Long-term provisional success for young patients who need implants
A unique dilemma for restorative dentists is the patient with congenitally missing permanent teeth, who is deemed too young for implant therapy. While there is no consensus on a particular age at which implant therapy may commence, the dental team will carefully observe the patient’s stage of dental growth as a primary indicator. Monitoring the patient’s dental development includes wrist radiographs to check for closed growth plates and a periodontal examination to check for signs of altered passive eruption.
While awaiting completion of dental growth, the dentist must find a provisional restoration that meets the young patient’s needs. First, the solution must be highly esthetic so as not to threaten the delicate self-esteem of the pubescent population. Second, it must be fixed since preservation of the edentulous space is critical. A fixed restoration is also better tolerated by the patient than a removable one. Third, it must be resistant to fracture as it may be expected to last for several years during development. Fourth, it must be minimally invasive. Pediatric patients and their caregivers will not be pleased, and rightly so, if the dentist removes healthy adjacent tooth structure for the sake of a provisional restoration.
It is this author’s opinion that the provisional option best suited for these cases is the resin-bonded bridge, or Maryland bridge. Although common opinion is that this is not a viable solution for a “permanent” restoration, it arguably serves quite well as a long-term provisional as it meets all four of the above criteria.
Case study
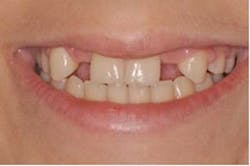
A 15-year-old female presents after completing orthodontic treatment with the chief complaint: “I want to replace my missing teeth.” The examination reveals that both maxillary lateral incisors are congenitally missing. After discussing implant therapy as a future treatment goal after growth has finished, the patient and her mother consented to resin-bonded bridges as a long-term provisional. The patient’s occlusion and envelope of motion are checked for any interference with the proposed prosthesis. If any occlusal interferences were present, they could be removed with a conservative enameloplasty. Alternatively, the teeth adjacent to the edentulous space could be prepared for intracoronal retaining wings. In this case, the patient has a slight anterior open bite, thus no interferences are present. A full-arch PVS impression was taken along with an opposing arch impression, occlusal record, and shade.
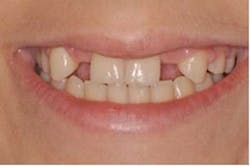
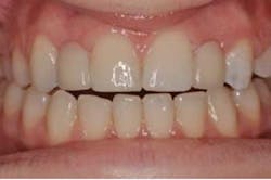
The laboratory was instructed to fabricate metal retaining wings with scattered 1 mm perforations. This design introduces additional surface area for mechanical retention. The patient returns for insertion using traditional bonding procedures. Abutment teeth were etched and bonding agent was applied and cured. Flowable composite resin was generously applied as a luting agent to the tooth surfaces and the retainer wings. Excess was cleaned off with a cotton tip applicator and explorer tip, then the material was light-cured. The patient was pleased with the result and has had no complications 1.5 years post-delivery.
Conclusions
A resin-bonded bridge is an excellent option for a long-term provisional restoration. It is particularly well-suited for young patients with congenitally missing permanent dentition. Many of these patients are teenagers who have just completed orthodontic care, and ideally the restorative dentist will have an opportunity perform an examination before the orthodontic appliances are removed. A periapical radiograph is essential to determine that the final root position of the adjacent teeth will accommodate future implant placement. In addition, if the patient’s occlusal scheme will not permit an extracoronal retaining wing, the orthodontist may still be able to slightly modify tooth position for clearance.
Author bio
Chris Salierno, DDS, is a general dentist practicing in Melville, N.Y., and co-editor of Surgical-Restorative Resource e-newsletter. He lectures and writes about practice management and clinical dentistry. Additional content is available on his blog for dentists: www.thecuriousdentist.com. You may contact Dr. Salierno by email at [email protected].





