Zirconia: the next best restorative material?
By Lewis Sharp, CDT
The dental industry is seeing rapid changes in all aspects. Economic pressures, new and emerging technologies, and soaring precious metal prices have caused a shift in restorative choices. As a material, zirconia is the strongest of the all-ceramic restoration materials available today. Zirconia ceramic materials have been used for more than 20 years in medicine, mainly for hip replacements, and is used in aerospace technology. These materials have shown over this long history that they are fully biocompatible. It is the new material of choice for dental restorative procedures. In a recent issue of the CRA Newsletter, a status report on all-ceramic vs. PFM restorations states: "Dental technology is moving rapidly toward computers and all-ceramics, with zirconia leading the trend currently."
Characteristics of zirconia:
- It has extremely high tensile strength, and is referred to as ceramic steel.
- It virtually eliminates any allergic reactions.
- It is not an electrical conductor, so it doesn't generate an electrical charge. Electrical conductivity contributes to the corrosion of other metals in the mouth.
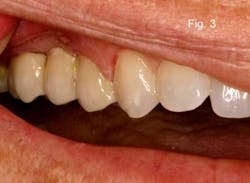
- Being nonmetallic, there is no corrosion. Therefore, gingival reactions such as the common "black line" at the gumline of traditional porcelain-fused-to-metal restorations will not occur.
- As an insulator, it protects against unpleasant hot/cold sensitivity in the mouth.





