Considerations when using veneers to fabricate a perfect smile
There are many elements that go into creating a “perfect smile,” and an experienced dentist who knows how to utilize a combination of science and art is one of the very important ones. Many dentists use porcelain veneers to change both the size and shape of the teeth to enhance esthetics, and knowing how to do this properly is the key to creating beautiful teeth and a natural, esthetic smile.
When using porcelain veneers, there are five main factors that contribute to a perfect smile: size, color, length, alignment, and translucency. In this article, we will look into each of these aspects in a bit more detail, and I will offer a few tips.
Size
Teeth that are too big can give patients a horse-like appearance! If just a few teeth are overly large—particularly the front teeth—patients will look like they have buckteeth. When teeth are too small, there could be large diastemas (gaps) between them (figure 1), making patients look as if they have primary or baby teeth. A gummy smile, also known as excessive gingival display, (figure 2) can make the teeth appear to be small. In these cases, gum removal or crown lengthening may be needed prior to placing veneers (figure 3). Four to six veneers can be used to balance out large front teeth, while an entire set of veneers can transform any smile into an esthetic success (figure 4).
Figure 1: Diastemas can occur when teeth are too small.
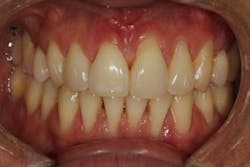
Figure 2: Excessive gingival display can make the teeth appear to be small.
Figure 3: Crown lengthening may be needed prior to placing veneers.
Figure 4: Veneers can transform any smile into an esthetic success.
Color
The dentin beneath the tooth enamel is responsible for giving teeth a slight yellow or gray tint. Some people have darker dentin, so for these patients, veneers are the best choice for teeth whitening as commercial or professional whitening products will be less effective. Dentists trained in veneer fabrication will know that teeth should not be whiter than the whites of the eyes, and the veneers should blend nicely with the patient's skin color. Anything brighter will cause the teeth to look unnatural.
Length
Short or long teeth can upset the balance of the face, drawing attention to a smile you may not love. If the teeth are too short, veneers can lengthen them. If the teeth are too long, they may either not fit a certain desired proportion, or gum recession could be part of the problem. If recession is indeed the problem (figure 5), a soft-tissue graft may be beneficial prior to placing veneers (figure 6). Length is one of the more important components of veneers. Each of the porcelain veneers should not be identical in length, but instead should subtly complement each other so that they look natural.
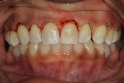
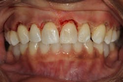
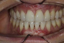
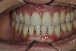
Figure 5: Gum recession and "long teeth"
Figure 6: Soft-tissue graft to correct gum recession before placing veneers
Alignment
For patients who want straight teeth without going through orthodontics (wearing braces or aligners), veneers can help them achieve their goal in a more expeditious fashion. Veneers can align teeth, make them less crowded, correct flare, and straighten teeth with angulation problems.
Translucency
Teeth reflect light, so veneers should too. If the veneers are completely opaque, they will appear flat and fake. If the teeth are incredibly translucent, a by-product of poor enamel development which can be attributed to genetics, they can look unhealthy and discolored. The translucency, opacity, and coloring of veneers can all contribute to the perfect shade selection for your patients' individual cosmetic needs.
Keeping all five of these key elements in mind, along with the tips for making porcelain veneers the best they can be, will ensure that your patients will be pleased with their smile and with you.
Editor's note: All photos are courtesy of Scott Froum, DDS
About the Author

Michael J. Wei, DDS
Michael J. Wei, DDS, FIADFE, is a graduate of the New York University College of Dentistry. He received dual certificates in Advanced Education in General Dentistry (AEGD) at Columbia University School of Oral and Dental Surgery, and also completed a fellowship at New York Presbyterian Hospital. He currently is a clinical associate professor at New York University College of Dentistry. He maintains a private practice in midtown Manhattan, specializing in cosmetic dentistry and implants. Contact him through his website at mymanhattancosmeticdentist.com.









