A new coronally advanced, noninvasive, soft-tissue grafting technique: Bernotti V-Y Flap
Ana Luisa Bernotti, DDS, discusses a new noninvasive soft-tissue grafting technique—the Bernotti V-Y Flap—that can be used with or without autogenous allograft and xenograft collagen membranes. A “V-Y’’ flap design and microsurgical instruments are used to treat gingival recession defects, soft-tissue dehiscence, and keratinized tissue defects around teeth and dental implants. You'll see a video showing how this technique allows for coronal movement of the marginal tissue with no tension from the suture.
Editor's note: This month, Ana Luisa Bernotti, DDS—a periodontist in private practice in Caracas, Venezuela—is our guest, as she writes an editorial for us about a new noninvasive soft-tissue grafting technique that she calls the Bernotti V-Y Flap. This technique can be used as an alternative to conventional grafting techniques. She also includes a short video, which I am adding again here so that no one misses it. You must, however, read the article to understand the process. If you wish to discuss the technique further, you may contact Dr. Bernotti by email at the address listed in her bio at the end of the article. – Scott Froum, DDS
Video: Bernotti V-Y Flap Technique
The treatment of gingival recession is a common technique used to treat hypersensitivity, root abrasion, and esthetic concerns around teeth and dental implants. The BERNOTTI V-Y FLAP IS A CORONALLY ADVANCED FLAP TECHNIQUE that utilizes a “V-Y’’ flap design and microsurgical instruments to treat gingival recession defects, soft-tissue dehiscence, and keratinized tissue defects around teeth and implants. This technique CAN BE USED WITH OR WITHOUT AUTOGENOUS ALLOGRAFT AND XENOGRAFT COLLAGEN MEMBRANES.
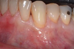
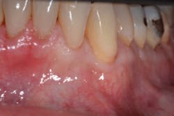
At least 2 mm of gingiva must be left on each side of the flap to preserve blood supply and avoid loss of crestal marginal bone. Although this technique is most effective in treating Miller Class I and II recession defects (figures 1 and 1a), it can be used to obtain partial root coverage around Miller Class III defects. This technique is best used around canines, premolars, and molars.
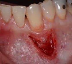
The Bernotti V-Y Flap involves making a submarginal supraperiosteal V-shaped incision 1 mm to 2 mm apical to the mucogingival junction, creating a pedicle flap (figures 2 and 2a). This flap is extended one tooth mesially and distally to the recession defect. It is important to note that the flap should leave the adjacent papillae intact in order to preserve blood supply. An intrasulcular incision is then made with a microsurgical blade to allow for coronal movement of the marginal tissue without tension (figure 3). The root is then scaled/root planed and chemically modified with an amoxicillin slurry for three minutes (figure 3a).
 A horizontal mattress suture is then placed in the mucosa, which creates the vertical slope of the Y and advances the marginal part of the flap coronally above the recession defect (figures 4, 4a, and 4b). This tension-free coronal movement of the tissue is obtained by a zipper-like effect of the horizontal mattress (see the video at the end of this article).
Figure 4b
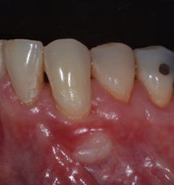
TheBernotti V-Y Flapis a minimally invasive coronally advanced flap consisting of a pedicle flap with a V incision made apically to the recession defect. This technique protects the interdental tissue, does not expose the underlying bone, and provides a better blood supply, resulting in less crestal bone loss. As you can see in the video, this noninvasive soft-tissue grafting technique allows for coronal movement of the marginal tissue with no tension from the suture on the vertical slope in creating the "Y" part of the flap (figures 5 and 5a). It also allows for excellent soft-tissue match (figure 6) and is an alternative to conventional grafting techniques.
Figure 5
Figure 5a
Figure 6
READ MORE CLINICAL TIPS FROM THE EDITOR . . .
 Ana Luisa Bernotti, DDS, is a periodontist in private practice in Caracas, Venezuela, with an emphasis in implantology. She is a professor in postgraduate periodontics at Universidad Central de Venezuela. She obtained her DDS degree in 1994 and her periodontal degree in 1999 from the Universidad Central de Venezuela, with completion in implantology in 2005 from Centro de especialidades y Estudios Superiores odontológicos in Veracruz, Mexico. Dr. Bernotti is an active member of the Facebook dental groups Follow the Pink and Divas in Dentistry. She is a national and international speaker. You may contact her by email at [email protected].













