header logo Perio Implant Advisory

Advanced solutions for interdisciplinary dental care

  • Clinical Tips
  • Dental Implants
  • Periodontics
  • Practice Management
  • Restorative Dentistry
undefined mega-logo
Sections
Clinical Tips
Dental Implants
Periodontics
Practice Management
Restorative Dentistry
Special
Continuing Education
Free Samples
Innovator Awards
Videos
Contact
About Us
Advertise
Contact Us
Newsletter
Newsletter Subscription
Affiliated Brands
RDH UNDER ONE ROOF
DENTAL ECONOMICS
DENTISTRYIQ
RDH
Follow us on
https://www.facebook.com/SurgicalRR
https://www.instagram.com/pi_advisory/
https://www.linkedin.com/company/surgical-restorative-resource?trk=other_brands_name
https://twitter.com/PI_Advisory
https://www.youtube.com/channel/UCm8U6hZE-uCLCEx_MSs7fpw

Surgical Technique

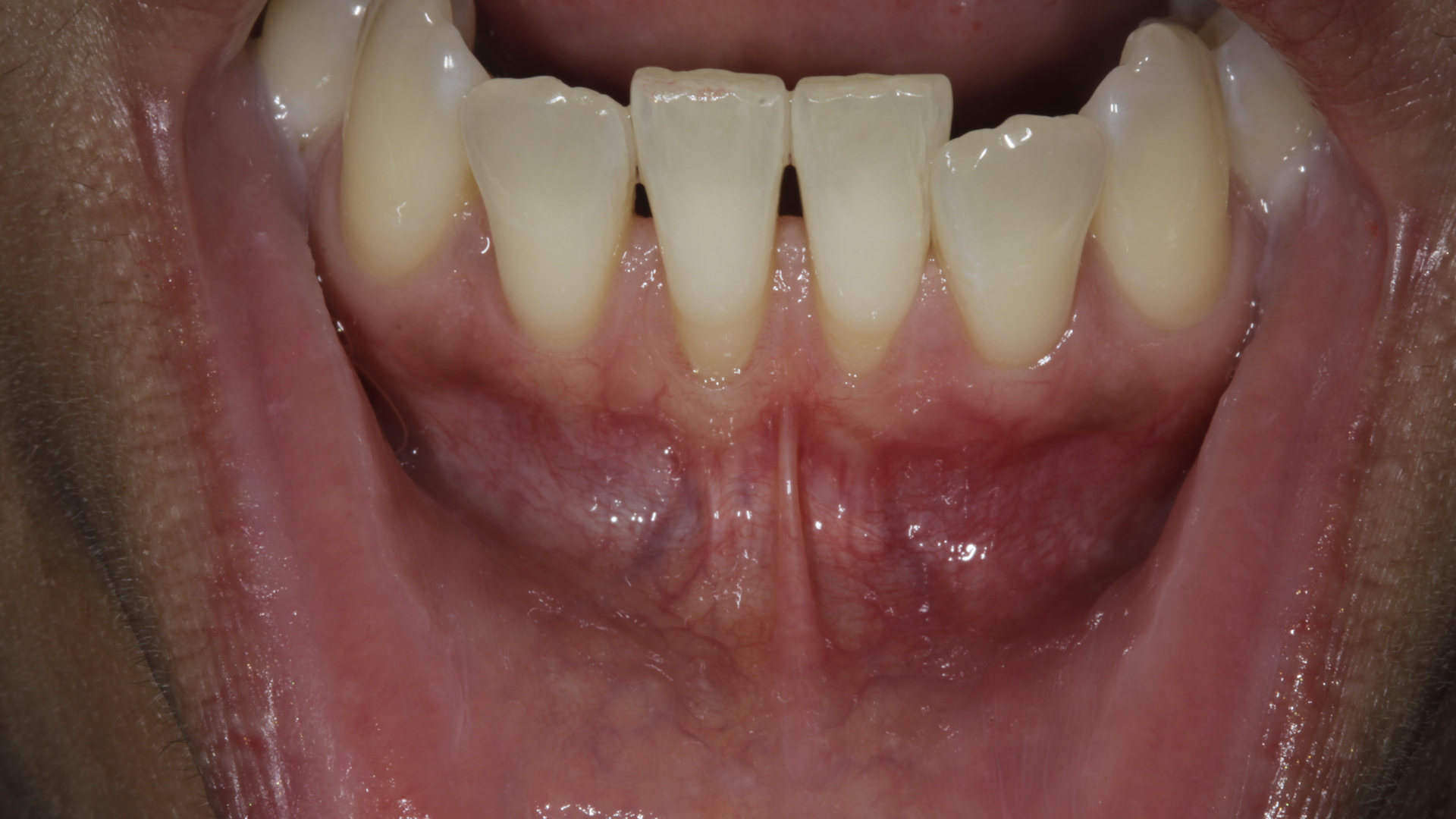
Photo courtesy of Scott Froum, DDS
Mg 6902 From Scott
Soft-tissue Management

Importance of soft tissue around teeth and implants

Surgical treatment for gingival recession is highly predictable for Miller class I and II single-tooth defects, but challenges arise with class III and IV defects. Dr. Jennifer...
Sept. 8, 2020
Content Dam Sr Online Articles 2019 04 19apr11piaramost
Surgical Techniques

A review of available periodontal surgical techniques for pocket elimination

April 4, 2019
Content Dam Sr Online Articles 2018 01 18jan11piaclintipthumb
Clinical Tips

Alternative to suturing reduces surgical time for dental procedures

Jan. 10, 2018
Content Dam Sr Online Articles 2018 01 18jan11piachiapascot
Periodontal Complications

Sinus grafting: How to manage complications involving the maxillary sinus

Jan. 10, 2018
Content Dam Sr Online Articles 2017 03 Anthonysclardmd Thumb
Periodontal Complications

AO Orlando preview: Morning with the Masters highlights from Dr. Anthony Sclar

March 7, 2017
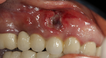
Photo courtesy of Scott Froum, DDS
Content Dam Diq Online Articles 2016 09 16sept15piadipace T
Periodontal Complications

Medication-related osteonecrosis of the jaw: Lowering the risk of MRONJ using new drug alternatives

Sept. 13, 2016
Content Dam Diq Online Articles 2016 08 Joi Glossary Of Terms Edited
Surgical Technique

AAID announces the launch of the JOI Glossary of Terms, 2016 Edition

Aug. 15, 2016
Content Dam Diq Online Articles 2016 07 Aaid Conference Edited
Surgical Technique

Pediatric heart transplant pioneer to keynote AAID Annual Conference

July 11, 2016
Content Dam Diq Online Articles 2016 05 16may19piagoldsteint
Hygiene Techniques

Improving traditional nonsurgical methods for peri-implant disease: A new adjunctive therapy

May 18, 2016

Looking for Something?

footer logo Perio Implant Advisory
Perio-Implant Advisory provides evidence-based clinical content for specialists and generalists managing complex periodontal and implant cases.
Newsletters
The top stories, industry insights and relevant research, assembled by our editors and delivered to your inbox.
Connect
Follow us for the latest industry news and insights.
https://www.facebook.com/SurgicalRR
https://www.instagram.com/pi_advisory/
https://www.linkedin.com/company/surgical-restorative-resource?trk=other_brands_name
https://twitter.com/PI_Advisory
https://www.youtube.com/channel/UCm8U6hZE-uCLCEx_MSs7fpw
Affiliated Brands
RDH UNDER ONE ROOF
DENTAL ECONOMICS
DENTISTRYIQ
RDH
  • About Us
  • Advertise
  • Do Not Sell or Share
  • Privacy Policy
  • Terms & Conditions
EndeavorB2B Logo
© 2026 All rights reserved.