I think my implant needs a root canal
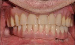
About two years ago I inserted a full-arch implant restoration for one of my favorite patients. A periodontist and I had given his remaining mandibular dentition the death sentence (Fig. 1) and treatment planned a screw-retained, acrylic-to-metal, fixed prosthesis, or “hybrid.” After a year of wearing an immediate complete denture as a provisional, my patient was thrilled to throw out the denture adhesive and enjoy eating steak again (Fig. 2).
Fig. 1: Initial presentation of a patient with severe periodontal bone loss and generalized Class II mobility of mandibular dentition.
Fig. 2: Completed mandibular “hybrid” restoration on six Neoss implants. The patient dutifully came in for his six-month recall visits and used an oral irrigator at home. My hygienist used a plastic curette and would remove plaque and calculus where she could find it. The patient would ask me, “How does everything look?” “Umm ... great!” was my usual response. After a couple of years of this routine, the patient appeared in my schedule with an odd chief complaint: “I think my implant needs a root canal.” He had spontaneous, intermittent discomfort on one of his anterior implants for a few weeks, and it was slowly getting worse. Clinical inspection revealed some plaque on the abutments (Fig. 3) but nothing out of the ordinary.
Fig. 3: Plaque accumulation visible on abutments that are not covered by a flange of acrylic.
We decided to remove the prosthesis and have a look. The first thing I noticed was the severe accumulation of calculus on the prosthesis (Figs. 4 and 5). Next I noted the calculus embedded in the peri-implant sulcus of the No. 24 implant (Fig. 6).
Figs. 4 and 5: Intaglio surface of prosthesis revealing severe calculus accumulation in the anterior segment.
Fig. 6: Calculus detected in peri-implant sulcus of the implant in tooth position No. 24.
Removing the calculus from the peri-implant sulcus was accomplished with a plastic curette relatively easily (Fig. 7). More challenging was the removal of the calculus from the intaglio surface of the prosthesis.
Fig. 7: Calculus is removed with the aid of a plastic curette. It is a safe assumption that the calculus under the prosthesis and around the implant platform had been accumulating from the day the prosthesis was inserted. Despite good home care and faithful hygiene recall appointments, it should have been assumed that calculus unable to be reached with routine care would accumulate. The “hybrid” prosthesis can introduce unusual prosthetic contours that are difficult, if not impossible, for routine hygiene to access. After the prosthesis was cleaned and reinserted, the patient was instructed to use a solution of 0.06% chlorhexidine in the oral irrigator reservoir rather than water. At a two-week follow-up, the patient noted the symptoms had been relieved. While oral irrigation with chlorhexidine will help reduce the plaque and gingivitis, this patient will still need to have his prosthesis removed periodically. How often? Patients who were on three- or four-month hygiene recalls when they had teeth will still generate significant amounts of calculus. In this clinician’s opinion, prosthesis removal on an annual basis may be necessary in order to combat the factors that lead to tooth loss. The goal is to have proactive discussions with patients about their various implant prostheses and determine their ability to be maintained hygienically. Clearly, the retrievability of a prosthesis becomes more critical as more unusual prosthetic contours are introduced.Editor’s note: Drs. Scott Froum and Chris Salierno will be presenting on implant complications on Aug. 4, 2012, in Las Vegas. For more information, click here.Author bio Chris Salierno, DDS, is a general dentist practicing in Melville, N.Y., and co-editor of Surgical-Restorative Resource e-newsletter. He lectures and writes about practice management and clinical dentistry. Additional content is available on his blog for dentists: www.thecuriousdentist.com. You may contact Dr. Salierno by email at [email protected].







