Sinus lifts made safe and easy using hydraulics
Sinus lifts, also known as sinus bone augmentations or sinus elevation procedures, serve a crucial role in creating adequate space and bone density for successful dental implant placement in patients with insufficient bone height in the upper jaw. Depending on the volume of bone that needs to be augmented, either a crestal approach (internally through the ridge of the bone) or a lateral window approach (externally through the side of the jawbone) is taken.
Osteotome sinus lifts
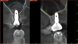
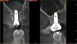
If the bony height defect is not significantly large (residual bone height over 4 mm), a crestal approach is usually adopted. This involves accessing the sinus cavity directly through the dental implant site, typically during implant placement. The traditional osteotome technique, originally proposed in 1994 by Summers,1 involves manually tapping with a mallet specialized instruments into the bone to upfracture the sinus bone and forcibly create space (figures 1 and 2).
While the traditional technique of using osteotomes by Summers is routinely utilized and quite predictable, it poses dangers of inherent complications:
- Sinus membrane perforations
- Uncontrolled hemorrhaging
- Tinnitus
- Paroxysmal and positional vertigos
- Labyrinthine concussions
Lateral window sinus lifts
If more bone augmentation is required, the lateral window approach is often adopted as it provides better access and elevation of the sinus membrane. This involves drilling a bony window through a large flap raised on the posterior maxilla. However, this approach is more invasive and carries a greater risk of side effects ranging from extremely painful hematoma formations, infections, damage to the infraorbital neurovasculature, to, most commonly, perforations in the sinus membrane.
For decades, dental professionals have utilized osteotome techniques as a standard for crestal approach sinus lift surgeries. But as the field of dentistry advances, innovations in implantology and dental surgeries have brought groundbreaking shifts toward noninvasive, safer, more predictable and efficient alternatives to such surgeries.
You may also be interested in … Antibiotics: Are they needed for dental implant placement?
Hydraulic sinus lifts
Hydraulic sinus lifting is a technological leap forward in sinus lift procedures. These innovative devices utilize hydraulic pressure to lift the sinus membrane gently and precisely, creating sufficient space for implant placement without the need for excessive bone manipulation (figure 3).
Hydraulic lifts can effectively prevent many of the aforementioned complications. Membrane perforations and injury to nearby vital structures are minimized because of the use of millimeter-precise drill stoppers, as well as simply using saline instead of blunt instruments to separate the thin sinus membrane. The flat-ended drills and stoppers in hydraulic techniques eliminate much of the guesswork involved in drilling to breach the sinus.
There is no manual bone manipulation, meaning hydraulics are less invasive and therefore promote faster healing for patients. Because mallets are not used, the patient experiences less trauma and doesn’t suffer related side effects such as tinnitus or concussions. Most importantly, unlike traditional methods that involve manual force, hydraulic lifts offer controlled and predictable elevation of the sinus floor, minimizing trauma to surrounding tissues and reducing postoperative complications.
You may also be interested in … Regenerative medicine: Better bone growth biologics for periodontists
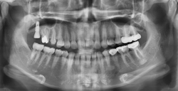
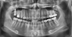
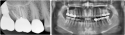
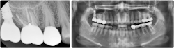
Case report
As the landscape of implantology evolves, the adoption of hydraulic lifts is poised to become the gold standard in noninvasive sinus lift surgeries, reshaping the future of dental implant procedures (figures 4–11).
Editor’s note: This article originally appeared in Perio-Implant Advisory, a chairside resource for dentists and hygienists that focuses on periodontal- and implant-related issues. Read more articles and subscribe to the newsletter.
Reference
- Davarpanah M, Martinez H, Tecucianu JF, Hage G, Lazzara R. The modified osteotome technique. Int J Periodontics Restorative Dent. 2001;21(6):599-607.
Hyun Jae Harry Cho, DDS, earned his degree in dentistry with honors from New York University College of Dentistry and further obtained a specialty certificate in periodontics from Stony Brook University. He also obtained a master’s in business administration from Stony Brook and is currently earning a master’s in oral biology and pathology. Dr. Cho is a periodontist in private practice at 1110 2nd Avenue, Suite 301, New York City, New York. He was the chief translator and editor for Dental Bean, a dental education company.
About the Author

Hyun Jae Harry Cho, DDS
Hyun Jae Harry Cho, DDS, earned his degree in dentistry with honors from New York University College of Dentistry and further obtained a specialty certificate in periodontics from Stony Brook University. He also obtained a master’s in business administration from Stony Brook and is currently earning a master’s in oral biology and pathology. Dr. Cho is a periodontist in private practice at 1110 2nd Avenue, Suite 301, New York City, New York. He was the chief translator and editor for Dental Bean, a dental education company.
Updated December 7, 2023













