An alternative to surgical crown lengthening: Margin elevation using a two-matrix system
Subgingival caries is a challenge to the restorative dentist. Creating a biologically sound emergence profile, contour, and adjacent tooth contact rely heavily on the presence of a supragingival tooth structure to avoid open contacts and other complications. Dr. Alisa Neymark explains how a deep margin elevation using a two-matrix system can be used as a new protocol to restore carious teeth adjacent to dental implants.
SUBGINGIVAL CARIES IS A CHALLENGE to the restorative dentist. Creating a biologically sound emergence profile, contour, and adjacent tooth contact rely heavily on the presence of a supragingival tooth structure. Lack of such a structure will cause distortion of the matrix during wedge placement, resulting in open contacts. In addition, it will cause material flash and inaccurate emergence profile, undermining longevity of the restoration and its relationship with marginal periodontal tissues. A deep margin elevation technique can facilitate the placement of large direct composite as well as indirect CAD/CAM restorations. (1) This article discusses the use of a modified Tofflemire matrix followed by a Palodent matrix.
The use of deep margin elevation to facilitate the placement of large direct composite restorations serves as an alternative to surgical crown lengthening. This technique can be especially useful in cases where a surgical crown lengthening approach may be precluded by a furcation, root concavity, a patient’s medical history, and/or patient finances. In addition, the presence of dental implants adjacent to carious teeth can further complicate treatment. Crown lengthening surgery involves changes in the mesiodistal dimension to establish positive architecture of hard tissue. As a result, lengthening the crown of one tooth with a proximal lesion becomes, in effect, a three-tooth surgery. (2) When implants make up one or more of the adjacent teeth, risks of crown lengthening include implant thread exposure, esthetic failure, destabilization of the implant, and infection. Therefore, a new protocol for restoring carious teeth adjacent to implants is necessary.
More dental implants are being placed as they become the standard of care across the United States. Consequently, implant complications have come to light, including an increase in the prevalence of caries on dentition adjacent to implants. (3) Natural dentition can migrate due to continued craniofacial development. Such migration does not occur with an ankylosed implant. This discrepancy leads to interproximal contact loss (ICL), or an open contact, between the implant crown and an adjacent natural tooth at an average rate of 52.1%. (4) Because of ICL, the pattern of caries occurs on a tooth adjacent to an implant along the root surface, rather than directly below the contact point as with most Class II caries patterns. This presents a significant restorative challenge since the caries are generally large and typically approach the nerve canal. Thus, affected teeth need to be built out more to close the open contact caused by tooth migration.
The Greater Curve matrix band is modified to extend farther gingivally by trimming the gingival portion (figures 1 and 2). The matrix height should be reduced to 2–3 mm. The narrowness of the matrix will allow it to sit subgingivally so as to seal the margin. No wedge placement is indicated during this step. After placing the matrix, the gingival margin must be sealed by the matrix, and no gingival tissue or rubber dam should remain between the margin and the matrix. At this point, the tooth can be treated with a .12% chlorhexidine cotton pellet for two minutes. Chlorhexidine is a broad-spectrum protease inhibitor used to demineralize dentin prior to bonding. (5) Following the protocols for dentin bonding (etch/prime/adhesive) and adhesive polymerization, the composite resin can be placed and polymerized.
Figure 1: The Tofflemire matrix band is modified at the gingival half to allow for better root adaptation and deep sulcular seating.
Figure 2: The modified Tofflemire is secured to a universal matrix band retainer prior to intraoral seating.
Once the modified matrix band is removed, the preparation can be completed by careful elimination of excess composite around the tooth. A bitewing radiograph will confirm that there are no excesses or gaps. The literature has shown that the presence of a deep subgingival adhesive margin may not affect the periodontal status of the restored tooth as this has been a concern in the past. (6) Following deep margin elevation, a sectional matrix band (Palodent or Triodent) can be placed interproximally and secured with a wedge and ring. The Class II composite can then be built outward and upward, polymerized in layers.
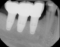
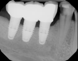
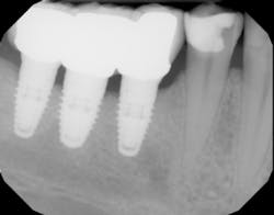
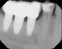
This technique should be used as standard practice when restoring caries adjacent to dental implants (figure 3).
Figure 3: Deep caries adjacent to dental implants is complicated by a deep sulcus. The two-matrix system margin-elevation technique is used to restore proper contour, emergence profile, and contact.
References
1. Magne P, Spreafico RC. Deep margin elevation: a paradigm shift. Am J Esthet Dent. 2012;2(2):86-96.
2. Hempton TJ, Dominici JT. Contemporary crown-lengthening therapy: a review. J Am Dent Assoc. 2010;141(6):647-655.
3. Froum S. Implant-induced decay: a problem bigger than you think. Perio-Implant Advisory. 2018;8(5). https://www.perioimplantadvisory.com/articles/2018/05/implant-induced-decay-a-problem-bigger-than-you-think.html. Published May 9, 2018.
4. Greenstein G, Carpentieri J, Cavallaro J. Open contacts adjacent to dental implant restorations: Etiology, incidence, consequences, and correction. J Am Dent Assoc. 2016;147(1):28-34. doi: 10.1016/j.adaj.2015.06.011.
5. Carrilho MR, Geraldeli S, Tay F, et al. In vivo preservation of the hybrid layer by chlorhexidine. J Dent Res. 2007;86(6):529-533. doi: 10.1177/154405910708600608.
6. Eichelsbacher F, Denner W, Klaiber B, Schlagenhauf U. Periodontal status of teeth with crown-root fractures: results two years after adhesive fragment reattachment. J Clin Periodontol. 2009;36(10):905-911. doi: 10.1111/j.1600-051X.2009.01458.x.









