Narrow-diameter implants: A solution for replacing single missing lower incisors
Most dentists dread having to replace single missing mandibular incisors due to the numerous challenges involved. Peter Mann, DDS, FICOI, FAGD, presents two case studies demonstrating the successful use of narrow-diameter implants (mini-implants) for patients who "don't want a bridge" and those who were told they are not candidates for conventional dental implants.
MOST DENTISTS DREAD THE THOUGHT of replacing a single missing mandibular incisor. Numerous challenges make this procedure unappealing. There’s usually not enough space for a regular dental implant due to mesiodistal restrictions; roots on either side don’t allow enough space for implant placement. There are buccolingual restrictions as well, since the ridge frequently atrophies in the anterior of the lower mandible.
Placing a bridge would involve prepping a lower incisor for an implant abutment. As we all know, these are the weakest and smallest teeth in the mouth. Lower incisors make for poor long-term abutments, and the prognosis is usually guarded. The last option is a removable prosthetic. Whatever you call it—flipper, flexi, partial denture—one thing is for sure, the patient can lose it, break it, and/or not be satisfied with it.
Interestingly, patients have begun to actively seek out narrow-diameter implant treatment and have found my office, since many general dentists and specialists do not offer this option. Patients present with the chief complaint of “I don’t want a bridge” and have been told that they are not conventional dental implant candidates. My previous article on "Narrow-diameter implants in the esthetic zone" presented several cases explaining how these types of implants can be used in challenging cases involving the anterior esthetic zone. In this article, I will present two cases that demonstrate the successful use of narrow-diameter implants (mini-implants) for the replacement of missing lower incisors.
Case No. 1
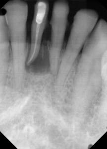
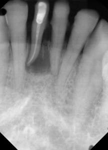
This is the case of a patient who has been missing a lower incisor for more than a year due to a failed root canal treatment (RCT). While there’s plenty of space mesiodistally, bone sounding helped us determine that there was only 4 mm of bone in the buccolingual dimension. A mini-implant was placed without raising a flap, the impression was taken at the time of surgery, and the implant was restored three weeks later.
Figure 1: Radiograph of pilot drill
Figure 3: Implant abutment on the transfer model
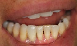
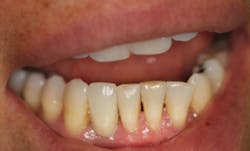
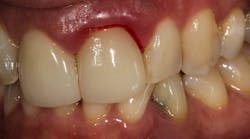
Figure 4: Crown insertion visit
Figure 5: Crown try-in
Case No. 2
This patient presented with discomfort and mobile teeth Nos. 24 and 25. Extractions were performed, and the area was allowed to heal for six months. Mini-implants were placed in site Nos. 24 and 25 and immediately loaded with temporary crowns. The final splinted restoration was cemented two weeks later.
Figure 7: Following six months of healing
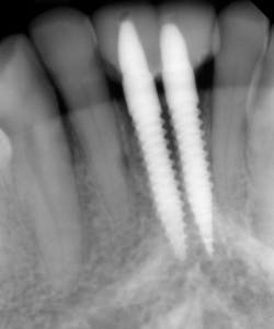
Figure 8: Initial implant placement DIO 3.0 x 16 mm implants
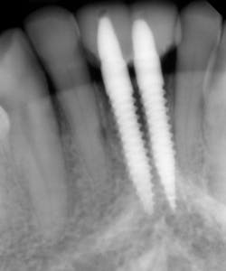
Figure 9: Implants restored two weeks after placement
Conclusion
Placing narrow-diameter dental implants to replace missing incisors can overcome many of the traditional challenges facing clinicians. Patients with thin ridges and narrow spaces between roots can be restored without using fixed partial bridges or removable prosthetics.
MORE ARTICLES BY DR. PETER MANN ...
Deciding between pink porcelain versus ridge augmentation in the esthetic zone
Learning from root canal complications
A cost-effective method of creating a dental implant surgical guide for ridge augmentation
Step-by-step procedure to simplified and efficient root canal techniques
Dental implants: The importance of patient compliance with immediate loading










