Maxillary sinus grafting: Prevention and management of complications
Today, the lateral approach for maxillary sinus grafting has become a routine technique with an implant survival rate over 96% in the maxillary posterior region. However, this technique may be associated with some complications that may influence long-term implant survival rate.
Sinus complications can be classified in two categories: intraoperative complications and postoperative complications:
- Intraoperative complications—These include damage of the alveolar-antral artery and perforations of the sinus membrane. Their occurrence is conversely proportional to the surgeon’s skill and have no influence on implant survival if they are properly managed.
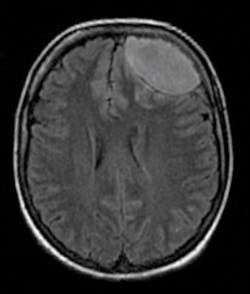
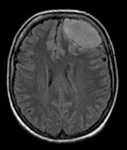
- Postoperative complications—These include infections that occur in the form of chronic or acute sinusitis. Their frequency ranges from 3% to 5% according to the literature. They can result from an inadequate management of perioperative complications or from a poor evaluation of the sinus pathology before surgery. In both cases, they may have severe consequences (figues 1 and 2).
Figure 1: Oral-antral communication due to a post operative infection
Figure 2: Brain abscess due to the mismanagement of a post operative complication
According to the literature,post-operative infections occur in patients with a predisposition to infection. Therefore, it is essential to be able to identify at-risk patients with these two questions:
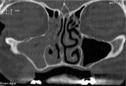
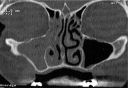
- First, is the sinus healthy or not? Starting from a CBCT prescribed by the implantologist and/or an endoscopic examination performed by the ENT, we must check the patency of ostium, which is the natural drainage pathway of the maxillary sinus. If the ostium is occluded (figure 3), the ENT will prescribe an adequate medical treatment and/or perform an endoscopic surgery (figure 4) in order to re-establish the patency. After this, clearance for sinus grafting will have to be given by the ENT.
Figure 3: The sinus ostium is blocked.
Figure 4: After an antrostomy, the ostium is patent.
- Second, is there any infection risk because of postsurgical alteration of sinus physiology? There are a few local and systemic factors that may lead to postoperative infectious complications. The first factor is local anatomy and anything that alters the drainage pathways through the ostium. Sinus surgery that results in blockage of the ostium, particularly if the natural opening is thin, can lead to sinus infection (figure 5). The second factor is tooth-related preservation of infected teeth that drain into the sinus, which can contaminate the graft and lead to sinus graft infection postsurgery. The third factor is any systemic disease that lowers the body’s capability of fighting infection, which can result in sinus infection postsurgery. These infections can be minimized through careful review of medical history and appropriate case selection.
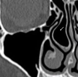
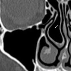
Figure 5: The sinus ostium is narrow because of the concha bullosa (arrow).
In all types of postoperative sinus complications, team interaction between the implantologist and the ENT remains the key to success.
RELATED:
Sinus grafting: How to manage complications involving the maxillary sinus
A review of the maxillary sinus
Author's note: Dental professionals can hear Dr. Valentini’s full presentation on this topic, Maxillary Sinus Grafting: Prevention and Management of Complications, by attending the Academy of Osseointegration’s 2019 Annual Meeting. The meeting, Current Factors in Clinical Excellence, will be held March 13–16, 2019, at Walter E. Washington Convention Center in downtown Washington, DC. Dr. Valentini will present his topic during AO’s Morning with the Masters session on Friday, March 15, 2019. Early-bird registration is available through January 14, 2019. For all the meeting details, including online registration, visit https://ao2019.osseo.org/.








