Dental Economics. Dr. Froum, a diplomate of both the American Academy of Periodontology and the American Academy of Osseointegration, is a volunteer professor in the postgraduate periodontal program at SUNY Stony Brook School of Dental Medicine. He is a PhD candidate in the field of functional and integrative nutrition. Contact him through his website at drscottfroum.com or (212) 751-8530.

John C. Chao, DDS, MAGD
John C. Chao, DDS, MAGD, is the inventor of the Pinhole® Surgical Technique. He is a research associate professor at the University at Buffalo, SUNY, and an adjunct assistant professor at the Ostrow School of Dentistry, USC. Dr. Chao is in private practice in Alhambra, California.








