The ideal esthetic dental implant restoration: Will it still look like that in 10 years?
There are many considerations and steps that need to take place to ensure an esthetic implant restoration that is acceptable to both patient and clinician. One of the most important factors is placing the dental implant in a three-dimensional manner into the alveolar housing. The implant should be placed in an orientation dictated by tooth position—not by available bone—a term that has been named prosthetically driven implant placement. This orientation has defined parameters for single and multiple dental implants that have been well covered in the literature. Unfortunately, many of these rules for the placement of dental implants did not take into account that patients, even as adults, continue to grow.
The year was 2008, and Fereidoun Daftary, DDS, a private restorative clinician practicing in California, began to notice that implants he restored 10–20 years ago were no longer in the same position. He began to look back on his well-documented implant cases over a 20-year period and noticed that the teeth moved relative to the dental implant, resulting in a nonesthetic appearance and functional problems. Dogma stated that females typically stop growing by age 18 and males at age 20. Wrist radiographs over the period of a year usually would dictate whether the patient was still growing and give the green light for dental implant therapy. Daftary discovered that this conventional thinking was not true. Craniofacial growth continues for humans even into adulthood, albeit slower as compared with childhood. Because the tissues and teeth continue to move around a fixed, osseointegrated implant, restorations placed as many as five to 20 years ago can look vastly different from when they were first inserted. In other words, ideal implant placement and restoration may not continue to be ideal as the years progress.
Continued craniofacial growth may have the following implications on dental implant position: (1)
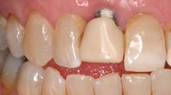
1. Labialization of the dental implant, especially in the maxillary anterior region (figure 1)
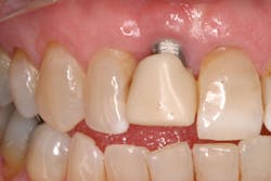
2. Thinning of the hard- and soft-tissues around the dental implant (figure 2)
3. Changes in occlusal patterns and force distribution, leading to possible fracturing of the implant components (figure 2a)
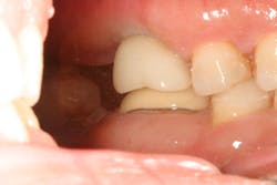
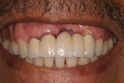
4. Open contacts due to tooth migration, and cervical margin discrepancies in gingival height (figure 3)
Patients at the highest risk for craniofacial growth that will impact dental implant positioning in future years fall into these categories:
- Female
- 35-years-old and younger
- Single-tooth replacements
- Replacing missing congenital teeth (especially maxillary incisors)
- Long, oval faces
- Thin gingival biotypes
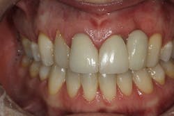
- High smile lines (figure 4)
In conclusion, it would be in the best interests of the treating dentist and the patient to explain that craniofacial growth may impact the need for reparations to the dental implant crown and/or the need for dental implant replacement prior to implant therapy. (2) In addition, patients who are at high risk may benefit from implant restorations that are retrievable (screw-retained) or conventional fixed partial dentures until that risk decreases. A risk assessment should be performed prior to dental implant therapy and informed consent obtained regarding the implications of craniofacial growth on future problems. (3)
MORE CLINICAL TIPS FROM DR. SCOTT FROUM . . .
References
1. Daftary F, Mahallati R, Bahat O, Sullivan RM. Lifelong craniofacial growth and the implications for osseointegrated implants. Int J Oral Maxillofac Implants. 2013;28(1):163–169. doi: 10.11607/jomi.2827.
2. Oesterle LJ, Cronin RJ Jr. Adult growth, aging, and the single-tooth implant. Int J Oral Maxillofac Implants. 2000;15(2):252–260.
3. Rosen PS, Bahat O, Daftary F, Mahallati R. Should craniofacial growth be a consideration in dental implant treatment? Compend Contin Educ Dent. 2016;37(7).
About the Author

Scott Froum, DDS
Editorial Director
Scott Froum, DDS, a graduate of the State University of New York, Stony Brook School of Dental Medicine, is a periodontist in private practice at 1110 2nd Avenue, Suite 305, New York City, New York. He is the editorial director of Perio-Implant Advisory and serves on the editorial advisory board of Dental Economics. Dr. Froum, a diplomate of both the American Academy of Periodontology and the American Academy of Osseointegration, is a volunteer professor in the postgraduate periodontal program at SUNY Stony Brook School of Dental Medicine. He is a PhD candidate in the field of functional and integrative nutrition. Contact him through his website at drscottfroum.com or (212) 751-8530.






