Smile makeovers without the expense
By Michael J. Wei, DDS, FIADFE Ever have a patient come into your office and say, “I’m getting married in a few weeks. What can you do to help my teeth look better?” In light of the current economy, another phrase we often hear in the dental office is, “I would love to have beautiful teeth, but I don’t have the money.” Up until recently, the phrase “Hollywood smile” would never be put in the same sentence as “fast and affordable.” With the recent technological advance of the Snap-On Smile®, quick “smile makeovers” are now possible. Designed for people who are getting married or going to a social event, those in need of anterior esthetics done quickly, and/or those who can’t afford traditional dental cosmetics, this solution can be a nice addition to your dental practice offerings. This technology uses a thin, flexible, proprietary dental resin designed to “snap” over existing teeth and mask all the smile deficiencies that conventional restorations, such as porcelain veneers or crowns, would be needed for. The device encases not only the front teeth, but also molars and other posterior teeth, making this device very stable (Figs. 1 and 1a). In addition, this technology can be used to replace missing teeth, close diastemas, correct misaligned teeth, whiten or brighten a smile, and address many other cosmetic issues.
Fig. 1 — Inclusion of posterior teeth adding stability to this device
Fig. 1a — Demonstration of anterior esthetics with better stability than an Essix® retainer As a practicing general dentist, the Snap-On Smile® has also increased my case acceptance in large esthetic cases. Once patients visualize how they can look after dental intervention with this device, they are much more likely to pursue a permanent solution (Figs. 2 and 3).
Fig. 2 — Example of a patient with cosmetic concerns prior to application of appliance
Fig. 3 — Example of the same patient who proceeded with porcelain cosmetics after sampling his Snap-On Smile® I also like to use this technology when replacing teeth after extractions, because it is much more cosmetic than a transitional removable device and more sturdy than an Essix® appliance. My periodontist will often tell me not to let the temporary replacement (i.e., flipper) touch his grafted area. With the snap-on device, the temporary is tooth-based and can be trimmed so as not encroach upon the extraction site or implant site (Figs. 4, 4a, 5, 5a, and 6).
Fig. 4 — Preoperative clinical photo of tooth No. 9
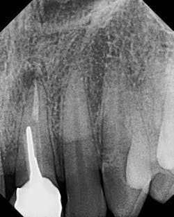
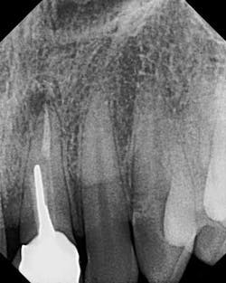
Fig. 4a — Radiograph of failing tooth No. 9
Fig. 5 — Extraction
Fig. 5a — Immediate placement of dental implant
Fig. 6 — Esthetic temporization of implant site with Snap-On Smile® The patient’s first visit will consist of a brief consultation to determine goals for his or her new smile and collect information. The patient can then choose from different smile shapes and shades for the Snap-On Smile®. Photos and impressions of the existing teeth are taken and prescription forms are filled out for customization of the Snap-On Smile®. In about two weeks, the prosthesis will be ready to insert. As with traditional removable devices, I demonstrate to the patient how to use it and clean it. I like this breakthrough technology because it is ultra-thin, professionally custom-made, removable, and can give patients an instant natural-looking smile. Starting at $1,000 per arch — depending on the esthetic needs — this technology can change people’s lives for relatively little cost.
Michael J. Wei, DDS, FIADFE, is a graduate of the New York University College of Dentistry. He received dual certificates in Advanced Education in General Dentistry (AEGD)at Columbia University School of Oral and Dental Surgery, and also completed afellowshipatNew York Presbyterian Hospital. He is currently a clinical associate professor at New York University College of Dentistry. He maintains a private practice in midtown Manhattan, specializing in cosmetic dentistry and implants. Contact him through his website at mymanhattancosmeticdentist.com.






